电话:
+86 (0512) 65829739
传真:
+86 (010) 6788 5057
电子邮件:
orders@antibodies-online.cn

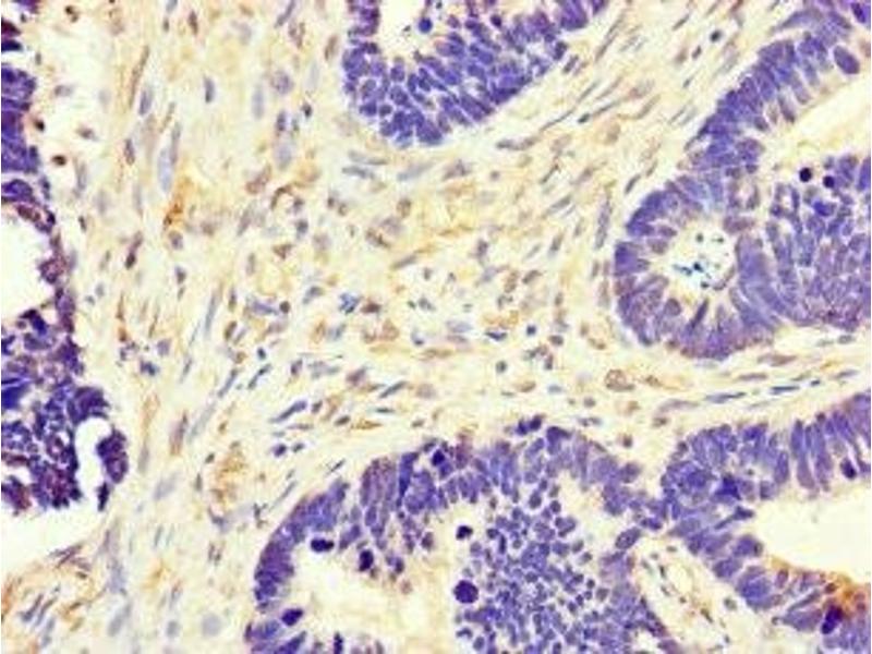
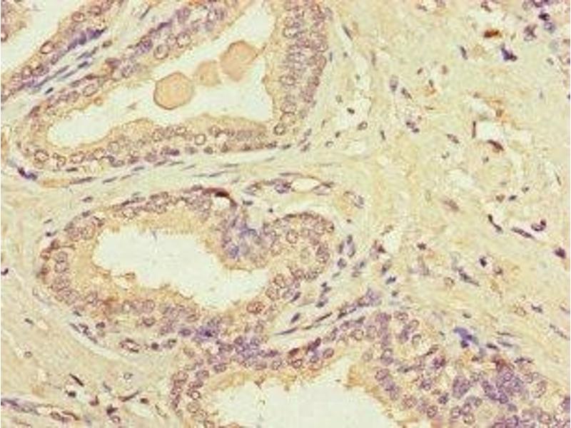
COX1 抗体 (AA 474-513)

The 兔 多克隆 anti-COX1 antibody (ABIN7149154) specifically detects COX1 in ELISA, IHC 和 IF. The antibody is reactive with 人 samples.
产品编号 ABIN7149154
发货至: 中国
Contact our Customer Service for availability and price in your country. Contact Info

Our Local Distributor

中国
北京 101111
No. 88 KeChuang 6th Street
Beijing Economic Technological Development Area
Room 801-803
4A Biotech Co.,Ltd.
Tel +86 (0512) 65829739 传真 +86 (010) 6788 5057

Quick Overview for COX1 抗体 (AA 474-513) (ABIN7149154)

抗原

See all COX1 抗体
COX1 (Cytochrome C Oxidase Subunit I (COX1))

适用

  • 51
  • 41
  • 30
  • 4
  • 1
  • 1
  • 1

宿主

  • 69
  • 4
  • 2

克隆类型

  • 62
  • 13
多克隆

标记

  • 27
  • 4
  • 4
  • 3
  • 3
  • 3
  • 3
  • 3
  • 3
  • 3
  • 2
  • 2
  • 1
  • 1
  • 1
  • 1
  • 1
  • 1
  • 1
  • 1
  • 1
  • 1
  • 1
  • 1
  • 1
  • 1
  • 1
This COX1 antibody is un-conjugated

应用范围

  • 53
  • 23
  • 21
  • 19
  • 18
  • 13
  • 13
  • 13
  • 9
  • 6
  • 3
  • 2
ELISA, Immunohistochemistry (IHC), Immunofluorescence (IF)
  • 抗原表位

    • 15
    • 8
    • 5
    • 5
    • 4
    • 2
    • 2
    • 2
    • 1
    • 1
    • 1
    • 1
    • 1
    • 1
    • 1
    • 1
    AA 474-513

    原理

    MT-CO1 Antibody

    纯化方法

    Protein G purified

    纯度

    >95 %

    免疫原

    Recombinant Human Cytochrome c oxidase subunit 1 protein (474-513AA)

    亚型

    IgG
  • 应用备注

    Optimal working dilution should be determined by the investigator.

    限制

    仅限研究用
  • 状态

    Liquid

    缓冲液

    Preservative: 0.03 % Proclin 300
    Constituents: 50 % Glycerol, 0.01M PBS, PH 7.4

    储存液

    ProClin

    注意事项

    This product contains ProClin: a POISONOUS AND HAZARDOUS SUBSTANCE which should be handled by trained staff only.

    储存条件

    -20 °C,-80 °C

    储存方法

    Upon receipt, store at -20°C or -80°C. Avoid repeated freeze.
  • 抗原

    COX1 (Cytochrome C Oxidase Subunit I (COX1))

    别名

    MT-CO1

    背景

    Background: Cytochrome c oxidase is the component of the respiratory chain that catalyzes the reduction of oxygen to water. Subunits 1-3 form the functional core of the enzyme complex. CO I is the catalytic subunit of the enzyme. Electrons originating in cytochrome c are transferred via the copper A center of subunit 2 and heme A of subunit 1 to the bimetallic center formed by heme A3 and copper B.

    Aliases: COI antibody, COX I antibody, COX1 antibody, COX1_HUMAN antibody, COXI antibody, Cytochrome c oxidase polypeptide I antibody, Cytochrome c oxidase subunit 1 antibody, Cytochrome C Oxidase subunit I antibody, Mitochondrially encoded cytochrome c oxidase I antibody, MT CO1 antibody, MT-CO1 antibody, MTCO 1 antibody, MTCO1 antibody

    UniProt

    P00395

    途径

    Proton Transport
You are here: