AIMP2 抗体 (AA 201-300)
Our Local Distributor
北京 101111
Quick Overview for AIMP2 抗体 (AA 201-300) (ABIN741300)
抗原
See all AIMP2 抗体适用
宿主
克隆类型
标记
应用范围
-
-
抗原表位
- AA 201-300
-
交叉反应
- 小鼠, 大鼠
-
预测反应
- Human,Cow,Pig,Rabbit
-
纯化方法
- Purified by Protein A.
-
免疫原
- KLH conjugated synthetic peptide derived from human AIMP2
-
亚型
- IgG
-
-
-
-
应用备注
-
WB 1:300-5000
ELISA 1:500-1000
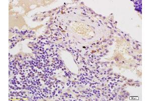
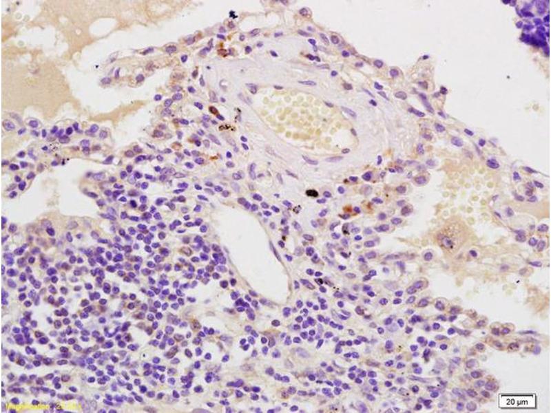
IHC-P 1:200-400
IHC-F 1:100-500
IF(IHC-P) 1:50-200
IF(IHC-F) 1:50-200
IF(ICC) 1:50-200 -
限制
- 仅限研究用
-
-
-
状态
- Liquid
-
浓度
- 1 μg/μL
-
缓冲液
- 0.01M TBS( pH 7.4) with 1 % BSA, 0.02 % Proclin300 and 50 % Glycerol.
-
储存液
- ProClin
-
注意事项
- This product contains ProClin: a POISONOUS AND HAZARDOUS SUBSTANCE, which should be handled by trained staff only.
-
储存条件
- 4 °C,-20 °C
-
储存方法
- Shipped at 4°C. Store at -20°C for one year. Avoid repeated freeze/thaw cycles.
-
有效期
- 12 months
-
-
-
: "Pinellia ternata Attenuates Mucus Secretion and Airway Inflammation after Inhaled Corticosteroid Withdrawal in COPD Rats." in: The American journal of Chinese medicine, Vol. 44, Issue 5, pp. 1027-41, (2016) (PubMed).
-
-
- AIMP2 (Aminoacyl tRNA Synthetase Complex-Interacting Multifunctional Protein 2 (AIMP2))
-
别名
- AIMP2
-
背景
-
Synonyms: P38, JTV1, JTV-1, PRO0992, Aminoacyl tRNA synthase complex-interacting multifunctional protein 2, Multisynthase complex auxiliary component p38, Protein JTV-1, AIMP2
Background: Required for assembly and stability of the aminoacyl-tRNA synthase complex. Mediates ubiquitination and degradation of FUBP1, a transcriptional activator of MYC, leading to MYC down-regulation which is required for aveolar type II cell differentiation. Blocks MDM2-mediated ubiquitination and degradation of p53/TP53. Functions as a proapoptotic factor.
-
基因ID
- 7965
-
UniProt
- Q13155
抗原
-