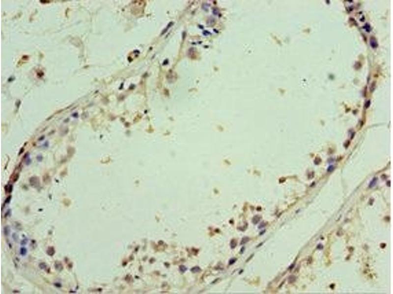
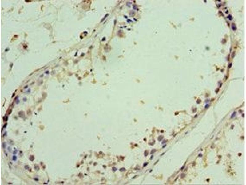
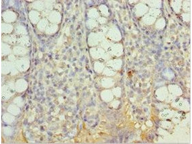
AIMP2 抗体 (AA 141-320)
Our Local Distributor
北京 101111
Quick Overview for AIMP2 抗体 (AA 141-320) (ABIN7143999)
抗原
See all AIMP2 抗体适用
宿主
克隆类型
标记
应用范围
-
-
抗原表位
- AA 141-320
-
原理
- AIMP2 Antibody
-
纯化方法
- Antigen Affinity Purified
-
免疫原
- Recombinant Human Aminoacyl tRNA synthase complex-interacting multifunctional protein 2 protein (141-320AA)
-
亚型
- IgG
-
-
-
-
应用备注
- Optimal working dilution should be determined by the investigator.
-
限制
- 仅限研究用
-
-
-
状态
- Liquid
-
缓冲液
- PBS with 0.02 % sodium azide, 50 % glycerol, pH 7.3.
-
储存液
- Sodium azide
-
注意事项
- This product contains Sodium azide: a POISONOUS AND HAZARDOUS SUBSTANCE which should be handled by trained staff only.
-
储存条件
- -20 °C,-80 °C
-
储存方法
- Upon receipt, store at -20°C or -80°C. Avoid repeated freeze.
-
-
- AIMP2 (Aminoacyl tRNA Synthetase Complex-Interacting Multifunctional Protein 2 (AIMP2))
-
别名
- AIMP2
-
背景
-
Background: Required for assembly and stability of the aminoacyl-tRNA synthase complex. Mediates ubiquitination and degradation of FUBP1, a transcriptional activator of MYC, leading to MYC down-regulation which is required for aveolar type II cell differentiation. Blocks MDM2-mediated ubiquitination and degradation of p53/TP53. Functions as a proapoptotic factor.
Aliases: Aimp2 antibody, AIMP2_HUMAN antibody, Aminoacyl tRNA synthase complex-interacting multifunctional protein 2 antibody, Aminoacyl tRNA synthetase complex interacting multifunctional protein 2 antibody, ARS interacting multi functional protein 2 antibody, JTV 1 antibody, JTV 1 protein antibody, JTV1 antibody, JTV1 gene antibody, Multisynthase complex auxiliary component p38 antibody, Multisynthetase complex auxiliary component p38 antibody, P38 antibody, PRO0992 antibody, Protein JTV 1 antibody, Protein JTV-1 antibody, tRNA SYNTHETASE COFACTOR p38 antibody
-
UniProt
- Q13155
抗原
-