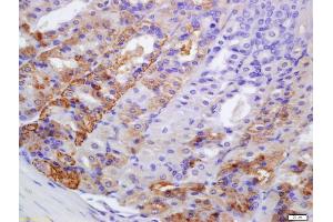
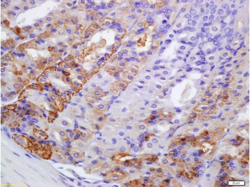
PERK 抗体 (AA 1001-1116)
Our Local Distributor
北京 101111
Quick Overview for PERK 抗体 (AA 1001-1116) (ABIN740715)
抗原
See all PERK (EIF2AK3) 抗体适用
宿主
克隆类型
标记
应用范围
-
-
抗原表位
- AA 1001-1116
-
交叉反应
- 人, 小鼠, 大鼠
-
纯化方法
- Purified by Protein A.
-
免疫原
- KLH conjugated synthetic peptide derived from human PER
-
亚型
- IgG
-
-
-
-
应用备注
-
WB 1:300-5000
ELISA 1:500-1000
FCM 1:20-100
IHC-P 1:200-400
IHC-F 1:100-500
IF(IHC-P) 1:50-200
IF(IHC-F) 1:50-200
IF(ICC) 1:50-200 -
限制
- 仅限研究用
-
-
-
状态
- Liquid
-
浓度
- 1 μg/μL
-
缓冲液
- 0.01M TBS( pH 7.4) with 1 % BSA, 0.02 % Proclin300 and 50 % Glycerol.
-
储存液
- ProClin
-
注意事项
- This product contains ProClin: a POISONOUS AND HAZARDOUS SUBSTANCE, which should be handled by trained staff only.
-
储存条件
- 4 °C,-20 °C
-
储存方法
- Shipped at 4°C. Store at -20°C for one year. Avoid repeated freeze/thaw cycles.
-
有效期
- 12 months
-
-
-
: "Gypenoside Protects against Myocardial Ischemia-Reperfusion Injury by Inhibiting Cardiomyocytes Apoptosis via Inhibition of CHOP Pathway and Activation of PI3K/Akt Pathway In Vivo and In Vitro." in: Cellular physiology and biochemistry : international journal of experimental cellular physiology, biochemistry, and pharmacology, Vol. 39, Issue 1, pp. 123-36, (2016) (PubMed).
: "Sustained endoplasmic reticulum stress inhibits hepatocyte proliferation via downregulation of c-Met expression." in: Molecular and cellular biochemistry, Vol. 389, Issue 1-2, pp. 151-8, (2014) (PubMed).
-
-
- PERK (EIF2AK3) (Eukaryotic Translation Initiation Factor 2-alpha Kinase 3 (EIF2AK3))
-
别名
- PERK
-
背景
-
Synonyms: PEK, WRS, PERK, Eukaryotic translation initiation factor 2-alpha kinase 3, PRKR-like endoplasmic reticulum kinase, Pancreatic eIF2-alpha kinase, HsPEK, EIF2AK3
Background: Phosphorylates the alpha subunit of eukaryotic translation-initiation factor 2 (EIF2), leading to its inactivation and thus to a rapid reduction of translational initiation and repression of global protein synthesis. Serves as a critical effector of unfolded protein response (UPR)-induced G1 growth arrest due to the loss of cyclin-D1 (CCND1). Involved in control of mitochondrial morphology and function (By similarity).
-
基因ID
- 9451
-
UniProt
- Q9NZJ5
-
途径
- Hormone Transport, ER-Nucleus Signaling, Positive Regulation of Endopeptidase Activity, Hepatitis C, Unfolded Protein Response
抗原
-