电话:
+86 (0512) 65829739
传真:
+86 (010) 6788 5057
电子邮件:
orders@antibodies-online.cn

Recombinant TFE3 抗体

This 兔 单克隆 antibody specifically detects TFE3 in IHC. It exhibits reactivity toward 人.
产品编号 ABIN7826107
发货至: 中国
Contact our Customer Service for availability and price in your country. Contact Info

Our Local Distributor

中国
北京 101111
No. 88 KeChuang 6th Street
Beijing Economic Technological Development Area
Room 801-803
4A Biotech Co.,Ltd.
Tel +86 (0512) 65829739 传真 +86 (010) 6788 5057

Quick Overview for Recombinant TFE3 抗体 (ABIN7826107)

抗原

See all TFE3 抗体
TFE3 (Transcription Factor E3 (TFE3))

抗体类型

Recombinant Antibody

适用

  • 71
  • 38
  • 16
  • 7
  • 6
  • 6
  • 5
  • 5
  • 4
  • 2
  • 2
  • 2
  • 2
  • 1

宿主

  • 68
  • 1
  • 1
  • 1

克隆类型

  • 59
  • 12
单克隆

标记

  • 41
  • 5
  • 4
  • 3
  • 2
  • 2
  • 2
  • 2
  • 2
  • 2
  • 2
  • 2
  • 1
  • 1
This TFE3 antibody is un-conjugated

应用范围

  • 44
  • 29
  • 22
  • 15
  • 14
  • 11
  • 7
  • 1
  • 1
  • 1
Immunohistochemistry (IHC)

克隆位点

403R
  • 原理

    Transcription factor E3 / TFE3 antibody (403R)

    免疫原

    Recombinant human TFE3 fragment

    亚型

    IgG
  • 应用备注

    IHC 1:100-1:200

    说明

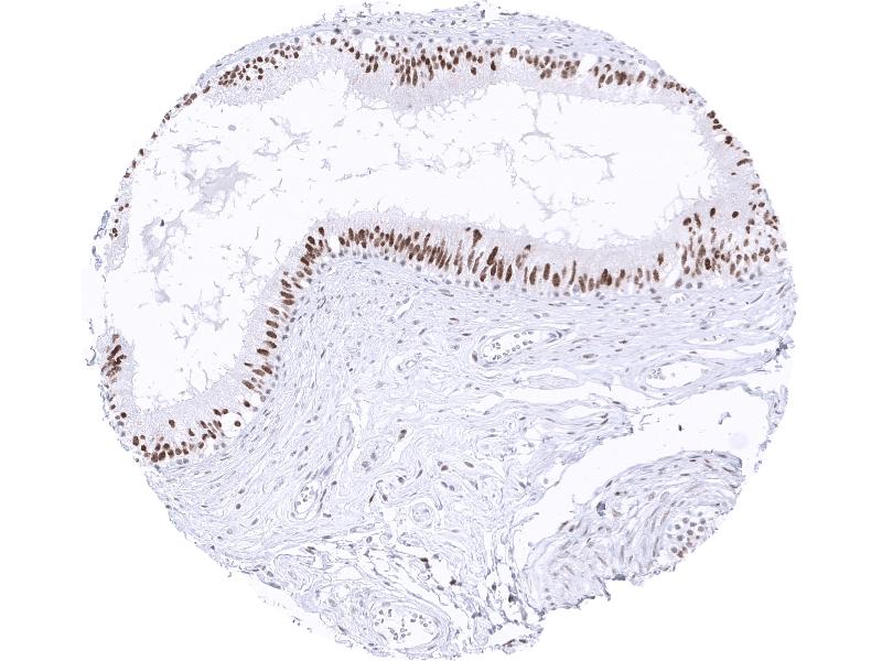
    Positive Control: Kidney: A moderate to strong TFE3 staining should be seen in a fraction of glomerular cells and an at least weak TFE3 staining should be seen in a subset of tubular and collecting duct cells.

    Product Description/Background: Transcription factor E3 / TFE3 antibody validated for immunohistochemistry on 76 different Normal Tissues

    Negative Control: Colon: TFE3 staining should be absent in epithelial cells (some very faint staining can occasionally occur at the surface).

    实验流程

    Freshly cut sections should be used (less than 10 days between cutting and staining). Heat-induced antigen retrieval for 5 minutes in an autoclave at 121 °C in pH 7,8 Target Retrieval Solution buffer. Apply the antibody at a dilution of 1:100 at 37 °C for 60 minutes.

    限制

    仅限研究用
  • 状态

    Liquid

    储存条件

    4 °C,-20 °C,-80 °C

    储存方法

    Antibody with azide - store at 2 to 8 C. Antibody without azide - store at -20 to -80 C. Antibody is stable for 24 months. Non- hazardous. No MSD required.

    有效期

    24 months
  • 抗原

    TFE3 (Transcription Factor E3 (TFE3))

    别名

    Transcription factor E3 / TFE3

    背景

    Gene Alias: BHLHE33

    UniProt

    P19532
You are here: