Recombinant Crk 抗体
Our Local Distributor
北京 101111
Quick Overview for Recombinant Crk 抗体 (ABIN7800791)
抗原
See all Crk (CRK) 抗体抗体类型
适用
宿主
克隆类型
标记
应用范围
质量等级
克隆位点
-
-
Expression System
- HEK-293 Cells
-
原理
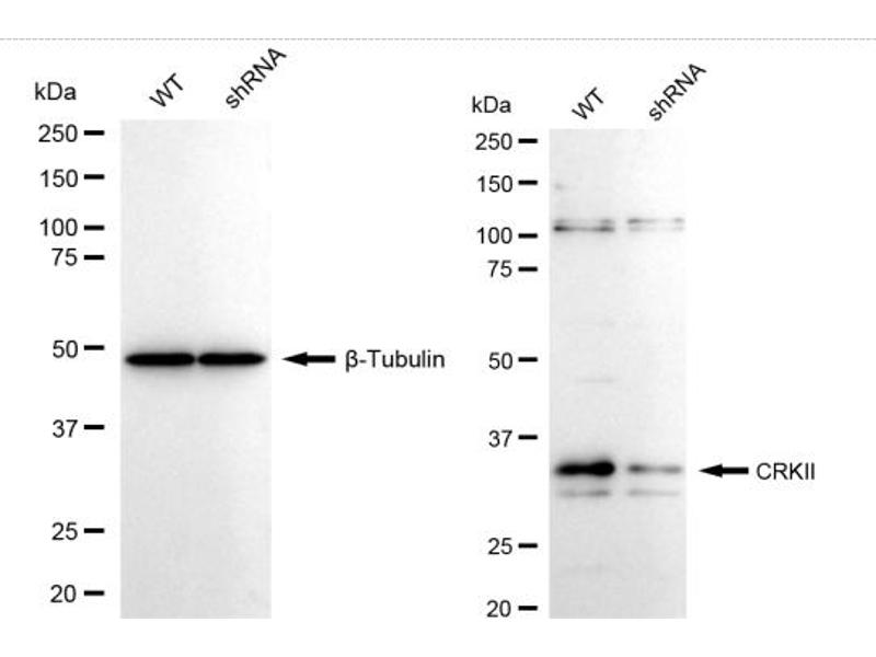
- KD-Validated CRKII Recombinant Rabbit mAb
-
交叉反应
- 小鼠, 大鼠
-
纯化方法
- Affinity Purified
-
免疫原
- A synthesized peptide derived from human CRKII
-
亚型
- IgG
-
-
-
-
应用备注
- Western Blotting (WB): 1:1,000-1:5,000, Flow Cytometry (FCM): 1:200-1:2,000
-
说明
-
We assess the antibodies’ specificity and selectivity using knockdown techniques. Our validation approach is straightforward: if an antibody identifies a signal in wild-type (WT) cells, but this signal is absent or noticeably reduced in gene-silenced (KD) cells, we consider the antibody to be highly specific.
-
限制
- 仅限研究用
-
-
-
状态
- Liquid
-
缓冲液
- PBS (pH 7.4) containing 50% glycerol and 0.02% sodium azide.
-
储存液
- Sodium azide
-
注意事项
- This product contains Sodium azide: a POISONOUS AND HAZARDOUS SUBSTANCE which should be handled by trained staff only.
-
储存条件
- -20 °C
-
储存方法
- Store at -20 °C for one year.
-
有效期
- 12 months
-
-
- Crk (CRK) (V-Crk Sarcoma Virus CT10 Oncogene Homolog (Avian) (CRK))
-
别名
- CRKII
-
分子量
- 34 kDa
-
基因ID
- 1398
-
UniProt
- P46108
-
途径
- Neurotrophin Signaling Pathway, CXCR4-mediated Signaling Events, Signaling of Hepatocyte Growth Factor Receptor
抗原
-