电话:
+86 (0512) 65829739
传真:
+86 (010) 6788 5057
电子邮件:
orders@antibodies-online.cn

Recombinant UBA2 抗体

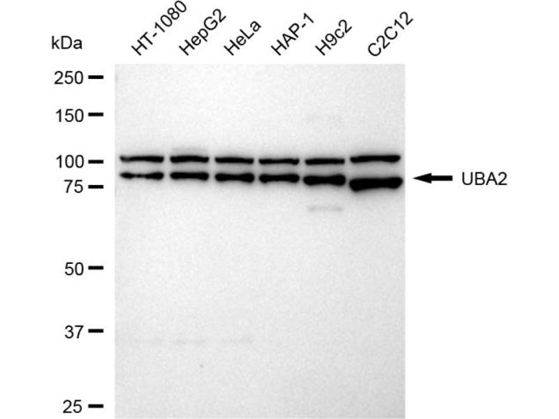
The 兔 单克隆 anti-UBA2 antibody (Clone 24GB2275) (ABIN7800460) specifically detects UBA2 in WB. The antibody is reactive with 人 samples.
产品编号 ABIN7800460
发货至: 中国
Contact our Customer Service for availability and price in your country. Contact Info

Our Local Distributor

中国
北京 101111
No. 88 KeChuang 6th Street
Beijing Economic Technological Development Area
Room 801-803
4A Biotech Co.,Ltd.
Tel +86 (0512) 65829739 传真 +86 (010) 6788 5057

Quick Overview for Recombinant UBA2 抗体 (ABIN7800460)

抗原

See all UBA2 抗体
UBA2 (SUMO1 Activating Enzyme Subunit 2 (UBA2))

抗体类型

Recombinant Antibody

适用

  • 61
  • 27
  • 23
  • 3
  • 2
  • 1
  • 1
  • 1

宿主

  • 53
  • 7
  • 1

克隆类型

  • 37
  • 24
单克隆

标记

  • 33
  • 4
  • 3
  • 3
  • 3
  • 3
  • 3
  • 3
  • 1
  • 1
  • 1
  • 1
  • 1
  • 1
This UBA2 antibody is un-conjugated

应用范围

  • 47
  • 31
  • 25
  • 17
  • 16
  • 15
  • 7
  • 3
  • 2
  • 1
  • 1
  • 1
Western Blotting (WB)

克隆位点

24GB2275
You are here: