电话:
+86 (0512) 65829739
传真:
+86 (010) 6788 5057
电子邮件:
orders@antibodies-online.cn

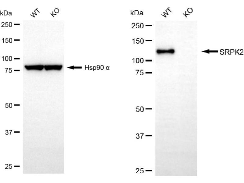
SRPK2 抗体

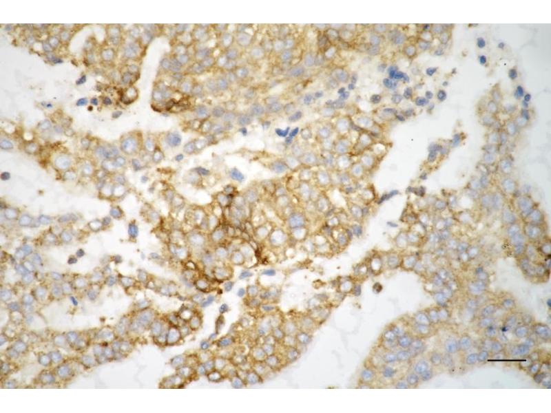
The 小鼠 单克隆 anti-SRPK2 antibody is suitable to detect SRPK2 in samples from 人. It has been validated for WB, IF (p) 和 FACS.
产品编号 ABIN7800327
发货至: 中国
Contact our Customer Service for availability and price in your country. Contact Info

Our Local Distributor

中国
北京 101111
No. 88 KeChuang 6th Street
Beijing Economic Technological Development Area
Room 801-803
4A Biotech Co.,Ltd.
Tel +86 (0512) 65829739 传真 +86 (010) 6788 5057

Quick Overview for SRPK2 抗体 (ABIN7800327)

抗原

See all SRPK2 抗体
SRPK2 (SFRS Protein Kinase 2 (SRPK2))

适用

  • 40
  • 26
  • 2
  • 1
  • 1
  • 1
  • 1
  • 1

宿主

  • 38
  • 2
小鼠

克隆类型

  • 40
单克隆

标记

  • 18
  • 3
  • 3
  • 3
  • 1
  • 1
  • 1
  • 1
  • 1
  • 1
  • 1
  • 1
  • 1
  • 1
  • 1
  • 1
  • 1
This SRPK2 antibody is un-conjugated

应用范围

  • 21
  • 16
  • 14
  • 13
  • 13
  • 5
  • 5
  • 4
  • 3
  • 2
  • 1
Western Blotting (WB), Immunofluorescence (Paraffin-embedded Sections) (IF (p)), Flow Cytometry (FACS)

质量等级

KO Validated

克隆位点

25GB660
You are here: