电话:
+86 (0512) 65829739
传真:
+86 (010) 6788 5057
电子邮件:
orders@antibodies-online.cn

PLPBP 抗体

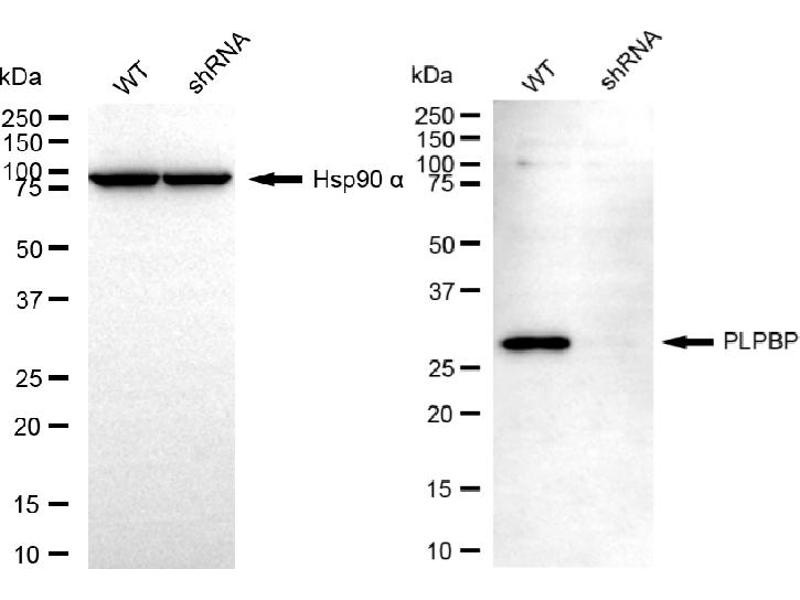
The 小鼠 单克隆 anti-PLPBP antibody (Clone 25GB5515) (ABIN7800073) specifically detects PLPBP in WB. The antibody is reactive with 人 samples.
产品编号 ABIN7800073
发货至: 中国
Contact our Customer Service for availability and price in your country. Contact Info

Our Local Distributor

中国
北京 101111
No. 88 KeChuang 6th Street
Beijing Economic Technological Development Area
Room 801-803
4A Biotech Co.,Ltd.
Tel +86 (0512) 65829739 传真 +86 (010) 6788 5057

Quick Overview for PLPBP 抗体 (ABIN7800073)

抗原

PLPBP (Pyridoxal Phosphate Homeostasis Protein (PLPBP))

适用

宿主

  • 6
小鼠

克隆类型

  • 6
单克隆

标记

  • 3
  • 1
  • 1
  • 1
This PLPBP antibody is un-conjugated

应用范围

  • 4
  • 2
  • 1
  • 1
Western Blotting (WB)

质量等级

KD Validated

克隆位点

25GB5515
  • 原理

    KD-Validated PLPBP Mouse mAb

    纯化方法

    Affinity Purified

    免疫原

    Recombinant protein of human PLPBP

    亚型

    IgG1
  • 应用备注

    Western Blotting (WB): 1:500-1:2,500

    说明

    We assess the antibodies’ specificity and selectivity using knockdown techniques. Our validation approach is straightforward: if an antibody identifies a signal in wild-type (WT) cells, but this signal is absent or noticeably reduced in gene-silenced (KD) cells, we consider the antibody to be highly specific.

    限制

    仅限研究用
  • 状态

    Liquid

    缓冲液

    PBS (pH 7.4) containing 50% glycerol and 0.02% sodium azide.

    储存液

    Sodium azide

    注意事项

    This product contains Sodium azide: a POISONOUS AND HAZARDOUS SUBSTANCE which should be handled by trained staff only.

    储存条件

    -20 °C

    储存方法

    Store at -20 °C for one year.

    有效期

    12 months
  • 抗原

    PLPBP (Pyridoxal Phosphate Homeostasis Protein (PLPBP))

    别名

    PLPBP

    分子量

    30 kDa

    基因ID

    11212

    UniProt

    O94903
You are here: