电话:
+86 (0512) 65829739
传真:
+86 (010) 6788 5057
电子邮件:
orders@antibodies-online.cn

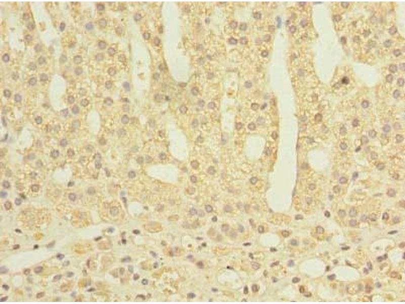
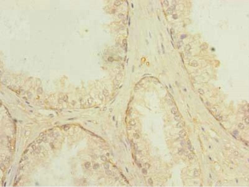
PLPBP 抗体 (AA 1-275)

The 兔 多克隆 anti-PLPBP antibody is suitable to detect PLPBP in samples from 人. It has been validated for ELISA 和 IHC.
产品编号 ABIN7166868
发货至: 中国
Contact our Customer Service for availability and price in your country. Contact Info

Our Local Distributor

中国
北京 101111
No. 88 KeChuang 6th Street
Beijing Economic Technological Development Area
Room 801-803
4A Biotech Co.,Ltd.
Tel +86 (0512) 65829739 传真 +86 (010) 6788 5057

Quick Overview for PLPBP 抗体 (AA 1-275) (ABIN7166868)

抗原

PLPBP (Pyridoxal Phosphate Homeostasis Protein (PLPBP))

适用

宿主

  • 5
  • 1

克隆类型

  • 5
  • 1
多克隆

标记

  • 3
  • 1
  • 1
  • 1
This PLPBP antibody is un-conjugated

应用范围

  • 3
  • 3
  • 1
ELISA, Immunohistochemistry (IHC)
  • 抗原表位

    AA 1-275

    原理

    PLPBP Antibody

    纯化方法

    Protein G purified

    纯度

    >95 %

    免疫原

    Recombinant Human Pyridoxal phosphate homeostasis protein (1-275AA)

    亚型

    IgG
  • 应用备注

    Optimal working dilution should be determined by the investigator.

    限制

    仅限研究用
  • 状态

    Liquid

    缓冲液

    Preservative: 0.03 % Proclin 300
    Constituents: 50 % Glycerol, 0.01M PBS, PH 7.4

    储存液

    ProClin

    注意事项

    This product contains ProClin: a POISONOUS AND HAZARDOUS SUBSTANCE which should be handled by trained staff only.

    储存条件

    -20 °C,-80 °C

    储存方法

    Upon receipt, store at -20°C or -80°C. Avoid repeated freeze.
  • 抗原

    PLPBP (Pyridoxal Phosphate Homeostasis Protein (PLPBP))

    别名

    PLPBP

    背景

    Background: cytoplasm, extracellular exosome, intracellular, pyridoxal phosphate binding

    Aliases: FLJ11861 antibody, Proline synthase co-transcribed bacterial homolog protein antibody, Proline synthetase co transcribed bacterial homolog antibody, Proline synthetase co transcribed homolog (bacterial) antibody, PROSC antibody, PROSC_HUMAN antibody

    UniProt

    O94903
You are here: