电话:
+86 (0512) 65829739
传真:
+86 (010) 6788 5057
电子邮件:
orders@antibodies-online.cn

PLAP 抗体

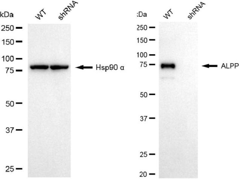
The 小鼠 单克隆 anti-PLAP antibody (Clone 25GB2720) (ABIN7799842) specifically detects PLAP in WB. The antibody is reactive with 人 samples.
产品编号 ABIN7799842
发货至: 中国
Contact our Customer Service for availability and price in your country. Contact Info

Our Local Distributor

中国
北京 101111
No. 88 KeChuang 6th Street
Beijing Economic Technological Development Area
Room 801-803
4A Biotech Co.,Ltd.
Tel +86 (0512) 65829739 传真 +86 (010) 6788 5057

Quick Overview for PLAP 抗体 (ABIN7799842)

抗原

See all PLAP (ALPP) 抗体
PLAP (ALPP) (Placental Alkaline Phosphatase (ALPP))

适用

  • 177
  • 25
  • 8
  • 2
  • 2
  • 2
  • 1
  • 1
  • 1
  • 1

宿主

  • 109
  • 70
  • 4
  • 2
小鼠

克隆类型

  • 103
  • 77
  • 2
单克隆

标记

  • 100
  • 14
  • 5
  • 5
  • 5
  • 4
  • 3
  • 3
  • 3
  • 3
  • 3
  • 3
  • 2
  • 2
  • 2
  • 2
  • 2
  • 2
  • 2
  • 2
  • 2
  • 1
  • 1
  • 1
  • 1
  • 1
  • 1
  • 1
  • 1
  • 1
  • 1
  • 1
  • 1
  • 1
  • 1
This PLAP antibody is un-conjugated

应用范围

  • 125
  • 81
  • 55
  • 47
  • 46
  • 31
  • 19
  • 15
  • 13
  • 13
  • 11
  • 4
  • 4
  • 1
  • 1
  • 1
  • 1
  • 1
  • 1
  • 1
Western Blotting (WB)

质量等级

KD Validated

克隆位点

25GB2720
  • 原理

    KD-Validated ALPP Mouse mAb

    纯化方法

    Affinity Purified

    免疫原

    A synthesized peptide derived from human ALPP

    亚型

    IgG1
  • 应用备注

    Western Blotting (WB): 1:400-1:2,000

    说明

    We assess the antibodies’ specificity and selectivity using knockdown techniques. Our validation approach is straightforward: if an antibody identifies a signal in wild-type (WT) cells, but this signal is absent or noticeably reduced in gene-silenced (KD) cells, we consider the antibody to be highly specific.

    限制

    仅限研究用
  • 状态

    Liquid

    缓冲液

    PBS (pH 7.4) containing 50% glycerol and 0.02% sodium azide.

    储存液

    Sodium azide

    注意事项

    This product contains Sodium azide: a POISONOUS AND HAZARDOUS SUBSTANCE which should be handled by trained staff only.

    储存条件

    -20 °C

    储存方法

    Store at -20 °C for one year.

    有效期

    12 months
  • 抗原

    PLAP (ALPP) (Placental Alkaline Phosphatase (ALPP))

    别名

    ALPP

    分子量

    58 kDa

    基因ID

    250

    UniProt

    P05187
You are here: