电话:
+86 (0512) 65829739
传真:
+86 (010) 6788 5057
电子邮件:
orders@antibodies-online.cn

PLAP 抗体

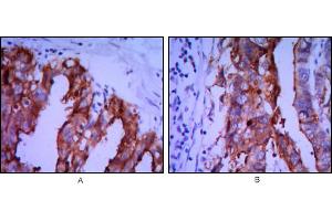
This 小鼠 单克隆 antibody specifically detects PLAP in WB, IHC 和 ELISA. It exhibits reactivity toward 人.It has been mentioned in 1 publication
产品编号 ABIN968956
发货至: 中国
Contact our Customer Service for availability and price in your country. Contact Info

Our Local Distributor

中国
北京 101111
No. 88 KeChuang 6th Street
Beijing Economic Technological Development Area
Room 801-803
4A Biotech Co.,Ltd.
Tel +86 (0512) 65829739 传真 +86 (010) 6788 5057

Quick Overview for PLAP 抗体 (ABIN968956)

抗原

See all PLAP (ALPP) 抗体
PLAP (ALPP) (Placental Alkaline Phosphatase (ALPP))

适用

  • 177
  • 25
  • 8
  • 2
  • 2
  • 2
  • 1
  • 1
  • 1
  • 1

宿主

  • 109
  • 70
  • 4
  • 2
小鼠

克隆类型

  • 103
  • 77
  • 2
单克隆

标记

  • 100
  • 14
  • 5
  • 5
  • 5
  • 4
  • 3
  • 3
  • 3
  • 3
  • 3
  • 3
  • 2
  • 2
  • 2
  • 2
  • 2
  • 2
  • 2
  • 2
  • 2
  • 1
  • 1
  • 1
  • 1
  • 1
  • 1
  • 1
  • 1
  • 1
  • 1
  • 1
  • 1
  • 1
  • 1
This PLAP antibody is un-conjugated

应用范围

  • 125
  • 80
  • 54
  • 47
  • 46
  • 31
  • 19
  • 15
  • 13
  • 13
  • 11
  • 4
  • 4
  • 1
  • 1
  • 1
  • 1
  • 1
  • 1
  • 1
Western Blotting (WB), Immunohistochemistry (IHC), ELISA

克隆位点

3E5
  • 原理

    ALPP Antibody

    纯化方法

    Ascitic fluid

    免疫原

    Purified recombinant fragment of human ALPP expressed in E. Coli.

    亚型

    IgG2b
  • 应用备注

    ELISA: 1/10000

    限制

    仅限研究用
  • 状态

    Liquid

    缓冲液

    Ascitic fluid containing 0.03 % sodium azide.

    储存液

    Sodium azide

    注意事项

    This product contains Sodium azide: a POISONOUS AND HAZARDOUS SUBSTANCE which should be handled by trained staff only.

    储存条件

    4 °C,-20 °C

    储存方法

    Store at 4°C short term. Aliquot and store at -20°C long term. Avoid freeze/thaw cycles.
  • Chen, Anderson, Hiroi, Medof: "Proprotein interaction with the GPI transamidase." in: Journal of cellular biochemistry, Vol. 88, Issue 5, pp. 1025-37, (2003) (PubMed).

  • 抗原

    PLAP (ALPP) (Placental Alkaline Phosphatase (ALPP))

    别名

    ALPP

    背景

    There are at least four distinct but related alkaline phosphatases: intestinal, placental, placental-like, and liver/bone/kidney (tissue non-specific). The first three are located together on chromosome 2 while the tissue non-specific form is located on chromosome 1. The product of this gene is a membrane bound glycosylated enzyme, also referred to as the heat stable form, that is expressed primarily in the placenta although it is closely related to the intestinal form of the enzyme as well as to the placental-like form. The coding sequence for this form of alkaline phosphatase is unique in that the 3' untranslated region contains multiple copies of an Alu family repeat. In addition, this gene is polymorphic and three common alleles (type 1, type 2 and type 3) for this form of alkaline phosphatase have been well characterized.

    分子量

    58 kDa

    UniProt

    P05187
You are here: