电话:
+86 (0512) 65829739
传真:
+86 (010) 6788 5057
电子邮件:
orders@antibodies-online.cn

Recombinant ORAI3 抗体

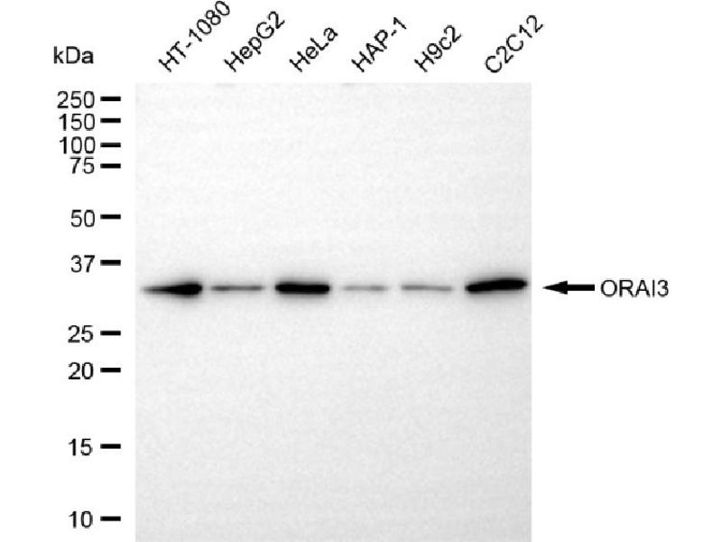
The 兔 单克隆 anti-ORAI3 antibody is suitable to detect ORAI3 in samples from 人. It has been validated for WB.
产品编号 ABIN7799706
发货至: 中国
Contact our Customer Service for availability and price in your country. Contact Info

Our Local Distributor

中国
北京 101111
No. 88 KeChuang 6th Street
Beijing Economic Technological Development Area
Room 801-803
4A Biotech Co.,Ltd.
Tel +86 (0512) 65829739 传真 +86 (010) 6788 5057

Quick Overview for Recombinant ORAI3 抗体 (ABIN7799706)

抗原

See all ORAI3 抗体
ORAI3 (ORAI Calcium Release-Activated Calcium Modulator 3 (ORAI3))

抗体类型

Recombinant Antibody

适用

  • 31
  • 17
  • 9
  • 2
  • 2
  • 2
  • 2
  • 2
  • 2
  • 1
  • 1
  • 1

宿主

  • 29
  • 3

克隆类型

  • 19
  • 13
单克隆

标记

  • 18
  • 2
  • 1
  • 1
  • 1
  • 1
  • 1
  • 1
  • 1
  • 1
  • 1
  • 1
  • 1
  • 1
This ORAI3 antibody is un-conjugated

应用范围

  • 32
  • 12
  • 10
  • 5
  • 4
  • 4
  • 2
  • 1
Western Blotting (WB)

克隆位点

25GB4720
You are here: