电话:
+86 (0512) 65829739
传真:
+86 (010) 6788 5057
电子邮件:
orders@antibodies-online.cn

KPNB1 抗体

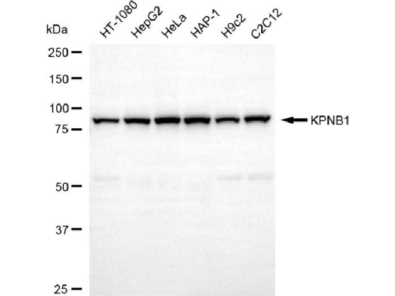
The 小鼠 单克隆 anti-KPNB1 antibody is suitable to detect KPNB1 in samples from 人. It has been validated for WB 和 FACS.
产品编号 ABIN7799157
发货至: 中国
Contact our Customer Service for availability and price in your country. Contact Info

Our Local Distributor

中国
北京 101111
No. 88 KeChuang 6th Street
Beijing Economic Technological Development Area
Room 801-803
4A Biotech Co.,Ltd.
Tel +86 (0512) 65829739 传真 +86 (010) 6788 5057

Quick Overview for KPNB1 抗体 (ABIN7799157)

抗原

See all KPNB1 抗体
KPNB1 (Karyopherin (Importin) beta 1 (KPNB1))

适用

  • 50
  • 21
  • 20
  • 4
  • 4
  • 3
  • 2
  • 2
  • 2
  • 2
  • 1
  • 1
  • 1
  • 1

宿主

  • 47
  • 3
  • 1
  • 1
小鼠

克隆类型

  • 48
  • 4
单克隆

标记

  • 28
  • 3
  • 2
  • 2
  • 1
  • 1
  • 1
  • 1
  • 1
  • 1
  • 1
  • 1
  • 1
  • 1
  • 1
  • 1
  • 1
  • 1
  • 1
  • 1
  • 1
This KPNB1 antibody is un-conjugated

应用范围

  • 40
  • 14
  • 13
  • 13
  • 11
  • 7
  • 6
  • 6
  • 5
  • 4
  • 3
  • 1
  • 1
Western Blotting (WB), Flow Cytometry (FACS)

克隆位点

25GB5900
You are here: