电话:
+86 (0512) 65829739
传真:
+86 (010) 6788 5057
电子邮件:
orders@antibodies-online.cn

Recombinant ICAM2 抗体

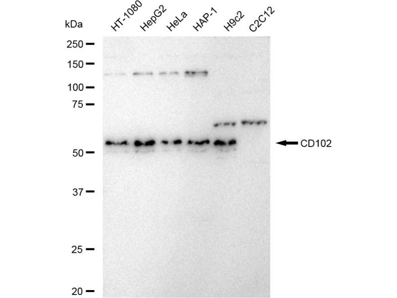
This 兔 单克隆 antibody specifically detects ICAM2 in WB, FACS 和 ICC. It exhibits reactivity toward 小鼠.
产品编号 ABIN7799078
发货至: 中国
Contact our Customer Service for availability and price in your country. Contact Info

Our Local Distributor

中国
北京 101111
No. 88 KeChuang 6th Street
Beijing Economic Technological Development Area
Room 801-803
4A Biotech Co.,Ltd.
Tel +86 (0512) 65829739 传真 +86 (010) 6788 5057

Quick Overview for Recombinant ICAM2 抗体 (ABIN7799078)

抗原

See all ICAM2 抗体
ICAM2 (Intercellular Adhesion Molecule 2 (ICAM2))

抗体类型

Recombinant Antibody

适用

  • 68
  • 43
  • 19
小鼠

宿主

  • 67
  • 17
  • 17

克隆类型

  • 56
  • 44
单克隆

标记

  • 49
  • 9
  • 7
  • 7
  • 2
  • 2
  • 2
  • 2
  • 2
  • 2
  • 2
  • 1
  • 1
  • 1
  • 1
  • 1
  • 1
  • 1
  • 1
  • 1
  • 1
  • 1
  • 1
  • 1
  • 1
  • 1
This ICAM2 antibody is un-conjugated

应用范围

  • 62
  • 55
  • 33
  • 33
  • 24
  • 13
  • 13
  • 12
  • 7
  • 6
  • 6
  • 5
  • 2
  • 1
  • 1
  • 1
Western Blotting (WB), Flow Cytometry (FACS), Immunocytochemistry (ICC)

克隆位点

23GB5980
You are here: