电话:
+86 (0512) 65829739
传真:
+86 (010) 6788 5057
电子邮件:
orders@antibodies-online.cn

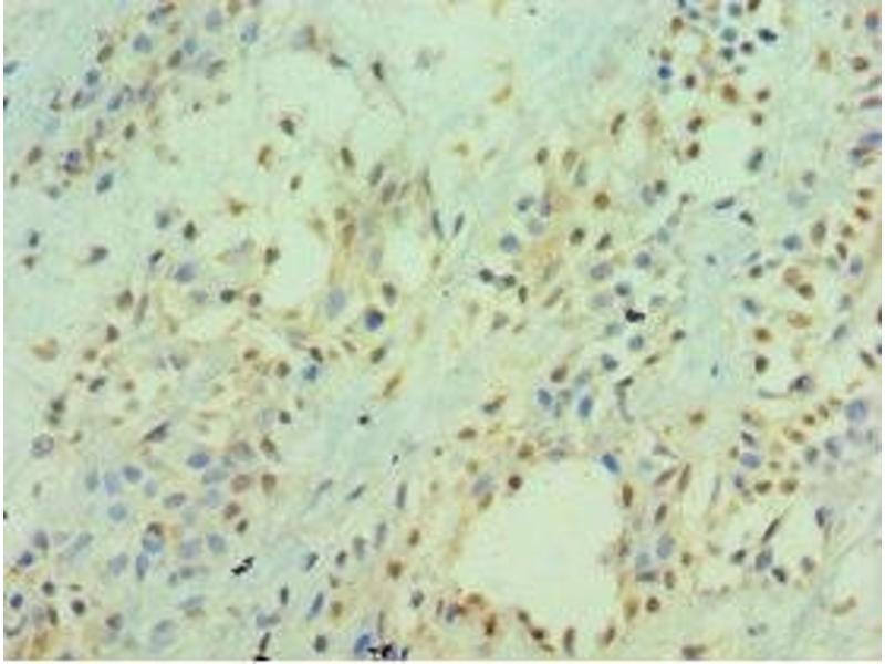
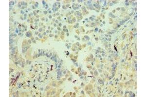
ICAM2 抗体 (AA 25-223)

The 兔 多克隆 anti-ICAM2 antibody (ABIN7156537) specifically detects ICAM2 in IHC 和 ELISA. The antibody is reactive with 人 samples.
产品编号 ABIN7156537
发货至: 中国
Contact our Customer Service for availability and price in your country. Contact Info

Our Local Distributor

中国
北京 101111
No. 88 KeChuang 6th Street
Beijing Economic Technological Development Area
Room 801-803
4A Biotech Co.,Ltd.
Tel +86 (0512) 65829739 传真 +86 (010) 6788 5057

Quick Overview for ICAM2 抗体 (AA 25-223) (ABIN7156537)

抗原

See all ICAM2 抗体
ICAM2 (Intercellular Adhesion Molecule 2 (ICAM2))

适用

  • 67
  • 45
  • 19

宿主

  • 67
  • 17
  • 17

克隆类型

  • 55
  • 45
多克隆

标记

  • 49
  • 9
  • 7
  • 7
  • 2
  • 2
  • 2
  • 2
  • 2
  • 2
  • 2
  • 1
  • 1
  • 1
  • 1
  • 1
  • 1
  • 1
  • 1
  • 1
  • 1
  • 1
  • 1
  • 1
  • 1
  • 1
This ICAM2 antibody is un-conjugated

应用范围

  • 63
  • 56
  • 33
  • 32
  • 23
  • 13
  • 13
  • 12
  • 7
  • 7
  • 6
  • 5
  • 2
  • 1
  • 1
  • 1
Immunohistochemistry (IHC), ELISA
  • 抗原表位

    • 16
    • 9
    • 3
    • 2
    • 2
    • 1
    • 1
    • 1
    • 1
    • 1
    • 1
    • 1
    • 1
    • 1
    • 1
    • 1
    • 1
    • 1
    • 1
    AA 25-223

    原理

    ICAM2 Antibody

    纯化方法

    Antigen Affinity Purified

    免疫原

    Recombinant Human Intercellular adhesion molecule 2 protein (25-223AA)

    亚型

    IgG
  • 应用备注

    Optimal working dilution should be determined by the investigator.

    限制

    仅限研究用
  • 状态

    Liquid

    缓冲液

    PBS with 0.02 % sodium azide, 50 % glycerol, pH 7.3.

    储存液

    Sodium azide

    注意事项

    This product contains Sodium azide: a POISONOUS AND HAZARDOUS SUBSTANCE which should be handled by trained staff only.

    储存条件

    -20 °C,-80 °C

    储存方法

    Upon receipt, store at -20°C or -80°C. Avoid repeated freeze.
  • 抗原

    ICAM2 (Intercellular Adhesion Molecule 2 (ICAM2))

    别名

    ICAM2

    背景

    Background: ICAM proteins are ligands for the leukocyte adhesion protein LFA-1 (integrin alpha-L/beta-2). ICAM2 may play a role in lymphocyte recirculation by blocking LFA-1-dependent cell adhesion. It mediates adhesive interactions important for antigen-specific immune response, NK-cell mediated clearance, lymphocyte recirculation, and other cellular interactions important for immune response and surveillance.

    Aliases: ICAM2Intercellular adhesion molecule 2 antibody, ICAM-2 antibody, CD antigen CD102 antibody

    UniProt

    P13598
You are here: