电话:
+86 (0512) 65829739
传真:
+86 (010) 6788 5057
电子邮件:
orders@antibodies-online.cn

GAPDH 抗体

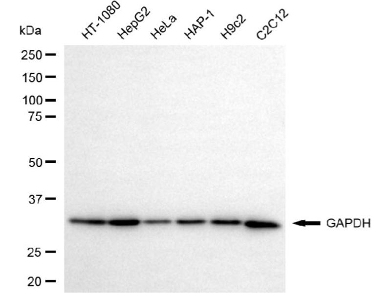
The 小鼠 单克隆 anti-GAPDH antibody is suitable to detect GAPDH in samples from 人. It has been validated for WB 和 FACS.
产品编号 ABIN7798767
发货至: 中国
Contact our Customer Service for availability and price in your country. Contact Info

Our Local Distributor

中国
北京 101111
No. 88 KeChuang 6th Street
Beijing Economic Technological Development Area
Room 801-803
4A Biotech Co.,Ltd.
Tel +86 (0512) 65829739 传真 +86 (010) 6788 5057

Quick Overview for GAPDH 抗体 (ABIN7798767)

抗原

See all GAPDH 抗体
GAPDH (Glyceraldehyde-3-Phosphate Dehydrogenase (GAPDH))

适用

  • 257
  • 182
  • 161
  • 65
  • 58
  • 54
  • 46
  • 41
  • 39
  • 28
  • 24
  • 22
  • 21
  • 18
  • 15
  • 14
  • 12
  • 9
  • 9
  • 8
  • 6
  • 4
  • 4
  • 4
  • 4
  • 4
  • 3
  • 3
  • 2
  • 2
  • 2
  • 2
  • 2
  • 1
  • 1
  • 1
  • 1
  • 1
  • 1
  • 1

宿主

  • 200
  • 95
  • 20
  • 8
  • 4
小鼠

克隆类型

  • 198
  • 127
单克隆

标记

  • 179
  • 34
  • 21
  • 17
  • 5
  • 5
  • 5
  • 5
  • 5
  • 5
  • 3
  • 2
  • 2
  • 2
  • 2
  • 2
  • 2
  • 2
  • 2
  • 2
  • 2
  • 2
  • 2
  • 2
  • 2
  • 2
  • 2
  • 2
  • 2
  • 1
  • 1
  • 1
  • 1
  • 1
  • 1
  • 1
This GAPDH antibody is un-conjugated

应用范围

  • 267
  • 109
  • 104
  • 98
  • 56
  • 55
  • 50
  • 36
  • 20
  • 16
  • 15
  • 15
  • 9
  • 6
  • 5
  • 4
  • 3
  • 3
  • 2
  • 1
  • 1
  • 1
  • 1
  • 1
  • 1
Western Blotting (WB), Flow Cytometry (FACS)

质量等级

KO Validated

克隆位点

24GB7870
You are here: