电话:
+86 (0512) 65829739
传真:
+86 (010) 6788 5057
电子邮件:
orders@antibodies-online.cn

FLT1 抗体

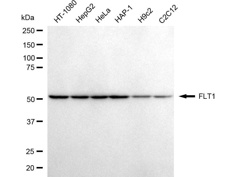
The 小鼠 单克隆 anti-FLT1 antibody (Clone 24GB7115) (ABIN7798636) specifically detects FLT1 in WB 和 FACS. The antibody is reactive with 人 samples.
产品编号 ABIN7798636
发货至: 中国
Contact our Customer Service for availability and price in your country. Contact Info

Our Local Distributor

中国
北京 101111
No. 88 KeChuang 6th Street
Beijing Economic Technological Development Area
Room 801-803
4A Biotech Co.,Ltd.
Tel +86 (0512) 65829739 传真 +86 (010) 6788 5057

Quick Overview for FLT1 抗体 (ABIN7798636)

抗原

See all FLT1 抗体
FLT1 (Fms-Related tyrosine Kinase 1 (VEGFR1) (FLT1))

适用

  • 167
  • 74
  • 65
  • 12
  • 2
  • 2
  • 2
  • 2
  • 2
  • 2
  • 1
  • 1
  • 1
  • 1
  • 1
  • 1
  • 1

宿主

  • 143
  • 46
  • 8
  • 7
  • 3
小鼠

克隆类型

  • 130
  • 77
单克隆

标记

  • 120
  • 24
  • 13
  • 3
  • 3
  • 3
  • 3
  • 3
  • 3
  • 3
  • 3
  • 2
  • 2
  • 1
  • 1
  • 1
  • 1
  • 1
  • 1
  • 1
  • 1
  • 1
  • 1
  • 1
  • 1
  • 1
  • 1
  • 1
  • 1
  • 1
  • 1
  • 1
  • 1
  • 1
  • 1
This FLT1 antibody is un-conjugated

应用范围

  • 131
  • 67
  • 53
  • 49
  • 36
  • 35
  • 30
  • 16
  • 14
  • 13
  • 7
  • 5
  • 5
  • 2
  • 2
  • 1
  • 1
  • 1
Western Blotting (WB), Flow Cytometry (FACS)

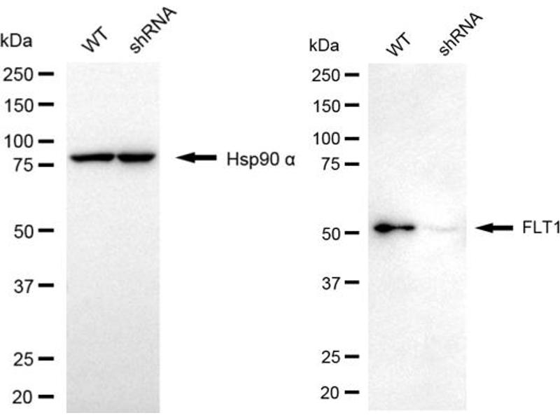
质量等级

KD Validated

克隆位点

24GB7115
You are here: