电话:
+86 (0512) 65829739
传真:
+86 (010) 6788 5057
电子邮件:
orders@antibodies-online.cn

FTL 抗体

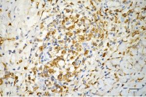
The 小鼠 单克隆 anti-FTL antibody (Clone 25GB6125) (ABIN7798597) specifically detects FTL in WB 和 IF (p). The antibody is reactive with 人 samples.
产品编号 ABIN7798597
发货至: 中国
Contact our Customer Service for availability and price in your country. Contact Info

Our Local Distributor

中国
北京 101111
No. 88 KeChuang 6th Street
Beijing Economic Technological Development Area
Room 801-803
4A Biotech Co.,Ltd.
Tel +86 (0512) 65829739 传真 +86 (010) 6788 5057

Quick Overview for FTL 抗体 (ABIN7798597)

抗原

See all FTL 抗体
FTL (Ferritin, Light Polypeptide (FTL))

适用

  • 155
  • 40
  • 35
  • 8
  • 2
  • 1
  • 1
  • 1
  • 1
  • 1

宿主

  • 82
  • 81
  • 2
小鼠

克隆类型

  • 106
  • 59
单克隆

标记

  • 65
  • 17
  • 7
  • 6
  • 6
  • 6
  • 6
  • 6
  • 6
  • 5
  • 4
  • 3
  • 3
  • 3
  • 3
  • 3
  • 3
  • 1
  • 1
  • 1
  • 1
  • 1
  • 1
  • 1
  • 1
  • 1
  • 1
  • 1
  • 1
  • 1
This FTL antibody is un-conjugated

应用范围

  • 105
  • 98
  • 42
  • 39
  • 34
  • 29
  • 20
  • 13
  • 12
  • 11
  • 4
  • 4
  • 3
  • 3
  • 2
  • 2
  • 1
  • 1
Western Blotting (WB), Immunofluorescence (Paraffin-embedded Sections) (IF (p))

质量等级

KO Validated

克隆位点

25GB6125
You are here: