电话:
+86 (0512) 65829739
传真:
+86 (010) 6788 5057
电子邮件:
orders@antibodies-online.cn

FTL 抗体 (AA 38-165)

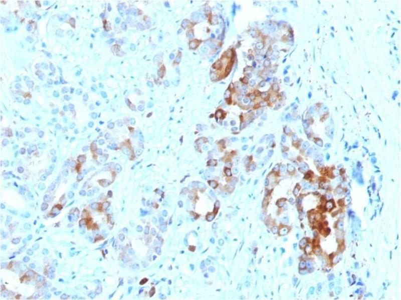
The 小鼠 单克隆 anti-FTL antibody (Clone FTL-1387) (ABIN6939459) specifically detects FTL in WB 和 IHC. The antibody is reactive with 人 samples.
产品编号 ABIN6939459
发货至: 中国
Contact our Customer Service for availability and price in your country. Contact Info

Our Local Distributor

中国
北京 101111
No. 88 KeChuang 6th Street
Beijing Economic Technological Development Area
Room 801-803
4A Biotech Co.,Ltd.
Tel +86 (0512) 65829739 传真 +86 (010) 6788 5057

Quick Overview for FTL 抗体 (AA 38-165) (ABIN6939459)

抗原

See all FTL 抗体
FTL (Ferritin, Light Polypeptide (FTL))

适用

  • 158
  • 42
  • 37
  • 8
  • 3
  • 3
  • 2
  • 2
  • 1
  • 1
  • 1

宿主

  • 84
  • 82
  • 2
小鼠

克隆类型

  • 109
  • 59
单克隆

标记

  • 68
  • 17
  • 7
  • 6
  • 6
  • 6
  • 6
  • 6
  • 6
  • 5
  • 4
  • 3
  • 3
  • 3
  • 3
  • 3
  • 3
  • 1
  • 1
  • 1
  • 1
  • 1
  • 1
  • 1
  • 1
  • 1
  • 1
  • 1
  • 1
  • 1
This FTL antibody is un-conjugated

应用范围

  • 109
  • 105
  • 42
  • 39
  • 34
  • 29
  • 20
  • 13
  • 13
  • 11
  • 3
  • 2
  • 2
  • 1
  • 1
  • 1
Western Blotting (WB), Immunohistochemistry (IHC)

克隆位点

FTL-1387
  • 抗原表位

    • 71
    • 13
    • 11
    • 3
    • 3
    • 3
    • 2
    • 1
    • 1
    • 1
    AA 38-165

    原理

    Ferritin, Light Chain (Node-Negative Breast Tumor Prognostic Marker) Antibody

    特异性

    Mammalian ferritins consist of 24 subunits made up of 2 types of polypeptide chains, ferritin heavy chain and ferritin light chain. Ferritin heavy chains catalyze the first step in iron storage, the oxidation of Fe (II), whereas ferritin light chains promote the nucleation of ferrihydrite, enabling storage of Fe (III). Light chain ferritin is involved in cataracts by at least two mechanisms, hereditary hyperferritinemia cataract syndrome, in which light chain ferritin is overexpressed, and oxidative stress, an important factor in the development of ageing-related cataracts.

    纯化方法

    200ug/ml of Ab Purified from Bioreactor Concentrate by Protein A/G.

    免疫原

    Recombinant fragment (around aa 38-165) of human FTL protein (exact sequence is proprietary)

    亚型

    IgG2a, kappa
  • 应用备注

    Positive Control: HepG2, HeLa, HL-60 or 293T cells. Pancreas, Liver, Cerebellum or Testis.

    Known Application: Western Blot (1-2 μg/mL),Immunohistochemistry (Formalin-fixed) (0.1-0.2 μg/mL for 30 min at RT)(Staining of formalin-fixed tissues requires boiling tissue sections in 10 mM Citrate Buffer, pH 6.0, for 10-20 min followed by cooling at RT for 20 minutes)Optimal dilution for a specific application should be determined.

    限制

    仅限研究用
  • 浓度

    200 μg/mL

    缓冲液

    Prepared in 10 mM PBS with 0.05 % BSA & 0.05 % azide.

    储存液

    Sodium azide

    注意事项

    This product contains Sodium azide: a POISONOUS AND HAZARDOUS SUBSTANCE which should be handled by trained staff only.

    储存条件

    4 °C

    储存方法

    Antibody with azide - store at 2 to 8°C. Antibody without azide - store at -20 to -80°C. Antibody is stable for 24 months. Non-hazardous. No MSDS required.

    有效期

    24 months
  • 抗原

    FTL (Ferritin, Light Polypeptide (FTL))

    别名

    FTL

    背景

    Ferritin L chain, Ferritin L subunit, Ferritin light chain, Ferritin light polypeptide, FTL, LFTD, NBIA3

    Cerebellum or Testis., HeLa, HePG2, HL-60 or 293T cells. Pancreas, Kidney, Liver

    分子量

    19-25kDa

    基因ID

    2512, 433670

    UniProt

    P02792

    途径

    Transition Metal Ion Homeostasis
You are here: