电话:
+86 (0512) 65829739
传真:
+86 (010) 6788 5057
电子邮件:
orders@antibodies-online.cn

C3 抗体

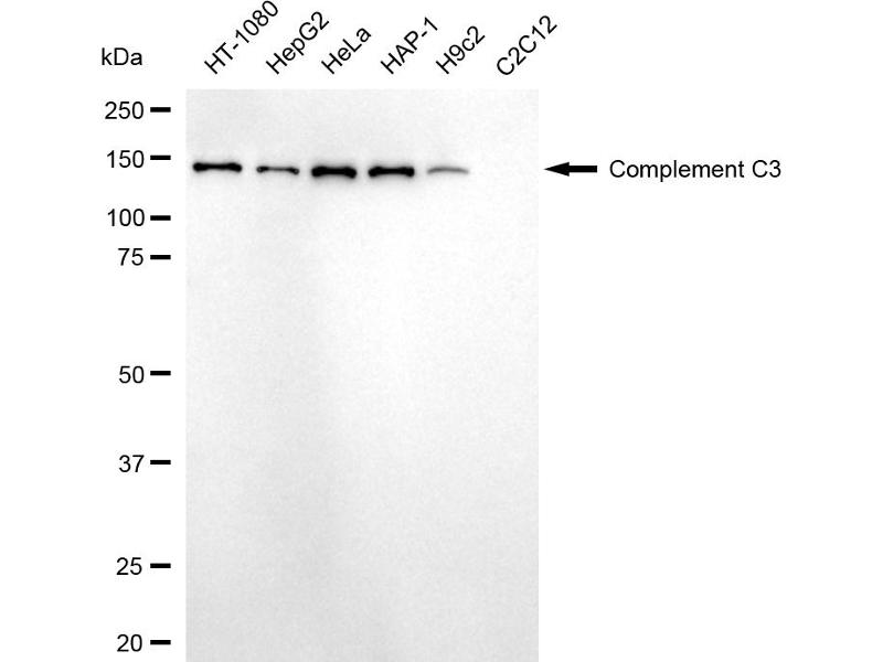
The 小鼠 单克隆 anti-C3 antibody (Clone 24GB2945) (ABIN7798138) specifically detects C3 in WB 和 FACS. The antibody is reactive with 人 samples.
产品编号 ABIN7798138
发货至: 中国
Contact our Customer Service for availability and price in your country. Contact Info

Our Local Distributor

中国
北京 101111
No. 88 KeChuang 6th Street
Beijing Economic Technological Development Area
Room 801-803
4A Biotech Co.,Ltd.
Tel +86 (0512) 65829739 传真 +86 (010) 6788 5057

Quick Overview for C3 抗体 (ABIN7798138)

抗原

See all C3 抗体
C3 (Complement Component 3 (C3))

适用

  • 140
  • 60
  • 40
  • 5
  • 5
  • 5
  • 4
  • 3
  • 1

宿主

  • 116
  • 46
  • 37
  • 8
  • 7
  • 5
  • 2
  • 2
小鼠

克隆类型

  • 148
  • 74
单克隆

标记

  • 97
  • 28
  • 28
  • 15
  • 4
  • 3
  • 3
  • 3
  • 3
  • 3
  • 3
  • 3
  • 3
  • 3
  • 2
  • 2
  • 2
  • 2
  • 2
  • 2
  • 2
  • 2
  • 2
  • 2
  • 2
  • 1
  • 1
This C3 antibody is un-conjugated

应用范围

  • 135
  • 64
  • 50
  • 45
  • 39
  • 39
  • 37
  • 36
  • 33
  • 30
  • 22
  • 13
  • 13
  • 8
  • 5
  • 5
  • 2
  • 2
  • 2
  • 1
  • 1
  • 1
  • 1
  • 1
  • 1
  • 1
  • 1
  • 1
Western Blotting (WB), Flow Cytometry (FACS)

克隆位点

24GB2945
You are here: