电话:
+86 (0512) 65829739
传真:
+86 (010) 6788 5057
电子邮件:
orders@antibodies-online.cn

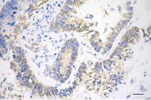
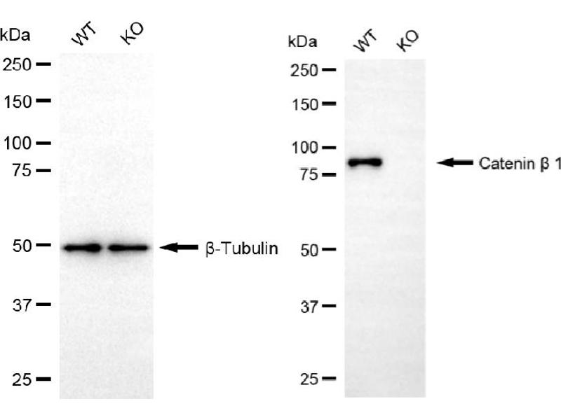
CTNNB1 抗体

This 小鼠 单克隆 antibody specifically detects CTNNB1 in WB, FACS 和 IF (p). It exhibits reactivity toward 人.
产品编号 ABIN7797929
发货至: 中国
Contact our Customer Service for availability and price in your country. Contact Info

Our Local Distributor

中国
北京 101111
No. 88 KeChuang 6th Street
Beijing Economic Technological Development Area
Room 801-803
4A Biotech Co.,Ltd.
Tel +86 (0512) 65829739 传真 +86 (010) 6788 5057

Quick Overview for CTNNB1 抗体 (ABIN7797929)

抗原

See all CTNNB1 抗体
CTNNB1 (Catenin (Cadherin-Associated Protein), beta 1, 88kDa (CTNNB1))

适用

  • 242
  • 131
  • 116
  • 34
  • 25
  • 22
  • 22
  • 18
  • 13
  • 11
  • 10
  • 10
  • 9
  • 7
  • 6
  • 5
  • 1

宿主

  • 149
  • 89
  • 3
  • 3
  • 2
小鼠

克隆类型

  • 141
  • 105
单克隆

标记

  • 211
  • 8
  • 4
  • 4
  • 4
  • 3
  • 3
  • 3
  • 1
  • 1
  • 1
  • 1
  • 1
  • 1
This CTNNB1 antibody is un-conjugated

应用范围

  • 211
  • 98
  • 92
  • 81
  • 46
  • 45
  • 42
  • 31
  • 12
  • 6
  • 5
  • 5
  • 3
  • 3
  • 2
  • 2
  • 2
  • 1
  • 1
  • 1
  • 1
  • 1
Western Blotting (WB), Flow Cytometry (FACS), Immunofluorescence (Paraffin-embedded Sections) (IF (p))

质量等级

KO Validated

克隆位点

25GB3905
You are here: