Recombinant Androgen Receptor 抗体
Our Local Distributor
北京 101111
Quick Overview for Recombinant Androgen Receptor 抗体 (ABIN7797599)
抗原
See all Androgen Receptor (AR) 抗体抗体类型
适用
宿主
克隆类型
标记
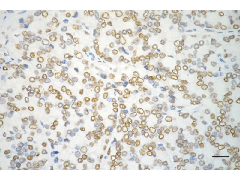
应用范围
质量等级
克隆位点
-
-
Expression System
- HEK-293 Cells
-
原理
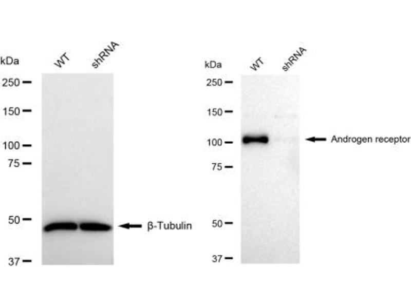
- KD-Validated Androgen receptor Recombinant Rabbit mAb
-
交叉反应
- 小鼠
-
纯化方法
- Affinity Purified
-
免疫原
- A synthesized peptide derived from human Androgen Receptor
-
亚型
- IgG
-
-
-
-
应用备注
- Western Blotting (WB): 1:1,000-1:5,000, Immunohistochemistry-Paraffin (IHC-P): 1:100-1:200
-
说明
-
We assess the antibodies’ specificity and selectivity using knockdown techniques. Our validation approach is straightforward: if an antibody identifies a signal in wild-type (WT) cells, but this signal is absent or noticeably reduced in gene-silenced (KD) cells, we consider the antibody to be highly specific.
-
限制
- 仅限研究用
-
-
-
状态
- Liquid
-
缓冲液
- PBS (pH 7.4) containing 50% glycerol and 0.02% sodium azide.
-
储存液
- Sodium azide
-
注意事项
- This product contains Sodium azide: a POISONOUS AND HAZARDOUS SUBSTANCE which should be handled by trained staff only.
-
储存条件
- -20 °C
-
储存方法
- Store at -20 °C for one year.
-
有效期
- 12 months
-
-
- Androgen Receptor (AR)
-
别名
- Androgen receptor
-
分子量
- 99 kDa
-
基因ID
- 367
-
UniProt
- P10275
-
途径
- Nuclear Receptor Transcription Pathway, Intracellular Steroid Hormone Receptor Signaling Pathway, Steroid Hormone Mediated Signaling Pathway, Regulation of Intracellular Steroid Hormone Receptor Signaling, Nuclear Hormone Receptor Binding, Chromatin Binding
抗原
-