电话:
+86 (0512) 65829739
传真:
+86 (010) 6788 5057
电子邮件:
orders@antibodies-online.cn

GLP1R 抗体 (AA 101-200)

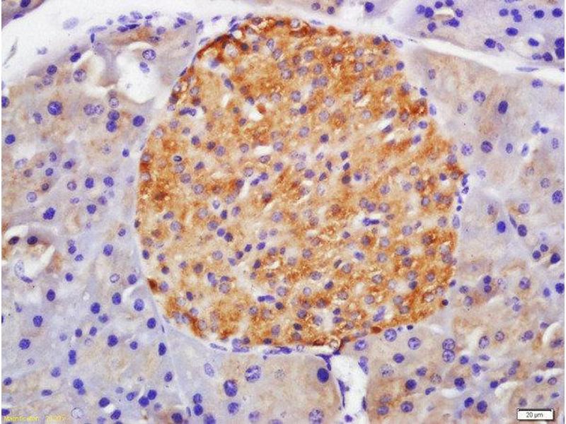
There are 2+ publications for this product available. The 兔 多克隆 anti-GLP1R antibody is suitable to detect GLP1R in samples from 人, 小鼠 和 大鼠. It has been validated for WB, ELISA, IP, FACS, ICC, IHC (p), IHC (fro), IF (cc) 和 IF (p).
产品编号 ABIN731333
发货至: 中国
Contact our Customer Service for availability and price in your country. Contact Info

Our Local Distributor

中国
北京 101111
No. 88 KeChuang 6th Street
Beijing Economic Technological Development Area
Room 801-803
4A Biotech Co.,Ltd.
Tel +86 (0512) 65829739 传真 +86 (010) 6788 5057

Quick Overview for GLP1R 抗体 (AA 101-200) (ABIN731333)

抗原

See all GLP1R 抗体
GLP1R (Glucagon-Like Peptide 1 Receptor (GLP1R))

适用

  • 43
  • 29
  • 17
  • 2
  • 2
  • 2
  • 2
  • 1
  • 1
  • 1
  • 1
  • 1
  • 1
人, 小鼠, 大鼠

宿主

  • 46
  • 6
  • 2
  • 2
  • 1

克隆类型

  • 48
  • 9
多克隆

标记

  • 36
  • 5
  • 5
  • 4
  • 1
  • 1
  • 1
  • 1
  • 1
  • 1
  • 1
This GLP1R antibody is un-conjugated

应用范围

  • 25
  • 23
  • 15
  • 13
  • 7
  • 6
  • 3
  • 3
  • 2
  • 2
  • 1
  • 1
Western Blotting (WB), ELISA, Immunoprecipitation (IP), Flow Cytometry (FACS), Immunocytochemistry (ICC), Immunohistochemistry (Paraffin-embedded Sections) (IHC (p)), Immunohistochemistry (Frozen Sections) (IHC (fro)), Immunofluorescence (Cultured Cells) (IF (cc)), Immunofluorescence (Paraffin-embedded Sections) (IF (p))
  • 抗原表位

    • 9
    • 4
    • 4
    • 3
    • 3
    • 2
    • 2
    • 2
    • 2
    • 2
    • 2
    • 1
    • 1
    • 1
    • 1
    • 1
    • 1
    • 1
    • 1
    AA 101-200

    交叉反应

    人, 小鼠, 大鼠

    预测反应

    Dog

    纯化方法

    Purified by Protein A.

    免疫原

    KLH conjugated synthetic peptide derived from rat GLP-1R

    亚型

    IgG
  • 应用备注

    WB 1:300-5000
    ELISA 1:500-1000
    FCM 1:20-100
    IHC-P 1:200-400
    IHC-F 1:100-500
    IF(IHC-P) 1:50-200
    IF(IHC-F) 1:50-200
    IF(ICC) 1:50-200
    IP(1-2 μg)
    ICC 1:100-500

    限制

    仅限研究用
  • 状态

    Liquid

    浓度

    1 μg/μL

    缓冲液

    0.01M TBS( pH 7.4) with 1 % BSA, 0.02 % Proclin300 and 50 % Glycerol.

    储存液

    ProClin

    注意事项

    This product contains ProClin: a POISONOUS AND HAZARDOUS SUBSTANCE, which should be handled by trained staff only.

    储存条件

    4 °C,-20 °C

    储存方法

    Shipped at 4°C. Store at -20°C for one year. Avoid repeated freeze/thaw cycles.

    有效期

    12 months
  • Nagai, Doi, Nakashima, Irifuku, Sasaki, Ueno, Masaki: "Linagliptin Ameliorates Methylglyoxal-Induced Peritoneal Fibrosis in Mice." in: PLoS ONE, Vol. 11, Issue 8, pp. e0160993, (2016) (PubMed).

    Zhou, Yang, Xin, Li, Guo, Hu, Zhou, Zhang, Zhang, Han, Chen: "Exendin-4 protects adipose-derived mesenchymal stem cells from apoptosis induced by hydrogen peroxide through the PI3K/Akt-Sfrp2 pathways." in: Free radical biology & medicine, Vol. 77, pp. 363-75, (2014) (PubMed).

  • 抗原

    GLP1R (Glucagon-Like Peptide 1 Receptor (GLP1R))

    别名

    GLP-1R

    背景

    Synonyms: GLP-1R, GLP1Rc, Glucagon-like peptide 1 receptor, GLP-1 receptor, GLP-1-R, Glp1r, GLP1R_RAT

    Background: This is a receptor for glucagon-like peptide 1. The activity of this receptor is mediated by G proteins which activate adenylyl cyclase.

    基因ID

    25051

    UniProt

    P32301

    途径

    Positive Regulation of Peptide Hormone Secretion, Hormone Transport, cAMP Metabolic Process, Feeding Behaviour
You are here: