电话:
+86 (0512) 65829739
传真:
+86 (010) 6788 5057
电子邮件:
orders@antibodies-online.cn

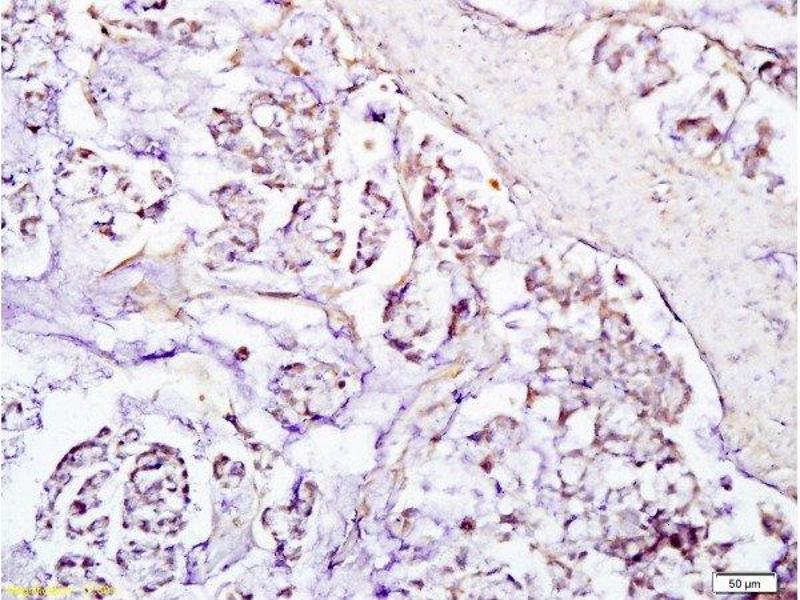
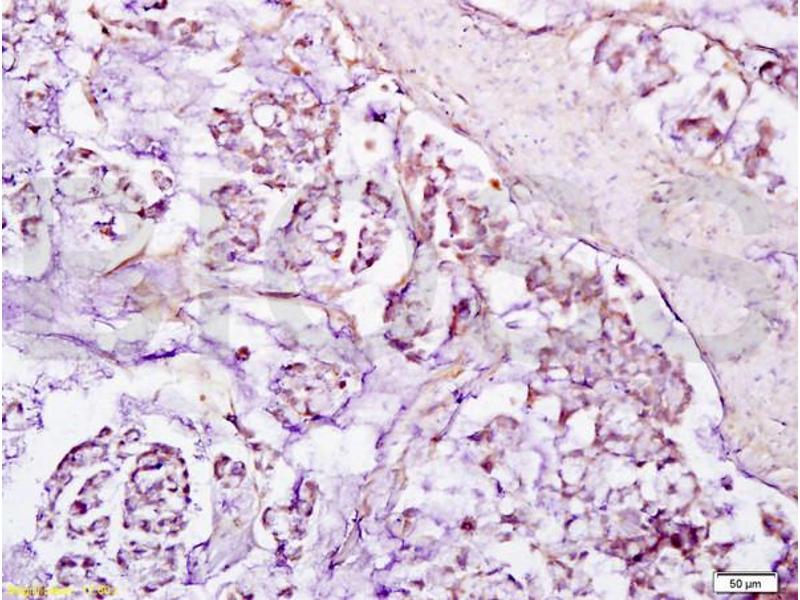
SIRT1 抗体 (AA 101-200)

This 兔 多克隆 antibody specifically detects SIRT1 in WB, ELISA, FACS, IF (cc), IF (p), IHC (p) 和 IHC (fro). It exhibits reactivity toward 人, 小鼠 和 大鼠. It has been mentioned in 5+ publications
产品编号 ABIN729853
发货至: 中国
Contact our Customer Service for availability and price in your country. Contact Info

Our Local Distributor

中国
北京 101111
No. 88 KeChuang 6th Street
Beijing Economic Technological Development Area
Room 801-803
4A Biotech Co.,Ltd.
Tel +86 (0512) 65829739 传真 +86 (010) 6788 5057

Quick Overview for SIRT1 抗体 (AA 101-200) (ABIN729853)

抗原

See all SIRT1 抗体
SIRT1 (Sirtuin 1 (SIRT1))

适用

  • 188
  • 84
  • 54
  • 34
  • 5
  • 3
  • 3
  • 2
  • 2
  • 2
  • 2
  • 1
  • 1
人, 小鼠, 大鼠

宿主

  • 174
  • 22
  • 2
  • 2
  • 1

克隆类型

  • 124
  • 77
多克隆

标记

  • 80
  • 18
  • 10
  • 7
  • 7
  • 7
  • 7
  • 7
  • 7
  • 4
  • 4
  • 4
  • 4
  • 3
  • 3
  • 3
  • 3
  • 3
  • 3
  • 3
  • 3
  • 3
  • 3
  • 3
  • 1
  • 1
This SIRT1 antibody is un-conjugated

应用范围

  • 168
  • 77
  • 64
  • 56
  • 50
  • 49
  • 40
  • 38
  • 35
  • 15
  • 8
  • 4
  • 4
  • 3
  • 2
  • 1
  • 1
Western Blotting (WB), ELISA, Flow Cytometry (FACS), Immunofluorescence (Cultured Cells) (IF (cc)), Immunofluorescence (Paraffin-embedded Sections) (IF (p)), Immunohistochemistry (Paraffin-embedded Sections) (IHC (p)), Immunohistochemistry (Frozen Sections) (IHC (fro))
  • 抗原表位

    • 46
    • 16
    • 15
    • 11
    • 8
    • 7
    • 6
    • 6
    • 5
    • 4
    • 3
    • 2
    • 2
    • 2
    • 2
    • 2
    • 1
    • 1
    • 1
    • 1
    • 1
    • 1
    • 1
    • 1
    • 1
    • 1
    • 1
    • 1
    • 1
    • 1
    • 1
    • 1
    • 1
    • 1
    AA 101-200

    交叉反应

    人, 小鼠, 大鼠

    预测反应

    Cow,Horse,Chicken,Rabbit

    纯化方法

    Purified by Protein A.

    免疫原

    KLH conjugated synthetic peptide derived from human SIRT1

    亚型

    IgG
  • 应用备注

    WB 1:300-5000
    ELISA 1:500-1000
    FCM 1:20-100
    IHC-P 1:200-400
    IHC-F 1:100-500
    IF(IHC-P) 1:50-200
    IF(IHC-F) 1:50-200
    IF(ICC) 1:50-200

    限制

    仅限研究用
  • 状态

    Liquid

    浓度

    1 μg/μL

    缓冲液

    0.01M TBS( pH 7.4) with 1 % BSA, 0.02 % Proclin300 and 50 % Glycerol.

    储存液

    ProClin

    注意事项

    This product contains ProClin: a POISONOUS AND HAZARDOUS SUBSTANCE, which should be handled by trained staff only.

    储存条件

    4 °C,-20 °C

    储存方法

    Shipped at 4°C. Store at -20°C for one year. Avoid repeated freeze/thaw cycles.

    有效期

    12 months
  • Zeng, Hu, He, Wang, Li, Xiong, Ye: "Hypothermic machine perfusion ameliorates inflammation during ischemia‑reperfusion injury via sirtuin‑1‑mediated deacetylation of nuclear factor‑κB p65 in rat livers donated after circulatory death." in: Molecular medicine reports, Vol. 16, Issue 6, pp. 8649-8656, (2018) (PubMed).

    Yan, Jin, Cao, Wang, Lu, Yang, Wu, Cai: "Effects of Aluminium on Long-Term Memory in Rats and on SIRT1 Mediating the Transcription of CREB-Dependent Gene in Hippocampus." in: Basic & clinical pharmacology & toxicology, Vol. 121, Issue 4, pp. 342-352, (2017) (PubMed).

    Hu, Fan, Lv, Zhou, Yang, Zheng, Cao: "5-Aminolevulinic acid-mediated sonodynamic therapy induces anti-tumor effects in malignant melanoma via p53-miR-34a-Sirt1 axis." in: Journal of dermatological science, Vol. 79, Issue 2, pp. 155-62, (2015) (PubMed).

    Mohan, Kumar, Lackner, Alvarez: "Dysregulated miR-34a-SIRT1-acetyl p65 axis is a potential mediator of immune activation in the colon during chronic simian immunodeficiency virus infection of rhesus macaques." in: Journal of immunology (Baltimore, Md. : 1950), Vol. 194, Issue 1, pp. 291-306, (2014) (PubMed).

    Shi, Yin, Xuan, Yao, Meng, Hou: "Vam3, a derivative of resveratrol, attenuates cigarette smoke-induced autophagy." in: Acta pharmacologica Sinica, Vol. 33, Issue 7, pp. 888-96, (2012) (PubMed).

  • 抗原

    SIRT1 (Sirtuin 1 (SIRT1))

    别名

    SIRT1

    背景

    Synonyms: SIR2L1, NAD-dependent protein deacetylase sirtuin-1, hSIRT1, Regulatory protein SIR2 homolog 1, SIR2-like protein 1, hSIR2, SIRT1

    Background: This gene encodes a member of the sirtuin family of proteins, homologs to the yeast Sir2 protein. Members of the sirtuin family are characterized by a sirtuin core domain and grouped into four classes. The functions of human sirtuins have not yet been determined, however, yeast sirtuin proteins are known to regulate epigenetic gene silencing and suppress recombination of rDNA. Studies suggest that the human sirtuins may function as intracellular regulatory proteins with mono-ADP-ribosyltransferase activity. The protein encoded by this gene is included in class I of the sirtuin family. Alternative splicing results in multiple transcript variants. [provided by RefSeq, Dec 2008]

    基因ID

    23411

    UniProt

    Q96EB6

    途径

    MAPK Pathway, Intracellular Steroid Hormone Receptor Signaling Pathway, Regulation of Intracellular Steroid Hormone Receptor Signaling, Carbohydrate Homeostasis, Positive Regulation of Endopeptidase Activity, Regulation of Carbohydrate Metabolic Process, Positive Regulation of Response to DNA Damage Stimulus, Negative Regulation of intrinsic apoptotic Signaling
You are here: