MICA 抗体 (AA 120-170)
Our Local Distributor
北京 101111
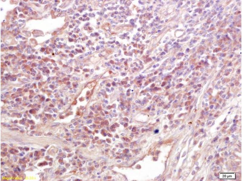
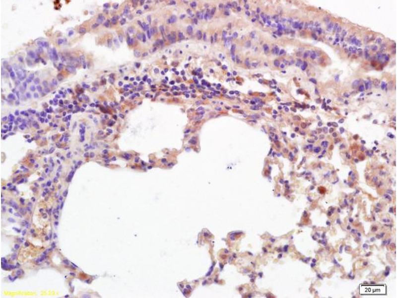
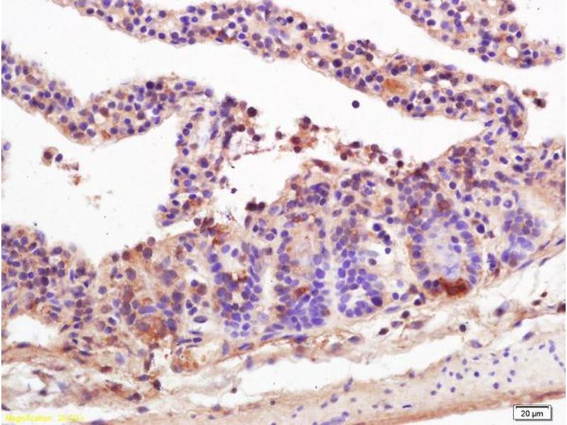
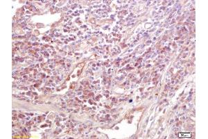
Quick Overview for MICA 抗体 (AA 120-170) (ABIN728788)
抗原
See all MICA 抗体适用
宿主
克隆类型
标记
应用范围
-
-
抗原表位
- AA 120-170
-
交叉反应
- 人
-
纯化方法
- Purified by Protein A.
-
免疫原
- KLH conjugated synthetic peptide derived from human MICA
-
亚型
- IgG
-
-
-
-
应用备注
-
WB 1:100-1000
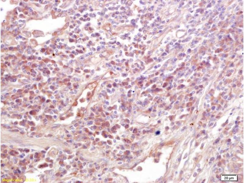
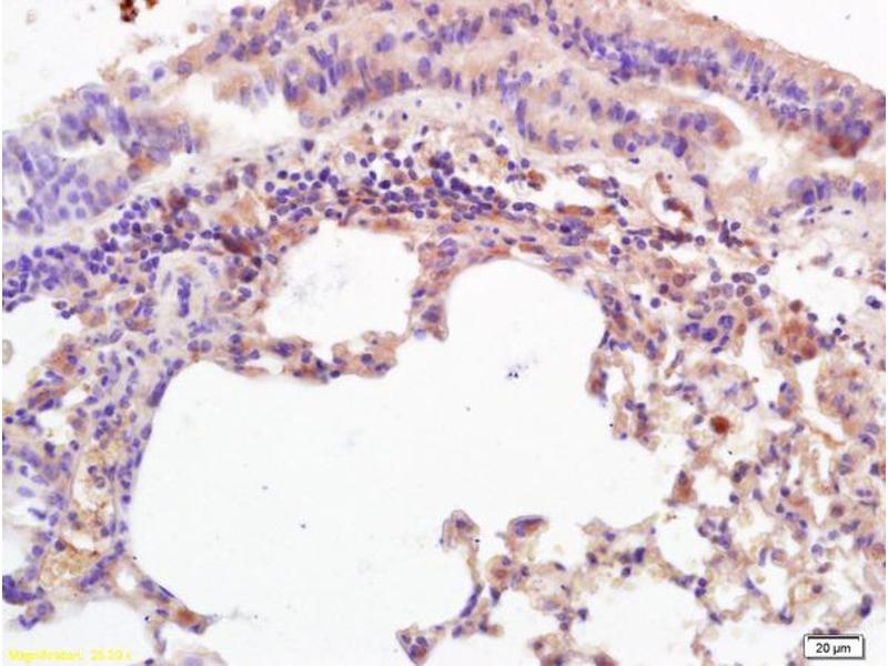
IHC-P 1:100-500
IF(IHC-P) 1:50-200 -
限制
- 仅限研究用
-
-
-
状态
- Liquid
-
浓度
- 1 μg/μL
-
缓冲液
- Aqueous buffered solution containing 1 % BSA, 50 % glycerol and 0.09 % sodium azide.
-
储存液
- Sodium azide
-
注意事项
- This product contains Sodium azide: a POISONOUS AND HAZARDOUS SUBSTANCE, which should be handled by trained staff only.
-
储存条件
- -20 °C
-
储存方法
- Store at -20°C for 12 months.
-
有效期
- 12 months
-
-
-
: "Scorpion venom activates natural killer cells in hepatocellular carcinoma via the NKG2D-MICA pathway." in: International immunopharmacology, Vol. 35, pp. 307-14, (2016) (PubMed).
-
: "Scorpion venom activates natural killer cells in hepatocellular carcinoma via the NKG2D-MICA pathway." in: International immunopharmacology, Vol. 35, pp. 307-14, (2016) (PubMed).
-
- MICA (MHC Class I Polypeptide-Related Sequence A (MICA))
-
别名
- MICA
-
背景
-
Synonyms: MIC-A, PERB11.1, MHC class I polypeptide-related sequence A, MICA
Background: Seems to have no role in antigen presentation. Acts as a stress-induced self-antigen that is recognized by gamma delta T-cells. Ligand for the KLRK1/NKG2D receptor. Binding to KLRK1 leads to cell lysis.
-
基因ID
- 100507436
-
UniProt
- Q29983
-
途径
- Activation of Innate immune Response, Transition Metal Ion Homeostasis, Human Leukocyte Antigen (HLA) in Adaptive Immune Response
抗原
-