电话:
+86 (0512) 65829739
传真:
+86 (010) 6788 5057
电子邮件:
orders@antibodies-online.cn

GZMB 抗体

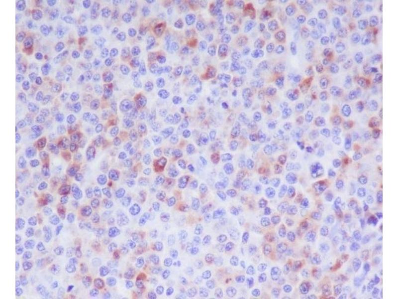
The 兔 单克隆 anti-GZMB antibody is suitable to detect GZMB in samples from 人. It has been validated for IHC, IF, IP 和 ICC.
产品编号 ABIN7605016
发货至: 中国
Contact our Customer Service for availability and price in your country. Contact Info

Our Local Distributor

中国
北京 101111
No. 88 KeChuang 6th Street
Beijing Economic Technological Development Area
Room 801-803
4A Biotech Co.,Ltd.
Tel +86 (0512) 65829739 传真 +86 (010) 6788 5057

Quick Overview for GZMB 抗体 (ABIN7605016)

抗原

See all GZMB 抗体
GZMB (Granzyme B (GZMB))

适用

  • 174
  • 50
  • 25
  • 12
  • 4
  • 4
  • 3
  • 1
  • 1

宿主

  • 99
  • 81
  • 4

克隆类型

  • 101
  • 83
单克隆

标记

  • 91
  • 16
  • 11
  • 5
  • 5
  • 4
  • 4
  • 4
  • 4
  • 4
  • 4
  • 3
  • 2
  • 2
  • 2
  • 2
  • 2
  • 2
  • 2
  • 2
  • 1
  • 1
  • 1
  • 1
  • 1
  • 1
  • 1
  • 1
  • 1
  • 1
  • 1
  • 1
  • 1
This GZMB antibody is un-conjugated

应用范围

  • 86
  • 76
  • 44
  • 43
  • 28
  • 27
  • 18
  • 18
  • 17
  • 14
  • 13
  • 10
  • 6
  • 6
  • 4
  • 3
  • 2
  • 2
  • 2
  • 1
  • 1
  • 1
  • 1
Immunohistochemistry (IHC), Immunofluorescence (IF), Immunoprecipitation (IP), Immunocytochemistry (ICC)

克隆位点

AAHC-7
  • 原理

    Anti-Granzyme B GZMB Monoclonal Antibody

    产品特性

    Anti-Granzyme B GZMB Monoclonal Antibody (ABIN7605016). Tested in IHC, ICC/IF, IP applications. This antibody reacts with Human.

    纯化方法

    Affinity-chromatography

    免疫原

    A synthesized peptide derived from human Granzyme B This enzyme is necessary for target cell lysis in cell-mediated immune responses. It cleaves after Asp. Seems to be linked to an activation cascade of caspases (aspartate-specific cysteine proteases) responsible for apoptosis execution. Cleaves caspase-3, -7, -9 and 10 to give rise to active enzymes mediating apoptosis.

    亚型

    IgG
  • 应用备注

    IHC 1:50-1:200
    ICC/IF 1:50-1:200
    IP 1:50

    限制

    仅限研究用
  • 状态

    Liquid

    溶解方式

    Restore with deionized water (or equivalent) for reconstitution volume of 1.0 mL

    浓度

    0.5 mg/mL

    缓冲液

    Rabbit IgG in phosphate buffered saline, pH 7.4, 150 mM NaCl, 0.02 % sodium azide and 50 % glycerol, 0.4-0.5 mg/mL BSA.

    储存液

    Sodium azide

    注意事项

    This product contains Sodium azide: a POISONOUS AND HAZARDOUS SUBSTANCE which should be handled by trained staff only.

    储存条件

    4 °C,-20 °C

    储存方法

    Store at -20°C for one year. For short term storage and frequent use, store at 4°C for up to one month. Avoid repeated freeze-thaw cycles.
  • 抗原

    GZMB (Granzyme B (GZMB))

    别名

    GZMB

    背景

    Synonyms: Leptin receptor,LEP-R,HuB219,OB receptor,OB-R,CD295,LEPR,DB, OBR,

    Tissue Specificity: Isoform A is expressed in fetal liver and in hematopoietic tissues and choroid plexus. In adults highest expression in heart, liver, small intestine, prostate and ovary. Low level in lung and kidney. Isoform B is highly expressed in hypothalamus.

    分子量

    23 kDa

    UniProt

    P10144

    途径

    Apoptosis, Caspase Cascade in Apoptosis
You are here: