电话:
+86 (0512) 65829739
传真:
+86 (010) 6788 5057
电子邮件:
orders@antibodies-online.cn

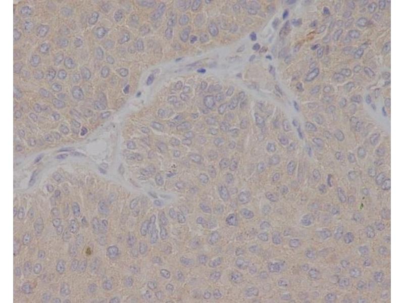
GCET2 抗体

This 兔 单克隆 antibody specifically detects GCET2 in IHC, FACS, ICC 和 IF. It exhibits reactivity toward 人.
产品编号 ABIN7604946
发货至: 中国
Contact our Customer Service for availability and price in your country. Contact Info

Our Local Distributor

中国
北京 101111
No. 88 KeChuang 6th Street
Beijing Economic Technological Development Area
Room 801-803
4A Biotech Co.,Ltd.
Tel +86 (0512) 65829739 传真 +86 (010) 6788 5057

Quick Overview for GCET2 抗体 (ABIN7604946)

抗原

See all GCET2 抗体
GCET2 (Germinal Center Expressed Transcript 2 (GCET2))

适用

  • 34
  • 16
  • 1

宿主

  • 42
  • 8

克隆类型

  • 32
  • 18
单克隆

标记

  • 17
  • 3
  • 3
  • 2
  • 2
  • 2
  • 2
  • 2
  • 2
  • 2
  • 1
  • 1
  • 1
  • 1
  • 1
  • 1
  • 1
  • 1
  • 1
  • 1
  • 1
  • 1
  • 1
This GCET2 antibody is un-conjugated

应用范围

  • 25
  • 14
  • 13
  • 13
  • 11
  • 10
  • 10
  • 10
  • 3
  • 3
  • 2
Immunohistochemistry (IHC), Flow Cytometry (FACS), Immunocytochemistry (ICC), Immunofluorescence (IF)

克隆位点

AFHF-7
  • 原理

    Anti-GCET2 Monoclonal Antibody

    产品特性

    Anti-GCET2 Monoclonal Antibody (ABIN7604946). Tested in IHC, ICC/IF, Flow Cytometry applications. This antibody reacts with Human.

    纯化方法

    Affinity-chromatography

    免疫原

    A synthesized peptide derived from human GCET2 Involved in the negative regulation of lymphocyte motility. It mediates the migration-inhibitory effects of IL6. Serves as a positive regulator of the RhoA signaling pathway. Enhancement of RhoA activation results in inhibition of lymphocyte and lymphoma cell motility by activation of its downstream effector ROCK. Is a regulator of B-cell receptor signaling, that acts through SYK kinase activation.

    亚型

    IgG
  • 应用备注

    IHC 1:100-1:500
    ICC/IF 1:100-1:500
    FC 1:100

    限制

    仅限研究用
  • 状态

    Liquid

    溶解方式

    Restore with deionized water (or equivalent) for reconstitution volume of 1.0 mL

    浓度

    0.5 mg/mL

    缓冲液

    Rabbit IgG in phosphate buffered saline, pH 7.4, 150 mM NaCl, 0.02 % sodium azide and 50 % glycerol, 0.4-0.5 mg/mL BSA.

    储存液

    Sodium azide

    注意事项

    This product contains Sodium azide: a POISONOUS AND HAZARDOUS SUBSTANCE which should be handled by trained staff only.

    储存条件

    4 °C,-20 °C

    储存方法

    Store at -20°C for one year. For short term storage and frequent use, store at 4°C for up to one month. Avoid repeated freeze-thaw cycles.
  • 抗原

    GCET2 (Germinal Center Expressed Transcript 2 (GCET2))

    别名

    GCSAM

    背景

    Synonyms: Histone H3.1,Histone H3/a,Histone H3/b,Histone H3/c,Histone H3/d,Histone H3/f,Histone H3/h,Histone H3/i,Histone H3/j,Histone H3/k,Histone H3/l,HIST1H3A,H3FA,HIST1H3B,H3FL,HIST1H3C,H3FC,HIST1H3D,H3FB,HIST1H3E,H3FD,HIST1H3F,H3FI,HIST1H3G,H3FH,HIST1H3H,H3FK,HIST1H3I,H3FF,HIST1H3J,H3FJ,

    Tissue Specificity: Highly expressed in the brain, with higher expression during development than in adult. Expressed also in mammary glands, testis, colon and kidney. .

    分子量

    58 kDa

    UniProt

    Q8N6F7
You are here: