电话:
+86 (0512) 65829739
传真:
+86 (010) 6788 5057
电子邮件:
orders@antibodies-online.cn

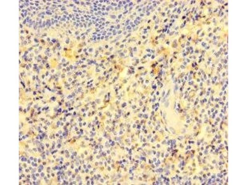
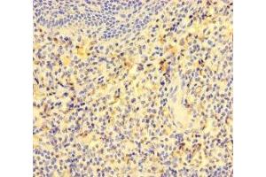
GCET2 抗体 (AA 1-178)

This 兔 多克隆 antibody specifically detects GCET2 in ELISA 和 IHC. It exhibits reactivity toward 人.
产品编号 ABIN7153835
发货至: 中国
Contact our Customer Service for availability and price in your country. Contact Info

Our Local Distributor

中国
北京 101111
No. 88 KeChuang 6th Street
Beijing Economic Technological Development Area
Room 801-803
4A Biotech Co.,Ltd.
Tel +86 (0512) 65829739 传真 +86 (010) 6788 5057

Quick Overview for GCET2 抗体 (AA 1-178) (ABIN7153835)

抗原

See all GCET2 抗体
GCET2 (Germinal Center Expressed Transcript 2 (GCET2))

适用

  • 34
  • 16
  • 1

宿主

  • 42
  • 8

克隆类型

  • 31
  • 19
多克隆

标记

  • 17
  • 3
  • 3
  • 2
  • 2
  • 2
  • 2
  • 2
  • 2
  • 2
  • 1
  • 1
  • 1
  • 1
  • 1
  • 1
  • 1
  • 1
  • 1
  • 1
  • 1
  • 1
  • 1
This GCET2 antibody is un-conjugated

应用范围

  • 25
  • 14
  • 13
  • 13
  • 12
  • 11
  • 11
  • 9
  • 3
  • 3
  • 2
ELISA, Immunohistochemistry (IHC)
  • 抗原表位

    • 15
    • 7
    • 2
    • 1
    • 1
    • 1
    • 1
    AA 1-178

    原理

    GCSAM Antibody

    纯化方法

    Protein G purified

    纯度

    >95 %

    免疫原

    Recombinant Human Germinal center-associated signaling and motility protein (1-178AA)

    亚型

    IgG
  • 应用备注

    Optimal working dilution should be determined by the investigator.

    限制

    仅限研究用
  • 状态

    Liquid

    缓冲液

    Preservative: 0.03 % Proclin 300
    Constituents: 50 % Glycerol, 0.01M PBS, PH 7.4

    储存液

    ProClin

    注意事项

    This product contains ProClin: a POISONOUS AND HAZARDOUS SUBSTANCE which should be handled by trained staff only.

    储存条件

    -20 °C,-80 °C

    储存方法

    Upon receipt, store at -20°C or -80°C. Avoid repeated freeze.
  • 抗原

    GCET2 (Germinal Center Expressed Transcript 2 (GCET2))

    别名

    GCSAM

    背景

    Background: Involved in the negative regulation of lymphocyte motility. It mediates the migration-inhibitory effects of IL6. Serves as a positive regulator of the RhoA signaling pathway. Enhancement of RhoA activation results in inhibition of lymphocyte and lymphoma cell motility by activation of its downstream effector ROCK. Is a regulator of B-cell receptor signaling, that acts through SYK kinase activation.

    Aliases: GCAT2 antibody, Gcet antibody, GCET2 germinal center expressed transcript 2 antibody, GCET2 germinal centre expressed transcript 2 antibody, Gcsam antibody, GCSAM_HUMAN antibody, Germinal center associated lymphoma antibody, Germinal center associated lymphoma protein antibody, Germinal center B cell associated protein 2 antibody, Germinal center B-cell-expressed transcript 2 protein antibody, Germinal center expressed transcript 2 antibody, Germinal center-associated lymphoma protein antibody, Germinal center-associated signaling and motility protein antibody, Germinal centre associated lymphoma antibody, Germinal centre associated lymphoma protein antibody, Germinal centre B cell associated protein 2 antibody, Germinal centre expressed transcript 2 antibody, hGAL antibody, M17 antibody, M17 L antibody

    UniProt

    Q8N6F7
You are here: