电话:
+86 (0512) 65829739
传真:
+86 (010) 6788 5057
电子邮件:
orders@antibodies-online.cn

NDEL1 抗体 (AA 80-320)

The 兔 多克隆 anti-NDEL1 antibody is suitable to detect NDEL1 in samples from 人. It has been validated for WB, ELISA, IHC 和 FACS.
产品编号 ABIN7602511
发货至: 中国
Contact our Customer Service for availability and price in your country. Contact Info

Our Local Distributor

中国
北京 101111
No. 88 KeChuang 6th Street
Beijing Economic Technological Development Area
Room 801-803
4A Biotech Co.,Ltd.
Tel +86 (0512) 65829739 传真 +86 (010) 6788 5057

Quick Overview for NDEL1 抗体 (AA 80-320) (ABIN7602511)

抗原

See all NDEL1 抗体
NDEL1 (NudE Nuclear Distribution E Homolog (A. Nidulans)-Like 1 (NDEL1))

适用

  • 75
  • 65
  • 61
  • 2
  • 1

宿主

  • 100
  • 5
  • 1

克隆类型

  • 81
  • 25
多克隆

标记

  • 27
  • 7
  • 4
  • 4
  • 4
  • 4
  • 4
  • 4
  • 4
  • 4
  • 4
  • 4
  • 4
  • 4
  • 4
  • 3
  • 3
  • 3
  • 3
  • 3
  • 3
  • 1
  • 1
This NDEL1 antibody is un-conjugated

应用范围

  • 60
  • 52
  • 52
  • 21
  • 14
  • 14
  • 12
  • 5
  • 4
  • 1
  • 1
  • 1
  • 1
Western Blotting (WB), ELISA, Immunohistochemistry (IHC), Flow Cytometry (FACS)
  • 抗原表位

    • 22
    • 15
    • 15
    • 15
    • 3
    • 2
    • 2
    • 2
    • 1
    • 1
    • 1
    AA 80-320

    原理

    Anti-NDEL1 Antibody

    交叉反应 (详细)

    No cross-reactivity with other proteins.

    产品特性

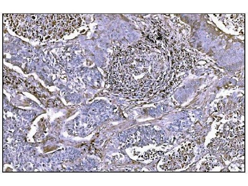
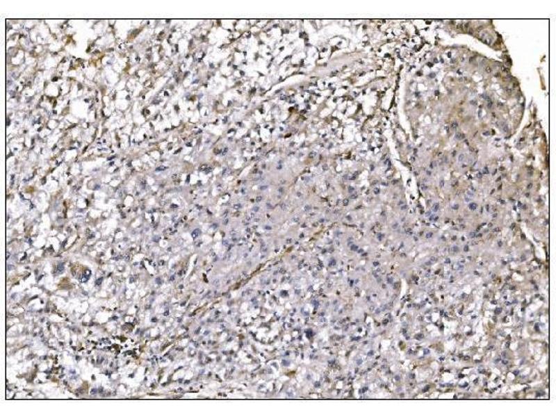
    Anti-NDEL1 Antibody (ABIN7602511). Tested in ELISA, Flow Cytometry, IHC, WB applications. This antibody reacts with Human. This is a premium antibody that guarantees superior quality, high affinity, and strong signals with minimal background in Western blot applications.

    纯化方法

    Immunogen affinity purified.

    免疫原

    E.coli-derived human NDEL1 recombinant protein (Position: K80-C320).

    亚型

    IgG
  • 应用备注

    Western blot, 0.25-0.5 μg/mL, Human
    Immunohistochemistry (Paraffin-embedded Section), 2-5 μg/mL, Human
    Flow Cytometry (Fixed), 1-3 μg/1x106 cells, Human
    ELISA, 0.1-0.5 μg/mL, -

    限制

    仅限研究用
  • 状态

    Lyophilized

    溶解方式

    Add 0.2 mL of distilled water will yield a concentration of 500 μg/mL.

    浓度

    500 μg/mL

    缓冲液

    Each vial contains 4 mg Trehalose, 0.9 mg NaCl, 0.2 mg Na2HPO4.

    储存条件

    4 °C,-20 °C

    储存方法

    Store at -20°C for one year from date of receipt. After reconstitution, at 4°C for one month.
    It can also be aliquotted and stored frozen at -20°C for six months. Avoid repeated freeze-thaw cycles.
  • 抗原

    NDEL1 (NudE Nuclear Distribution E Homolog (A. Nidulans)-Like 1 (NDEL1))

    别名

    NDEL1

    背景

    Synonyms: Fatty acid-binding protein, liver, Fatty acid-binding protein 1, Liver-type fatty acid-binding protein, L-FABP, Squalene- and sterol-carrier protein, SCP, Z-protein, p14, Fabp1

    Tissue Specificity: Expressed in lung cancers, including adenocarcinoma, squamous cell carcinoma and small-cell carcinoma. Widely expressed. Expressed in fetal kidney, liver, lung and brain. In adult highest expression in heart and placenta.

    Background: Nuclear distribution protein nudE-like 1 is a protein that in humans is encoded by the NDEL1 gene. This gene encodes a coiled-coil protein that plays a role in multiple processes including cytoskeletal organization, cell signaling and neuron migration, outgrowth and maintenance. Alternatively spliced transcript variants encoding multiple isoforms have been observed for this gene, and a pseudogene of this gene is located on the long arm of chromosome X.

    分子量

    38 kDa

    基因ID

    81565

    途径

    Regulation of Cell Size
You are here: