电话:
+86 (0512) 65829739
传真:
+86 (010) 6788 5057
电子邮件:
orders@antibodies-online.cn

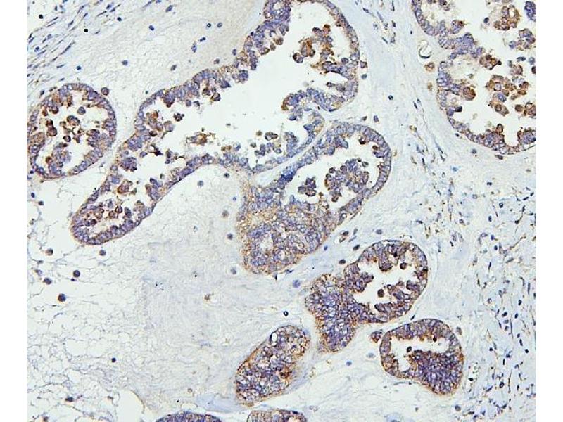
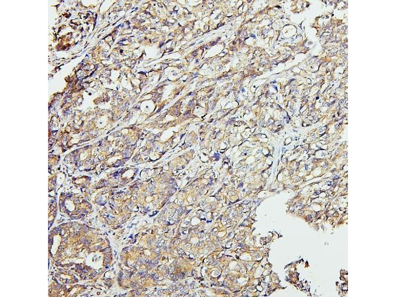
CETP 抗体 (AA 77-353)

The 兔 多克隆 anti-CETP antibody is suitable to detect CETP in samples from 人, 小鼠 和 大鼠. It has been validated for WB, IHC 和 ELISA.
产品编号 ABIN7602439
发货至: 中国
Contact our Customer Service for availability and price in your country. Contact Info

Our Local Distributor

中国
北京 101111
No. 88 KeChuang 6th Street
Beijing Economic Technological Development Area
Room 801-803
4A Biotech Co.,Ltd.
Tel +86 (0512) 65829739 传真 +86 (010) 6788 5057

Quick Overview for CETP 抗体 (AA 77-353) (ABIN7602439)

抗原

See all CETP 抗体
CETP (Cholesteryl Ester Transfer Protein (CETP))

适用

  • 50
  • 16
  • 8
  • 3
  • 2
  • 1
人, 小鼠, 大鼠

宿主

  • 60
  • 6
  • 4
  • 1

克隆类型

  • 57
  • 14
多克隆

标记

  • 33
  • 6
  • 4
  • 2
  • 2
  • 2
  • 2
  • 2
  • 2
  • 2
  • 1
  • 1
  • 1
  • 1
  • 1
  • 1
  • 1
  • 1
  • 1
  • 1
  • 1
  • 1
  • 1
  • 1
This CETP antibody is un-conjugated

应用范围

  • 62
  • 18
  • 15
  • 13
  • 13
  • 13
  • 6
  • 4
  • 4
  • 3
  • 2
  • 1
Western Blotting (WB), Immunohistochemistry (IHC), ELISA
  • 抗原表位

    • 15
    • 5
    • 5
    • 5
    • 3
    • 2
    • 2
    • 2
    • 1
    • 1
    • 1
    • 1
    • 1
    • 1
    • 1
    AA 77-353

    原理

    Anti-CETP Antibody

    交叉反应 (详细)

    No cross-reactivity with other proteins.

    产品特性

    Anti-CETP Antibody (ABIN7602439). Tested in ELISA, IHC, WB applications. This antibody reacts with Human, Mouse, Rat. This is a premium antibody that guarantees superior quality, high affinity, and strong signals with minimal background in Western blot applications.

    纯化方法

    Immunogen affinity purified.

    免疫原

    E.coli-derived human CETP recombinant protein (Position: H77-K353).

    亚型

    IgG
  • 应用备注

    Western blot, 0.25-0.5 μg/mL, Human, Mouse, Rat
    Immunohistochemistry (Paraffin-embedded Section), 0.5-1 μg/mL, Human
    ELISA, 0.1-0.5 μg/mL, -

    限制

    仅限研究用
  • 状态

    Lyophilized

    溶解方式

    Add 0.2 mL of distilled water will yield a concentration of 500 μg/mL.

    浓度

    500 μg/mL

    缓冲液

    Each vial contains 4 mg Trehalose, 0.9 mg NaCl, 0.2 mg Na2HPO4, 0.05 mg Sodium azide.

    储存液

    Sodium azide

    注意事项

    This product contains Sodium azide: a POISONOUS AND HAZARDOUS SUBSTANCE which should be handled by trained staff only.

    储存条件

    4 °C,-20 °C

    储存方法

    Store at -20°C for one year from date of receipt. After reconstitution, at 4°C for one month.
    It can also be aliquotted and stored frozen at -20°C for six months. Avoid repeated freeze-thaw cycles.
  • 抗原

    CETP (Cholesteryl Ester Transfer Protein (CETP))

    别名

    CETP

    背景

    Synonyms: Cholesteryl ester transfer protein, Lipid transfer protein I, CETP

    Tissue Specificity: Expressed by the liver and secreted in plasma.

    Background: CETP (Cholesteryl Ester Transfer Protein Plasma), is a plasma protein that facilitates the transport of cholesteryl esters and triglycerides between the lipoproteins. CETP is also known as lipid transfer protein I (Day et al., 1994). Sparkes et al. (1987) used a CETP probe against DNA from a human/mouse somatic cell hybrid panel to assign the CETP gene to chromosome 16. Because the role of CETP in atherosclerosis remained unclear, Okamoto et al. (2000) attempted to develop a potent, specific CETP inhibitor. One inhibitor, JTT-705, forms a disulfide bond with CETP and increases high density lipoprotein (HDL) cholesterol, decreases non-HDL cholesterol, and inhibits the progression of atherosclerosis in rabbits.

    分子量

    75 kDa

    基因ID

    1071

    UniProt

    P11597
You are here: