电话:
+86 (0512) 65829739
传真:
+86 (010) 6788 5057
电子邮件:
orders@antibodies-online.cn

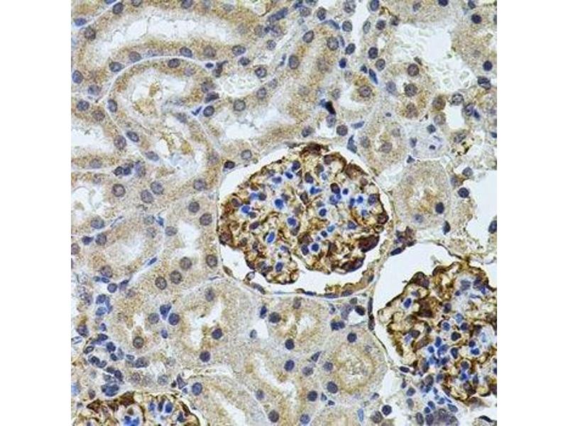
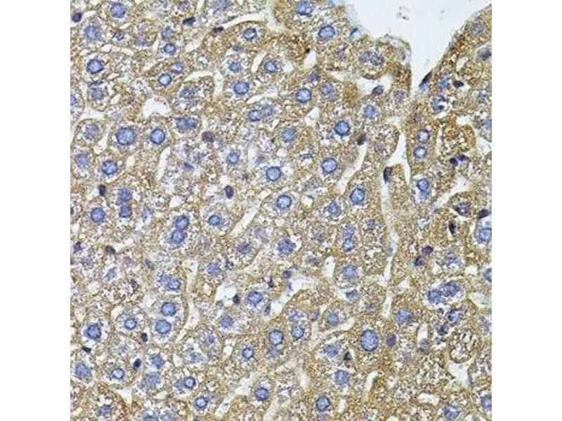
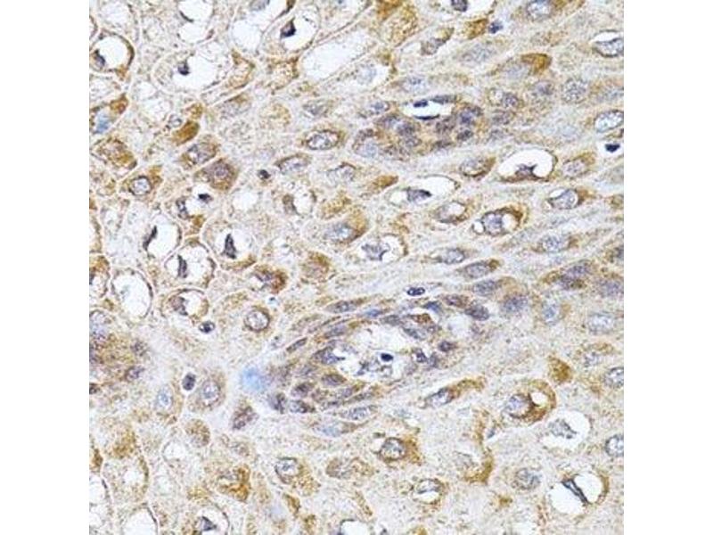
CETP 抗体 (AA 300-493)

This 兔 多克隆 antibody specifically detects CETP in WB 和 IHC. It exhibits reactivity toward 人.
产品编号 ABIN3021919
发货至: 中国
Contact our Customer Service for availability and price in your country. Contact Info

Our Local Distributor

中国
北京 101111
No. 88 KeChuang 6th Street
Beijing Economic Technological Development Area
Room 801-803
4A Biotech Co.,Ltd.
Tel +86 (0512) 65829739 传真 +86 (010) 6788 5057

Quick Overview for CETP 抗体 (AA 300-493) (ABIN3021919)

抗原

See all CETP 抗体
CETP (Cholesteryl Ester Transfer Protein (CETP))

适用

  • 50
  • 17
  • 8
  • 4
  • 2
  • 1

宿主

  • 60
  • 6
  • 4
  • 1

克隆类型

  • 57
  • 14
多克隆

标记

  • 33
  • 6
  • 4
  • 2
  • 2
  • 2
  • 2
  • 2
  • 2
  • 2
  • 1
  • 1
  • 1
  • 1
  • 1
  • 1
  • 1
  • 1
  • 1
  • 1
  • 1
  • 1
  • 1
  • 1
This CETP antibody is un-conjugated

应用范围

  • 62
  • 18
  • 15
  • 14
  • 13
  • 13
  • 6
  • 4
  • 4
  • 3
  • 2
  • 1
Western Blotting (WB), Immunohistochemistry (IHC)
  • 抗原表位

    • 15
    • 5
    • 5
    • 5
    • 3
    • 2
    • 2
    • 2
    • 1
    • 1
    • 1
    • 1
    • 1
    • 1
    • 1
    AA 300-493

    序列

    LMLSLMGDEF KAVLETWGFN TNQEIFQEVV GGFPSQAQVT VHCLKMPKIS CQNKGVVVNS SVMVKFLFPR PDQQHSVAYT FEEDIVTTVQ ASYSKKKLFL SLLDFQITPK TVSNLTESSS ESVQSFLQSM ITAVGIPEVM SRLEVVFTAL MNSKGVSLFD IINPEIITRD GFLLLQMDFG FPEHLLVDFL QSLS

    交叉反应

    人, 小鼠, 大鼠

    产品特性

    Polyclonal Antibodies

    纯化方法

    Affinity purification

    免疫原

    Recombinant fusion protein containing a sequence corresponding to amino acids 300-493 of human CETP (NP_000069.2).

    亚型

    IgG
  • 应用备注

    WB,1:500 - 1:2000,IHC,1:50 - 1:200

    限制

    仅限研究用
  • 状态

    Liquid

    缓冲液

    PBS with 0.02 % sodium azide,50 % glycerol, pH 7.3.

    储存液

    Sodium azide

    注意事项

    This product contains Sodium azide: a POISONOUS AND HAZARDOUS SUBSTANCE which should be handled by trained staff only.

    注意事项

    Avoid freeze / thaw cycles

    储存条件

    -20 °C

    储存方法

    Store at -20°C. Avoid freeze / thaw cycles.
  • 抗原

    CETP (Cholesteryl Ester Transfer Protein (CETP))

    别名

    CETP

    背景

    The protein encoded by this gene is found in plasma, where it is involved in the transfer of cholesteryl ester from high density lipoprotein (HDL) to other lipoproteins. Defects in this gene are a cause of hyperalphalipoproteinemia 1 (HALP1). Two transcript variants encoding different isoforms have been found for this gene.,CETP,BPIFF,HDLCQ10,Cancer,Endocrine & Metabolism,Lipid Metabolism,Cholesterol Metabolism,Cardiovascular,Heart,Lipids,Cardiovascular diseases,Heart disease,CETP

    分子量

    47 kDa/54 kDa

    基因ID

    1071

    UniProt

    P11597
You are here: