电话:
+86 (0512) 65829739
传真:
+86 (010) 6788 5057
电子邮件:
orders@antibodies-online.cn

UBA2 抗体 (AA 449-564)

The 小鼠 单克隆 anti-UBA2 antibody is suitable to detect UBA2 in samples from 人, 小鼠 和 大鼠. It has been validated for WB 和 IHC.
产品编号 ABIN7601755
发货至: 中国
Contact our Customer Service for availability and price in your country. Contact Info

Our Local Distributor

中国
北京 101111
No. 88 KeChuang 6th Street
Beijing Economic Technological Development Area
Room 801-803
4A Biotech Co.,Ltd.
Tel +86 (0512) 65829739 传真 +86 (010) 6788 5057

Quick Overview for UBA2 抗体 (AA 449-564) (ABIN7601755)

抗原

See all UBA2 抗体
UBA2 (SUMO1 Activating Enzyme Subunit 2 (UBA2))

适用

  • 61
  • 27
  • 22
  • 3
  • 2
  • 1
  • 1
  • 1
人, 小鼠, 大鼠

宿主

  • 54
  • 6
  • 1
小鼠

克隆类型

  • 37
  • 24
单克隆

标记

  • 33
  • 4
  • 3
  • 3
  • 3
  • 3
  • 3
  • 3
  • 1
  • 1
  • 1
  • 1
  • 1
  • 1
This UBA2 antibody is un-conjugated

应用范围

  • 47
  • 31
  • 25
  • 17
  • 16
  • 15
  • 6
  • 3
  • 2
  • 1
  • 1
  • 1
Western Blotting (WB), Immunohistochemistry (IHC)

克隆位点

5B13
  • 抗原表位

    • 8
    • 7
    • 2
    • 2
    • 2
    • 2
    • 2
    • 1
    • 1
    • 1
    • 1
    • 1
    • 1
    AA 449-564

    原理

    Anti-SAE2/UBA2 Antibody (monoclonal, 5B13)

    交叉反应 (详细)

    No cross-reactivity with other proteins.

    产品特性

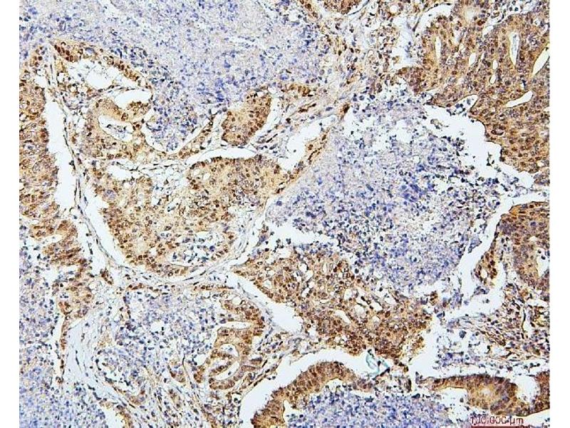
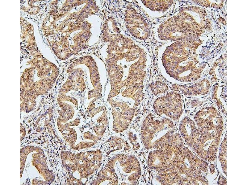
    Anti-SAE2/UBA2 Antibody (monoclonal, 5B13) (ABIN7601755). Tested in IHC, WB applications. This antibody reacts with Human, Mouse, Rat. This is a premium antibody that guarantees superior quality, high affinity, and strong signals with minimal background in Western blot applications.

    免疫原

    E. coli-derived human SAE2/UBA2 recombinant protein (Position: E449-K564).

    亚型

    IgG2b
  • 应用备注

    Western blot, 0.1-0.5 μg/mL, Human, Mouse, Rat
    Immunohistochemistry (Paraffin-embedded Section), 0.5-1 μg/mL, Human

    限制

    仅限研究用
  • 状态

    Lyophilized

    溶解方式

    Add 0.2 mL of distilled water will yield a concentration of 500 μg/mL.

    缓冲液

    Each vial contains 4 mg Trehalose, 0.9 mg NaCl, 0.2 mg Na2HPO4, 0.05 mg NaN3.

    储存液

    Sodium azide

    注意事项

    This product contains Sodium azide: a POISONOUS AND HAZARDOUS SUBSTANCE which should be handled by trained staff only.

    储存条件

    4 °C,-20 °C

    储存方法

    Store at -20°C for one year from date of receipt. After reconstitution, at 4°C for one month.
    It can also be aliquotted and stored frozen at -20°C for six months. Avoid repeated freeze-thaw cycles.
  • 抗原

    UBA2 (SUMO1 Activating Enzyme Subunit 2 (UBA2))

    别名

    UBA2

    背景

    Synonyms: SUMO-activating enzyme subunit 2, Anthracycline-associated resistance ARX, Ubiquitin-like 1-activating enzyme E1B, Ubiquitin-like modifier-activating enzyme 2, UBA2, SAE2, UBLE1B, HRIHFB2115

    Background: Ubiquitin-like 1-activating enzyme E1B (UBLE1B) also known as SUMO-activating enzyme subunit 2 (SAE2) is an enzyme that in humans is encoded by the UBA2 gene. Posttranslational modification of proteins by the addition of the small protein SUMO (see SUMO1, MIM 601912), or sumoylation, regulates protein structure and intracellular localization. SAE1 (MIM 613294) and UBA2 form a heterodimer that functions as a SUMO-activating enzyme for the sumoylation of proteins

    分子量

    90 kDa

    基因ID

    10054
You are here: