电话:
+86 (0512) 65829739
传真:
+86 (010) 6788 5057
电子邮件:
orders@antibodies-online.cn

GIT1 抗体 (AA 415-736)

The 兔 多克隆 anti-GIT1 antibody is suitable to detect GIT1 in samples from 人, 大鼠 和 小鼠. It has been validated for WB, ELISA, IHC, IF, ICC 和 FACS.
产品编号 ABIN7601683
发货至: 中国
Contact our Customer Service for availability and price in your country. Contact Info

Our Local Distributor

中国
北京 101111
No. 88 KeChuang 6th Street
Beijing Economic Technological Development Area
Room 801-803
4A Biotech Co.,Ltd.
Tel +86 (0512) 65829739 传真 +86 (010) 6788 5057

Quick Overview for GIT1 抗体 (AA 415-736) (ABIN7601683)

抗原

See all GIT1 抗体
GIT1

适用

  • 86
  • 65
  • 50
  • 2
  • 2
  • 1
  • 1
  • 1
  • 1
  • 1
人, 大鼠, 小鼠

宿主

  • 114
  • 20

克隆类型

  • 96
  • 38
多克隆

标记

  • 43
  • 9
  • 8
  • 7
  • 3
  • 3
  • 3
  • 3
  • 3
  • 3
  • 3
  • 3
  • 3
  • 3
  • 3
  • 3
  • 3
  • 3
  • 3
  • 3
  • 3
  • 3
  • 3
  • 1
  • 1
  • 1
  • 1
  • 1
  • 1
  • 1
  • 1
  • 1
  • 1
This GIT1 antibody is un-conjugated

应用范围

  • 101
  • 39
  • 39
  • 36
  • 26
  • 19
  • 18
  • 17
  • 17
  • 12
  • 9
  • 8
  • 2
  • 2
  • 2
Western Blotting (WB), ELISA, Immunohistochemistry (IHC), Immunofluorescence (IF), Immunocytochemistry (ICC), Flow Cytometry (FACS)
  • 抗原表位

    • 18
    • 15
    • 15
    • 15
    • 13
    • 9
    • 8
    • 6
    • 3
    • 2
    • 2
    • 1
    • 1
    • 1
    • 1
    • 1
    • 1
    • 1
    • 1
    • 1
    • 1
    • 1
    • 1
    • 1
    AA 415-736

    原理

    Anti-GIT1 Antibody

    交叉反应 (详细)

    No cross-reactivity with other proteins.

    产品特性

    Anti-GIT1 Antibody (ABIN7601683). Tested in ELISA, Flow Cytometry, IF, IHC, ICC, WB applications. This antibody reacts with Human, Mouse, Rat. This is a premium antibody that guarantees superior quality, high affinity, and strong signals with minimal background in Western blot applications.

    纯化方法

    Immunogen affinity purified.

    免疫原

    E.coli-derived human GIT1 recombinant protein (Position: D415-Q736).

    亚型

    IgG
  • 应用备注

    Western blot, 0.25-0.5 μg/mL, Human, Mouse, Rat
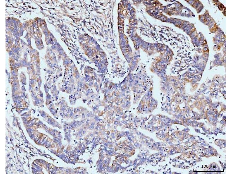
    Immunohistochemistry(Paraffin-embedded Section), 2-5 μg/mL, Human, Mouse, Rat
    Immunocytochemistry/Immunofluorescence, 5 μg/mL, Human
    Flow Cytometry (Fixed), 1-3 μg/1x106 cells, Human
    ELISA, 0.1-0.5 μg/mL, -

    限制

    仅限研究用
  • 状态

    Lyophilized

    溶解方式

    Adding 0.2 mL of distilled water will yield a concentration of 500 μg/mL.

    浓度

    500 μg/mL

    缓冲液

    Each vial contains 4 mg Trehalose, 0.9 mg NaCl, 0.2 mg Na2HPO4.

    储存条件

    4 °C,-20 °C

    储存方法

    At -20°C for one year from date of receipt. After reconstitution, at 4°C for one month.
    It can also be aliquotted and stored frozen at -20°C for six months. Avoid repeated freezing and thawing.
  • 抗原

    GIT1

    别名

    GIT1

    背景

    Synonyms: DNA repair protein XRCC2, X-ray repair cross-complementing protein 2, Xrcc2

    Tissue Specificity: Expressed at low level in somatic tissues and at high level in testis.

    Background: ARF GTPase-activating protein GIT1 is an enzyme that in humans is encoded by the GIT1 gene. G-protein coupled receptor (GPCR) kinase interacting proteins 1 and 2 (GIT-1 and GIT-2) are highly conserved, ubiquitous scaffold proteins involved in localized signaling to help regulate focal contact assembly and cytoskeletal dynamics. GIT proteins contain multiple interaction domains that allow interaction with small GTPases (including ARF, Rac and cdc42), kinases (such as PAK and MEK), the Rho family GEF PIX, and the focal adhesion protein paxillin. GIT-1 is localized to focal adhesions, cytoplasmic complexes and membrane protrusions, and regulates cell protrusion formation and cell migration. GIT-1 has also been implicated in neuronal functions including synapse formation and the pathology of Huntington disease. Huntington disease is a genetic neurodegenerative condition involving a mutation in the huntington gene. The huntington gene product (htt) is ubiquitinated and degraded in human Huntington disease brains. Htt interacts ly with GIT-1 causing enhanced htt proteolysis, indicating that GIT-1 distribution and function may contribute to Huntington disease pathology.

    分子量

    84 kDa

    基因ID

    28964

    UniProt

    Q9Y2X7
You are here: