电话:
+86 (0512) 65829739
传真:
+86 (010) 6788 5057
电子邮件:
orders@antibodies-online.cn

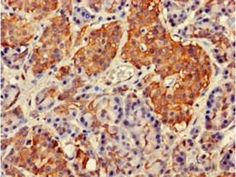
GIT1 抗体 (AA 470-642)

The 兔 多克隆 anti-GIT1 antibody (ABIN7144546) specifically detects GIT1 in WB, ELISA, IHC 和 IF. The antibody is reactive with 人 samples.
产品编号 ABIN7144546
发货至: 中国
Contact our Customer Service for availability and price in your country. Contact Info

Our Local Distributor

中国
北京 101111
No. 88 KeChuang 6th Street
Beijing Economic Technological Development Area
Room 801-803
4A Biotech Co.,Ltd.
Tel +86 (0512) 65829739 传真 +86 (010) 6788 5057

Quick Overview for GIT1 抗体 (AA 470-642) (ABIN7144546)

抗原

See all GIT1 抗体
GIT1

适用

  • 86
  • 66
  • 51
  • 2
  • 2
  • 1
  • 1
  • 1
  • 1
  • 1

宿主

  • 114
  • 20

克隆类型

  • 96
  • 38
多克隆

标记

  • 43
  • 9
  • 8
  • 7
  • 3
  • 3
  • 3
  • 3
  • 3
  • 3
  • 3
  • 3
  • 3
  • 3
  • 3
  • 3
  • 3
  • 3
  • 3
  • 3
  • 3
  • 3
  • 3
  • 1
  • 1
  • 1
  • 1
  • 1
  • 1
  • 1
  • 1
  • 1
  • 1
This GIT1 antibody is un-conjugated

应用范围

  • 101
  • 39
  • 39
  • 36
  • 26
  • 20
  • 18
  • 17
  • 17
  • 13
  • 9
  • 8
  • 2
  • 2
  • 2
Western Blotting (WB), ELISA, Immunohistochemistry (IHC), Immunofluorescence (IF)
  • 抗原表位

    • 18
    • 15
    • 15
    • 15
    • 13
    • 9
    • 8
    • 5
    • 3
    • 2
    • 2
    • 1
    • 1
    • 1
    • 1
    • 1
    • 1
    • 1
    • 1
    • 1
    • 1
    • 1
    • 1
    • 1
    • 1
    AA 470-642

    原理

    GIT1 Antibody

    交叉反应

    小鼠

    纯化方法

    Protein G purified

    纯度

    >95 %

    免疫原

    Recombinant Human ARF GTPase-activating protein GIT1 protein (470-642AA)

    亚型

    IgG
  • 应用备注

    Optimal working dilution should be determined by the investigator.

    限制

    仅限研究用
  • 状态

    Liquid

    缓冲液

    Preservative: 0.03 % Proclin 300
    Constituents: 50 % Glycerol, 0.01M PBS, pH 7.4

    储存液

    ProClin

    注意事项

    This product contains ProClin: a POISONOUS AND HAZARDOUS SUBSTANCE which should be handled by trained staff only.

    储存条件

    -20 °C,-80 °C

    储存方法

    Upon receipt, store at -20°C or -80°C. Avoid repeated freeze.
  • 抗原

    GIT1

    别名

    GIT1

    背景

    Background: GTPase-activating protein for the ADP ribosylation factor family. May serve as a scaffold to bring together molecules to form signaling modules controlling vesicle trafficking, adhesion and cytoskeletal organization. Increases the speed of cell migration, as well as the size and rate of formation of protrusions, possibly by targeting PAK1 to adhesions and the leading edge of lamellipodia. Sequesters inactive non-tyrosine-phosphorylated paxillin in cytoplasmic complexes. Involved in the regulation of cytokinesis, the function may involve SDCCAG3 and PTPN13 (By similarity).

    Aliases: ARF GAP GIT1 antibody, ARF GTPase activating protein GIT1 antibody, ARF GTPase-activating protein GIT1 antibody, CAT 1 antibody, CAT-1 antibody, CaT1 antibody, Cool associated and tyrosine phosphorylated protein 1 antibody, Cool-associated and tyrosine-phosphorylated protein 1 antibody, G protein coupled receptor kinase interacting ArfGAP 1 antibody, G protein coupled receptor kinase interactor 1 antibody, G protein-coupled receptor kinase-interactor 1 antibody, GIT1 antibody, GIT1_HUMAN antibody, GRK interacting protein 1 antibody, GRK-interacting protein 1 antibody

    UniProt

    Q9Y2X7
You are here: