电话:
+86 (0512) 65829739
传真:
+86 (010) 6788 5057
电子邮件:
orders@antibodies-online.cn

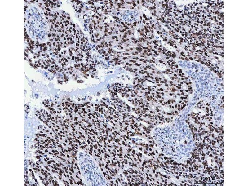
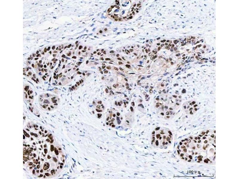
FEN1 抗体 (AA 4-300)

The 兔 多克隆 anti-FEN1 antibody is suitable to detect FEN1 in samples from 人, 小鼠 和 大鼠. It has been validated for WB, IHC, IF, ELISA, ICC 和 FACS.
产品编号 ABIN7601617
发货至: 中国
Contact our Customer Service for availability and price in your country. Contact Info

Our Local Distributor

中国
北京 101111
No. 88 KeChuang 6th Street
Beijing Economic Technological Development Area
Room 801-803
4A Biotech Co.,Ltd.
Tel +86 (0512) 65829739 传真 +86 (010) 6788 5057

Quick Overview for FEN1 抗体 (AA 4-300) (ABIN7601617)

抗原

See all FEN1 抗体
FEN1 (Flap Structure-Specific Endonuclease 1 (FEN1))

适用

  • 81
  • 55
  • 50
  • 5
  • 4
  • 4
  • 4
  • 4
  • 3
  • 3
  • 2
  • 2
  • 2
  • 2
  • 1
人, 小鼠, 大鼠

宿主

  • 72
  • 13

克隆类型

  • 57
  • 28
多克隆

标记

  • 52
  • 4
  • 2
  • 2
  • 2
  • 2
  • 2
  • 2
  • 2
  • 2
  • 1
  • 1
  • 1
  • 1
  • 1
  • 1
  • 1
  • 1
  • 1
  • 1
  • 1
  • 1
  • 1
This FEN1 antibody is un-conjugated

应用范围

  • 72
  • 31
  • 21
  • 13
  • 13
  • 12
  • 8
  • 7
  • 4
  • 1
  • 1
  • 1
  • 1
  • 1
  • 1
Western Blotting (WB), Immunohistochemistry (IHC), Immunofluorescence (IF), ELISA, Immunocytochemistry (ICC), Flow Cytometry (FACS)
  • 抗原表位

    • 7
    • 4
    • 4
    • 4
    • 3
    • 3
    • 3
    • 2
    • 2
    • 2
    • 2
    • 1
    • 1
    • 1
    • 1
    • 1
    • 1
    • 1
    AA 4-300

    原理

    Anti-FEN1 Antibody

    交叉反应 (详细)

    No cross-reactivity with other proteins.

    产品特性

    Anti-FEN1 Antibody (ABIN7601617). Tested in ELISA, Flow Cytometry, IF, IHC, ICC, WB applications. This antibody reacts with Human, Mouse, Rat. This is a premium antibody that guarantees superior quality, high affinity, and strong signals with minimal background in Western blot applications.

    纯化方法

    Immunogen affinity purified.

    免疫原

    E.coli-derived human FEN1 recombinant protein (Position: Q4-E300).

    亚型

    IgG
  • 应用备注

    Western blot, 0.1-0.25 μg/mL, Human, Mouse, Rat
    Immunohistochemistry (Paraffin-embedded Section), 2-5 μg/mL, Human
    Immunocytochemistry/Immunofluorescence, 5 μg/mL, Human
    Immunofluorescence, 5 μg/mL, Human
    Flow Cytometry (Fixed), 1-3 μg/1x106 cells, Human
    ELISA, 0.1-0.5 μg/mL, -

    限制

    仅限研究用
  • 状态

    Lyophilized

    溶解方式

    Add 0.2 mL of distilled water will yield a concentration of 500 μg/mL.

    浓度

    500 μg/mL

    缓冲液

    Each vial contains 4 mg Trehalose, 0.9 mg NaCl and 0.2 mg Na2HPO4.

    储存条件

    4 °C,-20 °C

    储存方法

    Store at -20°C for one year from date of receipt. After reconstitution, at 4°C for one month.
    It can also be aliquotted and stored frozen at -20°C for six months. Avoid repeated freeze-thaw cycles.
  • 抗原

    FEN1 (Flap Structure-Specific Endonuclease 1 (FEN1))

    别名

    FEN1

    背景

    Synonyms: Flap endonuclease 1, FEN-1, DNase IV, Flap structure-specific endonuclease 1, Maturation factor 1, MF1, hFEN-1

    Tissue Specificity: Predominantly expressed in the liver (PubMed:11099417, PubMed:11452359). Low expression levels in the small intestine and colon (PubMed:11099417). Very low levels in other tissues, including brain, heart and spleen (PubMed:11452359).

    Background: Flap endonuclease 1 is an enzyme that in humans is encoded by the FEN1 gene. It is mapped to 11q12.2. The protein encoded by this gene removes 5' overhanging flaps in DNA repair and processes the 5' ends of Okazaki fragments in lagging strand DNA synthesis. physical interaction between this protein and AP endonuclease 1 during long-patch base excision repair provides coordinated loading of the proteins onto the substrate, thus passing the substrate from one enzyme to another. The protein is a member of the XPG/RAD2 endonuclease family and is one of ten proteins essential for cell-free DNA replication. DNA secondary structure can inhibit flap processing at certain trinucleotide repeats in a length-dependent manner by concealing the 5' end of the flap that is necessary for both binding and cleavage by the protein encoded by this gene. Therefore, secondary structure can deter the protective function of this protein, leading to site-specific trinucleotide expansions.

    分子量

    43 kDa

    基因ID

    2237

    UniProt

    P39748

    途径

    Telomere Maintenance, DNA Damage Repair, DNA Replication, Synthesis of DNA
You are here: