电话:
+86 (0512) 65829739
传真:
+86 (010) 6788 5057
电子邮件:
orders@antibodies-online.cn

ASS1 抗体 (AA 3-365)

This 兔 多克隆 antibody specifically detects ASS1 in WB, IHC, ELISA, IF, FACS 和 ICC. It exhibits reactivity toward 人, 小鼠 和 大鼠.
产品编号 ABIN7601190
发货至: 中国
Contact our Customer Service for availability and price in your country. Contact Info

Our Local Distributor

中国
北京 101111
No. 88 KeChuang 6th Street
Beijing Economic Technological Development Area
Room 801-803
4A Biotech Co.,Ltd.
Tel +86 (0512) 65829739 传真 +86 (010) 6788 5057

Quick Overview for ASS1 抗体 (AA 3-365) (ABIN7601190)

抗原

See all ASS1 抗体
ASS1 (Argininosuccinate Synthase 1 (ASS1))

适用

  • 87
  • 42
  • 37
  • 8
  • 4
  • 4
  • 3
  • 3
  • 2
  • 2
  • 1
  • 1
  • 1
人, 小鼠, 大鼠

宿主

  • 72
  • 13
  • 2

克隆类型

  • 49
  • 38
多克隆

标记

  • 50
  • 6
  • 3
  • 3
  • 3
  • 3
  • 3
  • 3
  • 3
  • 3
  • 2
  • 2
  • 2
  • 1
This ASS1 antibody is un-conjugated

应用范围

  • 71
  • 55
  • 39
  • 33
  • 29
  • 17
  • 15
  • 9
  • 3
  • 1
Western Blotting (WB), Immunohistochemistry (IHC), ELISA, Immunofluorescence (IF), Flow Cytometry (FACS), Immunocytochemistry (ICC)
  • 抗原表位

    • 10
    • 8
    • 6
    • 5
    • 3
    • 3
    • 2
    • 2
    • 2
    • 2
    • 2
    • 1
    • 1
    • 1
    • 1
    • 1
    AA 3-365

    原理

    Anti-ASS1 Antibody

    交叉反应 (详细)

    No cross-reactivity with other proteins.

    产品特性

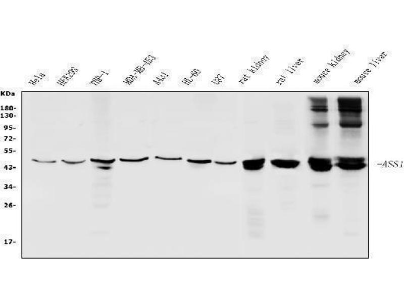
    Anti-ASS1 Antibody (ABIN7601190). Tested in ELISA, Flow Cytometry, IF, IHC, ICC, WB applications. This antibody reacts with Human, Mouse, Rat. This is a premium antibody that guarantees superior quality, high affinity, and strong signals with minimal background in Western blot applications.

    纯化方法

    Immunogen affinity purified.

    免疫原

    E.coli-derived human ASS1 recombinant protein (Position: S3-S365).

    亚型

    IgG
  • 应用备注

    Western blot, 0.1-0.25 μg/mL, Human, Mouse, Rat
    Immunohistochemistry (Paraffin-embedded Section), 0.5-1 μg/mL, Human, Mouse, Rat
    Immunocytochemistry/Immunofluorescence, 2 μg/mL, Human
    Flow Cytometry (Fixed), 1-3 μg/1x106 cells, Human
    ELISA, 0.1-0.5 μg/mL, -

    限制

    仅限研究用
  • 状态

    Lyophilized

    溶解方式

    Add 0.2 mL of distilled water will yield a concentration of 500 μg/mL.

    浓度

    500 μg/mL

    缓冲液

    Each vial contains 4 mg Trehalose, 0.9 mg NaCl, 0.2 mg Na2HPO4, 0.05 mg NaN3.

    储存液

    Sodium azide

    注意事项

    This product contains Sodium azide: a POISONOUS AND HAZARDOUS SUBSTANCE which should be handled by trained staff only.

    储存条件

    4 °C,-20 °C

    储存方法

    Store at -20°C for one year from date of receipt. After reconstitution, at 4°C for one month.
    It can also be aliquotted and stored frozen at -20°C for six months. Avoid repeated freeze-thaw cycles.
  • 抗原

    ASS1 (Argininosuccinate Synthase 1 (ASS1))

    别名

    ASS1

    背景

    Synonyms: Argininosuccinate synthase, Citrulline--aspartate ligase, ASS1, ASS

    Tissue Specificity: Broadly expressed with higher expression in heart.

    Background: Argininosuccinate synthetase is an enzyme that in humans is encoded by the ASS1 gene. It is mapped to 9q34.11. The protein encoded by this gene catalyzes the penultimate step of the arginine biosynthetic pathway. There are approximately 10 to 14 copies of this gene including the pseudogenes scattered across the human genome, among which the one located on chromosome 9 appears to be the only functional gene for argininosuccinate synthetase. Mutations in the chromosome 9 copy of this gene cause citrullinemia. Two transcript variants encoding the same protein have been found for this gene.

    分子量

    47 kDa

    基因ID

    445

    UniProt

    P00966

    途径

    Response to Growth Hormone Stimulus, Cellular Response to Molecule of Bacterial Origin
You are here: