电话:
+86 (0512) 65829739
传真:
+86 (010) 6788 5057
电子邮件:
orders@antibodies-online.cn

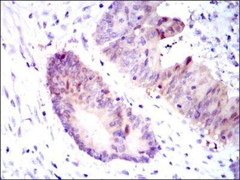
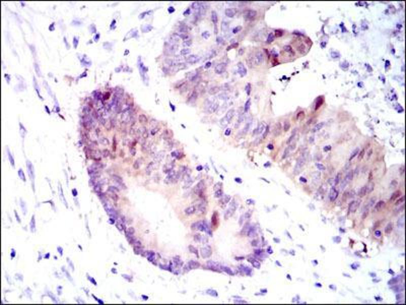
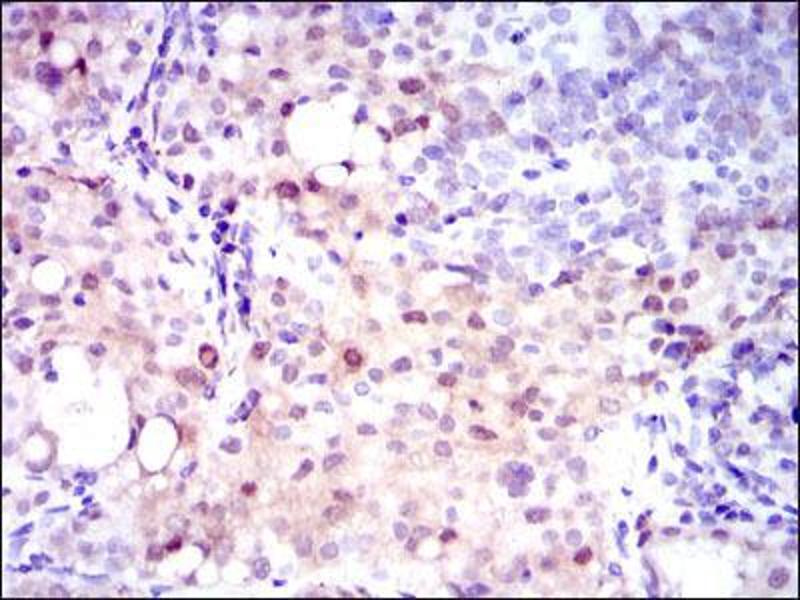
ASS1 抗体

There is 1 publication for this product available. The 小鼠 单克隆 anti-ASS1 antibody is suitable to detect ASS1 in samples from 人, 小鼠 和 猴. It has been validated for WB, IHC 和 ELISA.
产品编号 ABIN969503
发货至: 中国
Contact our Customer Service for availability and price in your country. Contact Info

Our Local Distributor

中国
北京 101111
No. 88 KeChuang 6th Street
Beijing Economic Technological Development Area
Room 801-803
4A Biotech Co.,Ltd.
Tel +86 (0512) 65829739 传真 +86 (010) 6788 5057

Quick Overview for ASS1 抗体 (ABIN969503)

抗原

See all ASS1 抗体
ASS1 (Argininosuccinate Synthase 1 (ASS1))

适用

  • 87
  • 42
  • 38
  • 7
  • 4
  • 4
  • 3
  • 3
  • 2
  • 2
  • 1
  • 1
  • 1
人, 小鼠, 猴

宿主

  • 73
  • 12
  • 2
小鼠

克隆类型

  • 50
  • 37
单克隆

标记

  • 50
  • 6
  • 3
  • 3
  • 3
  • 3
  • 3
  • 3
  • 3
  • 3
  • 2
  • 2
  • 2
  • 1
This ASS1 antibody is un-conjugated

应用范围

  • 71
  • 55
  • 40
  • 34
  • 29
  • 18
  • 15
  • 9
  • 3
  • 1
Western Blotting (WB), Immunohistochemistry (IHC), ELISA

克隆位点

2C10
  • 原理

    ASS1 Antibody

    纯化方法

    Purified antibody

    免疫原

    Purified recombinant fragment of human ASS1 expressed in E. Coli.

    亚型

    IgG1
  • 应用备注

    ELISA: 1/10000

    限制

    仅限研究用
  • 状态

    Liquid

    缓冲液

    Purified antibody in PBS with 0.05 % sodium azide.

    储存液

    Sodium azide

    注意事项

    This product contains Sodium azide: a POISONOUS AND HAZARDOUS SUBSTANCE which should be handled by trained staff only.

    储存条件

    4 °C,-20 °C

    储存方法

    Store at 4°C short term. Aliquot and store at -20°C long term. Avoid freeze/thaw cycles.
  • Laróvere, Angaroni, Antonozzi, Bezard, Shimohama, de Kremer: "Citrullinemia type I, classical variant. Identification of ASS-p~G390R (c.1168G>A) mutation in families of a limited geographic area of Argentina: a possible population cluster." in: Clinical biochemistry, Vol. 42, Issue 10-11, pp. 1166-8, (2009) (PubMed).

  • 抗原

    ASS1 (Argininosuccinate Synthase 1 (ASS1))

    别名

    ASS1

    背景

    The protein encoded by this gene catalyzes the penultimate step of the arginine biosynthetic pathway. There are approximately 10 to 14 copies of this gene including the pseudogenes scattered across the human genome, among which the one located on chromosome 9 appears to be the only functional gene for argininosuccinate synthetase. Mutations in the chromosome 9 copy of ASS cause citrullinemia. Two transcript variants encoding the same protein have been found for this gene.

    分子量

    47 kDa

    基因ID

    445

    UniProt

    P00966

    途径

    Response to Growth Hormone Stimulus, Cellular Response to Molecule of Bacterial Origin
You are here: