电话:
+86 (0512) 65829739
传真:
+86 (010) 6788 5057
电子邮件:
orders@antibodies-online.cn

KRT20 抗体 (AA 29-431)

This 兔 多克隆 antibody specifically detects KRT20 in WB, IHC, ELISA, IF, ICC 和 FACS. It exhibits reactivity toward 人, 小鼠 和 大鼠.
产品编号 ABIN7601133
发货至: 中国
Contact our Customer Service for availability and price in your country. Contact Info

Our Local Distributor

中国
北京 101111
No. 88 KeChuang 6th Street
Beijing Economic Technological Development Area
Room 801-803
4A Biotech Co.,Ltd.
Tel +86 (0512) 65829739 传真 +86 (010) 6788 5057

Quick Overview for KRT20 抗体 (AA 29-431) (ABIN7601133)

抗原

See all KRT20 抗体
KRT20 (Keratin 20 (KRT20))

适用

  • 151
  • 41
  • 32
  • 7
  • 6
  • 2
  • 2
  • 1
  • 1
人, 小鼠, 大鼠

宿主

  • 96
  • 60
  • 3
  • 1

克隆类型

  • 97
  • 62
  • 1
多克隆

标记

  • 82
  • 17
  • 8
  • 4
  • 4
  • 4
  • 4
  • 4
  • 4
  • 4
  • 3
  • 3
  • 3
  • 3
  • 3
  • 3
  • 2
  • 1
  • 1
  • 1
  • 1
  • 1
This KRT20 antibody is un-conjugated

应用范围

  • 123
  • 104
  • 36
  • 36
  • 32
  • 28
  • 28
  • 24
  • 14
  • 5
  • 4
  • 4
  • 3
  • 2
  • 2
  • 2
  • 1
  • 1
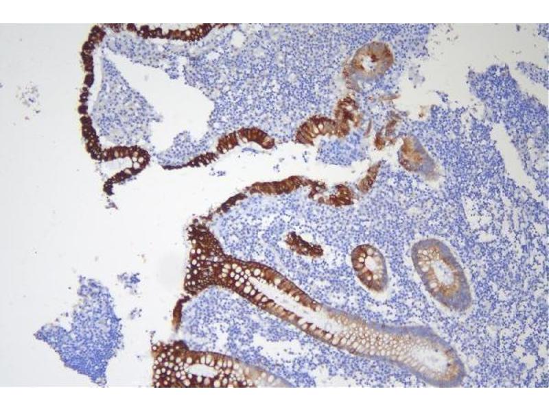
Western Blotting (WB), Immunohistochemistry (IHC), ELISA, Immunofluorescence (IF), Immunocytochemistry (ICC), Flow Cytometry (FACS)
  • 抗原表位

    • 45
    • 13
    • 12
    • 5
    • 3
    • 3
    • 2
    • 2
    • 2
    • 2
    • 2
    • 2
    • 2
    • 1
    • 1
    • 1
    • 1
    • 1
    • 1
    • 1
    • 1
    • 1
    • 1
    • 1
    • 1
    • 1
    • 1
    • 1
    • 1
    AA 29-431

    原理

    Anti-Cytokeratin 20/Krt20 Antibody

    交叉反应 (详细)

    No cross-reactivity with other proteins.

    产品特性

    Anti-Cytokeratin 20/Krt20 Antibody (ABIN7601133). Tested in ELISA, Flow Cytometry, IF, IHC, ICC, WB applications. This antibody reacts with Human, Mouse, Rat. This is a premium antibody that guarantees superior quality, high affinity, and strong signals with minimal background in Western blot applications.

    纯化方法

    Immunogen affinity purified.

    免疫原

    E.coli-derived mouse Cytokeratin 20/Krt20 recombinant protein (Position: R29-V431).

    亚型

    IgG
  • 应用备注

    Western blot, 0.1-0.25 μg/mL, Human, Mouse
    Immunohistochemistry (Paraffin-embedded Section), 0.5-1 μg/mL, Human, Mouse, Rat
    Immunocytochemistry/Immunofluorescence, 2 μg/mL, Human, Rat
    Flow Cytometry (Fixed)|1-3 μg/1x106 cells, Human
    ELISA, 0.1-0.5 μg/mL, -

    限制

    仅限研究用
  • 状态

    Lyophilized

    溶解方式

    Add 0.2 mL of distilled water will yield a concentration of 500 μg/mL.

    浓度

    500 μg/mL

    缓冲液

    Each vial contains 4 mg Trehalose, 0.9 mg NaCl, 0.2 mg Na2HPO4, 0.05 mg Sodium azide.

    储存液

    Sodium azide

    注意事项

    This product contains Sodium azide: a POISONOUS AND HAZARDOUS SUBSTANCE which should be handled by trained staff only.

    储存条件

    4 °C,-20 °C

    储存方法

    Store at -20°C for one year from date of receipt. After reconstitution, at 4°C for one month.
    It can also be aliquotted and stored frozen at -20°C for six months. Avoid repeated freeze-thaw cycles.
  • 抗原

    KRT20 (Keratin 20 (KRT20))

    别名

    Krt20

    背景

    Synonyms: Keratin, type I cytoskeletal 20, Cytokeratin-20, CK-20, Keratin-20, K20, Krt20

    Tissue Specificity: Expressed at low levels in the more differentiated suprabasal regions of the small intestine, and at higher levels in the colon, mainly in the upper region and in scattered cells throughout the remaining epithelium. Also expressed in epithelial cells of bladder, ileum and stomach and at lower levels in pancreas and earskin. The phosphorylated form is nearly exclusively expressed in goblet cells of the small intestine and in the lumen-proximal cells of the colon (at protein level). Also expressed in jejunum and duodenum.

    Background: Keratin 20, often abbreviated CK20, is a protein that in humans is encoded by the KRT20 gene. This gene encodes a member of the keratin protein family and is found within a cluster of cytokeratin genes on chromosome 11. Keratins are cytoskeletal proteins that are preferentially expressed in epithelial cells. The encoded protein may help maintain intermediate filament organization in intestinal epithelium. Phosphorylation of this protein may also influence mucin secretion in the small intestine.

    分子量

    48 kDa

    基因ID

    66809

    UniProt

    Q9D312
You are here: