电话:
+86 (0512) 65829739
传真:
+86 (010) 6788 5057
电子邮件:
orders@antibodies-online.cn

KRT20 抗体 (AA 196-323)

The 小鼠 单克隆 anti-KRT20 antibody (Clone KRT20-3145) (ABIN6940351) specifically detects KRT20 in WB 和 IHC. The antibody is reactive with 人 samples.
产品编号 ABIN6940351
发货至: 中国
Contact our Customer Service for availability and price in your country. Contact Info

Our Local Distributor

中国
北京 101111
No. 88 KeChuang 6th Street
Beijing Economic Technological Development Area
Room 801-803
4A Biotech Co.,Ltd.
Tel +86 (0512) 65829739 传真 +86 (010) 6788 5057

Quick Overview for KRT20 抗体 (AA 196-323) (ABIN6940351)

抗原

See all KRT20 抗体
KRT20 (Keratin 20 (KRT20))

适用

  • 160
  • 42
  • 33
  • 7
  • 6
  • 2
  • 2
  • 1
  • 1

宿主

  • 103
  • 62
  • 3
  • 1
小鼠

克隆类型

  • 105
  • 63
  • 1
单克隆

标记

  • 91
  • 17
  • 8
  • 4
  • 4
  • 4
  • 4
  • 4
  • 4
  • 4
  • 3
  • 3
  • 3
  • 3
  • 3
  • 3
  • 2
  • 1
  • 1
  • 1
  • 1
  • 1
This KRT20 antibody is un-conjugated

应用范围

  • 131
  • 116
  • 37
  • 36
  • 33
  • 29
  • 28
  • 25
  • 13
  • 4
  • 3
  • 2
  • 2
  • 2
  • 2
  • 1
  • 1
Western Blotting (WB), Immunohistochemistry (IHC)

克隆位点

KRT20-3145
  • 抗原表位

    • 50
    • 13
    • 12
    • 5
    • 3
    • 3
    • 2
    • 2
    • 2
    • 2
    • 2
    • 2
    • 2
    • 1
    • 1
    • 1
    • 1
    • 1
    • 1
    • 1
    • 1
    • 1
    • 1
    • 1
    • 1
    • 1
    • 1
    • 1
    • 1
    • 1
    AA 196-323

    原理

    Cytokeratin 20 (KRT20) (Colorectal Epithelial Marker) Antibody

    特异性

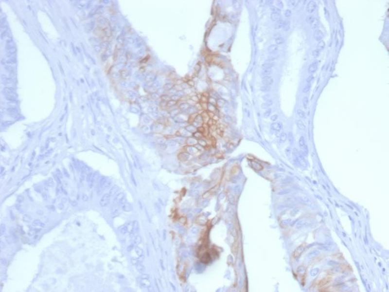
    This MAb recognizes an intermediate filament protein of 46 kDa, identified as cytokeratin 20 (KRT20). KRT20 is abundantly expressed in goblet cells and enterocytes of the gastrointestinal tract. It is a useful marker of pancreatic and colorectal cancer. KRT20 is expressed under normal, hyperplastic and neoplastic conditions.It has been detected in adenocarcinomas of the colon, stomachand biliary tract. Breast carcinomas are generally non-reactive.

    纯化方法

    200ug/ml of Ab Purified from Bioreactor Concentrate by Protein A/G.

    免疫原

    Recombinant fragment of human KRT20 protein (around aa 196-323) (exact sequence is proprietary)

    亚型

    IgG, kappa
  • 应用备注

    Positive Control: HT29 cells. Colon Carcinoma.

    Known Application: Immunohistochemistry (Formalin-fixed) (0.1-0.2 μg/mL for 30 min at RT)(Staining of formalin-fixed tissues requires boiling tissue sections in 10 mM citrate buffer, pH 6.0, for 10-20 min followed by cooling at RT for 20 minutes)Optimal dilution for a specific application should be determined.

    限制

    仅限研究用
  • 浓度

    200 μg/mL

    缓冲液

    Prepared in 10 mM PBS with 0.05 % BSA & 0.05 % azide.

    储存液

    Sodium azide

    注意事项

    This product contains Sodium azide: a POISONOUS AND HAZARDOUS SUBSTANCE which should be handled by trained staff only.

    储存条件

    4 °C

    储存方法

    Antibody with azide - store at 2 to 8°C. Antibody without azide - store at -20 to -80°C. Antibody is stable for 24 months. Non-hazardous. No MSDS required.

    有效期

    24 months
  • 抗原

    KRT20 (Keratin 20 (KRT20))

    别名

    KRT20

    背景

    CK20, Cytokeratin-20, K20, KA20, Keratin 20, keratin 20, type I, Keratin type I cytoskeletal 20, Keratin-20, KRT20

    HT29 cells. Colon Carcinoma.

    分子量

    46kDa

    基因ID

    54474, 84905

    UniProt

    P35900
You are here: