电话:
+86 (0512) 65829739
传真:
+86 (010) 6788 5057
电子邮件:
orders@antibodies-online.cn

SNRPA1 抗体 (AA 25-218)

The 兔 多克隆 anti-SNRPA1 antibody is suitable to detect SNRPA1 in samples from 人, 小鼠 和 大鼠. It has been validated for WB, IHC, ELISA, IF 和 ICC.
产品编号 ABIN7600891
发货至: 中国
Contact our Customer Service for availability and price in your country. Contact Info

Our Local Distributor

中国
北京 101111
No. 88 KeChuang 6th Street
Beijing Economic Technological Development Area
Room 801-803
4A Biotech Co.,Ltd.
Tel +86 (0512) 65829739 传真 +86 (010) 6788 5057

Quick Overview for SNRPA1 抗体 (AA 25-218) (ABIN7600891)

抗原

See all SNRPA1 (SNRPA) 抗体
SNRPA1 (SNRPA) (Small Nuclear Ribonucleoprotein Polypeptide A (SNRPA))

适用

  • 94
  • 56
  • 45
  • 8
  • 6
  • 6
  • 6
  • 6
  • 4
  • 4
  • 3
  • 3
  • 2
  • 1
  • 1
  • 1
  • 1
  • 1
人, 小鼠, 大鼠

宿主

  • 90
  • 6

克隆类型

  • 62
  • 34
多克隆

标记

  • 44
  • 9
  • 5
  • 5
  • 5
  • 5
  • 5
  • 5
  • 4
  • 3
  • 2
  • 2
  • 1
  • 1
This SNRPA1 antibody is un-conjugated

应用范围

  • 69
  • 39
  • 24
  • 23
  • 14
  • 13
  • 7
  • 3
  • 1
  • 1
  • 1
  • 1
  • 1
Western Blotting (WB), Immunohistochemistry (IHC), ELISA, Immunofluorescence (IF), Immunocytochemistry (ICC)
  • 抗原表位

    • 6
    • 6
    • 5
    • 4
    • 3
    • 3
    • 2
    • 2
    • 2
    • 2
    • 1
    • 1
    • 1
    • 1
    • 1
    • 1
    • 1
    AA 25-218

    原理

    Anti-U1A/SNRPA Antibody

    交叉反应 (详细)

    No cross-reactivity with other proteins.

    产品特性

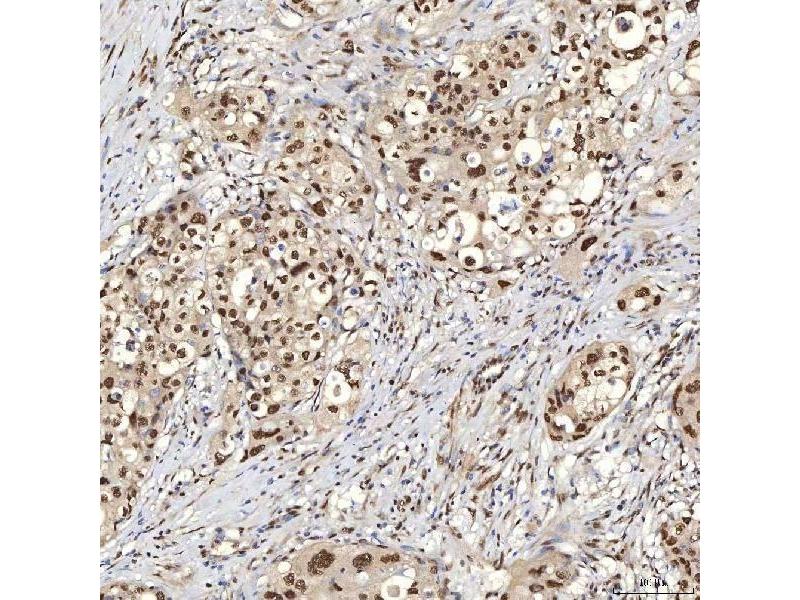
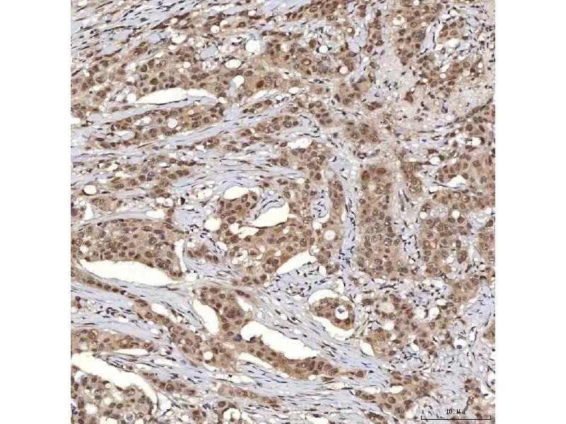
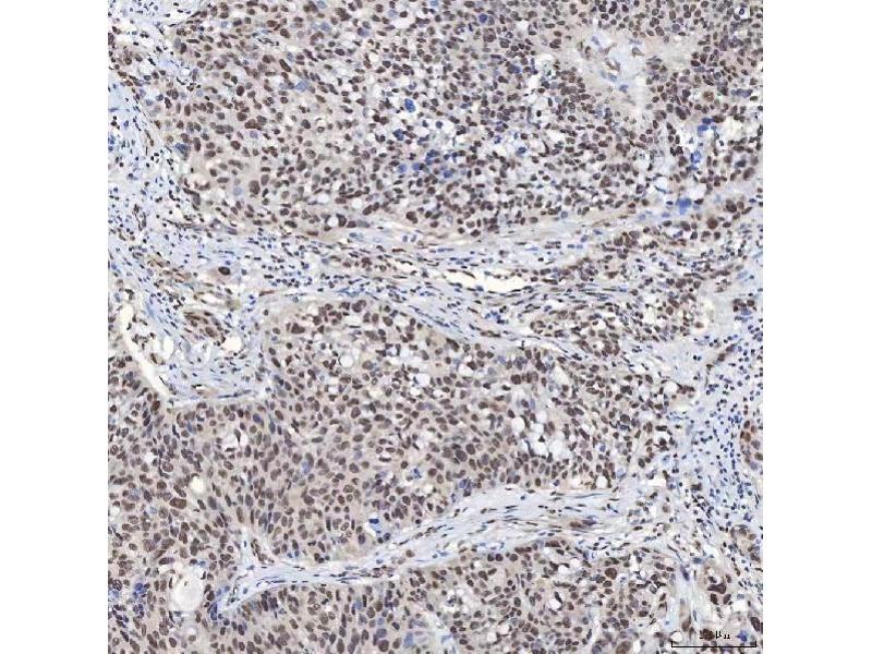
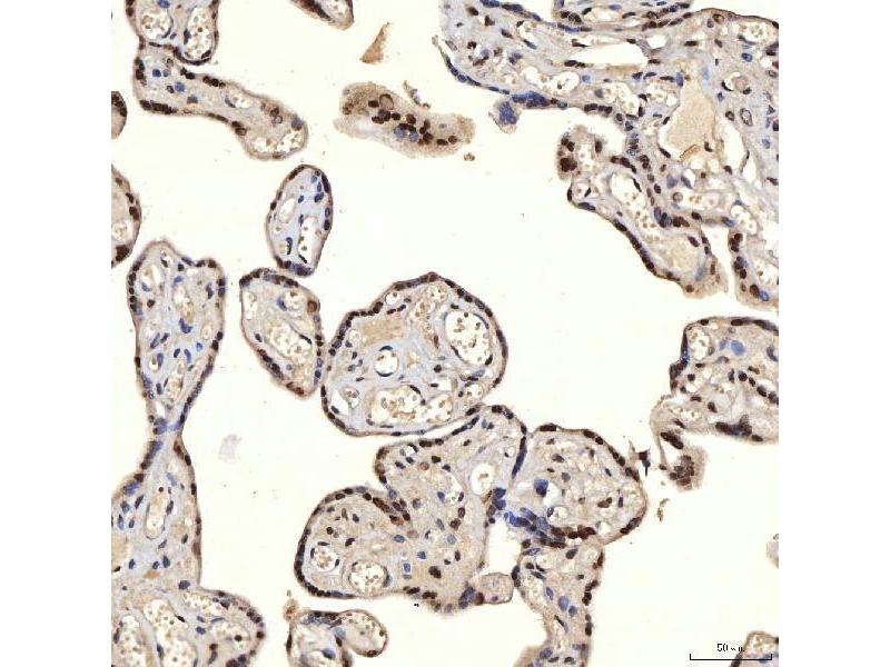
    Anti-U1A/SNRPA Antibody (ABIN7600891). Tested in ELISA, IF, IHC, ICC, WB applications. This antibody reacts with Human, Mouse, Rat. This is a premium antibody that guarantees superior quality, high affinity, and strong signals with minimal background in Western blot applications.

    纯化方法

    Immunogen affinity purified.

    免疫原

    E.coli-derived human U1A/SNRPA recombinant protein (Position: E25-E218).

    亚型

    IgG
  • 应用备注

    Western blot, 0.25-0.5 μg/mL, Human, Mouse
    Immunohistochemistry(Paraffin-embedded Section), 2-5 μg/mL, Human, Mouse, Rat
    Immunocytochemistry/Immunofluorescence, 5 μg/mL, Human
    Immunofluorescence, 5 μg/mL, Human
    ELISA, 0.1-0.5 μg/mL, -

    限制

    仅限研究用
  • 状态

    Lyophilized

    溶解方式

    Adding 0.2 mL of distilled water will yield a concentration of 500 μg/mL.

    浓度

    500 μg/mL

    缓冲液

    Each vial contains 4 mg Trehalose, 0.9 mg NaCl, 0.2 mg Na2HPO4.

    储存条件

    4 °C,-20 °C

    储存方法

    At -20°C for one year from date of receipt. After reconstitution, at 4°C for one month.
    It can also be aliquotted and stored frozen at -20°C for six months. Avoid repeated freezing and thawing.
  • 抗原

    SNRPA1 (SNRPA) (Small Nuclear Ribonucleoprotein Polypeptide A (SNRPA))

    别名

    SNRPA

    背景

    Synonyms: Epidermal growth factor-like protein 6, EGF-like protein 6, MAM and EGF domains-containing gene protein, EGFL6, MAEG, PP648, UNQ281/PRO320

    Tissue Specificity: Ubiquitous.

    Background: U1 small nuclear ribonucleoprotein A is a protein that in humans is encoded by the SNRPA gene. The protein encoded by this gene associates with stem loop II of the U1 small nuclear ribonucleoprotein, which binds the 5' splice site of precursor mRNAs and is required for splicing. The encoded protein autoregulates itself by polyadenylation inhibition of its own pre-mRNA via dimerization and has been implicated in the coupling of splicing and polyadenylation.

    分子量

    31 kDa

    基因ID

    6626

    UniProt

    P09012
You are here: