电话:
+86 (0512) 65829739
传真:
+86 (010) 6788 5057
电子邮件:
orders@antibodies-online.cn

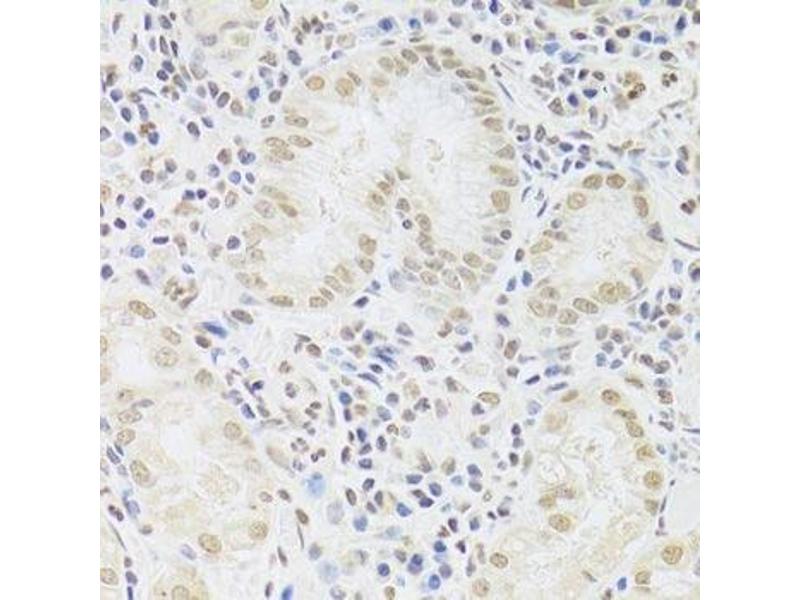
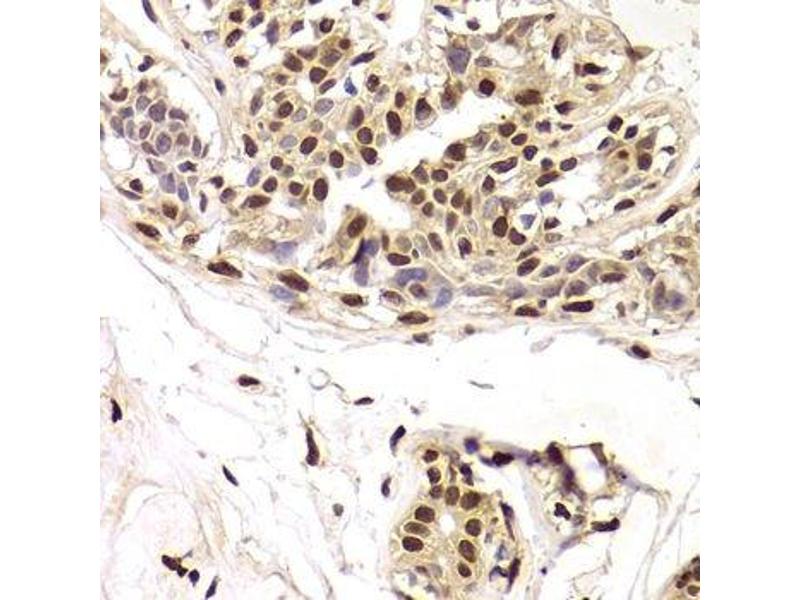
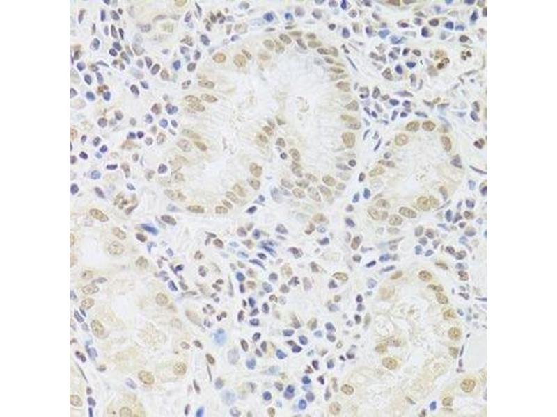
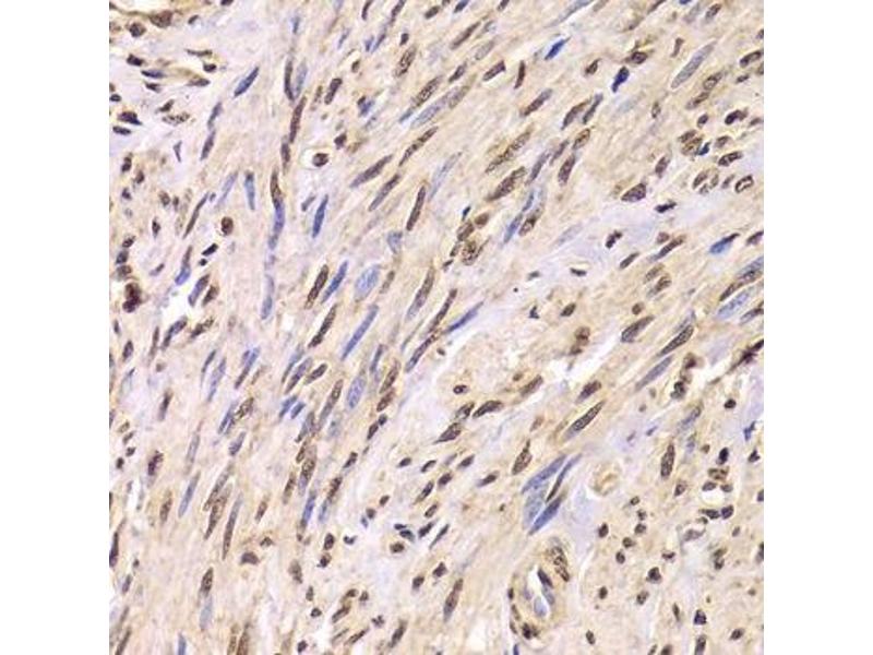
SNRPA1 抗体 (AA 1-282)

The 兔 多克隆 anti-SNRPA1 antibody is suitable to detect SNRPA1 in samples from 人. It has been validated for WB, IHC 和 IF.
产品编号 ABIN6148210
发货至: 中国
Contact our Customer Service for availability and price in your country. Contact Info

Our Local Distributor

中国
北京 101111
No. 88 KeChuang 6th Street
Beijing Economic Technological Development Area
Room 801-803
4A Biotech Co.,Ltd.
Tel +86 (0512) 65829739 传真 +86 (010) 6788 5057

Quick Overview for SNRPA1 抗体 (AA 1-282) (ABIN6148210)

抗原

See all SNRPA1 (SNRPA) 抗体
SNRPA1 (SNRPA) (Small Nuclear Ribonucleoprotein Polypeptide A (SNRPA))

适用

  • 94
  • 57
  • 46
  • 8
  • 6
  • 6
  • 6
  • 6
  • 4
  • 4
  • 3
  • 3
  • 2
  • 1
  • 1
  • 1
  • 1
  • 1

宿主

  • 90
  • 6

克隆类型

  • 62
  • 34
多克隆

标记

  • 44
  • 9
  • 5
  • 5
  • 5
  • 5
  • 5
  • 5
  • 4
  • 3
  • 2
  • 2
  • 1
  • 1
This SNRPA1 antibody is un-conjugated

应用范围

  • 69
  • 39
  • 25
  • 23
  • 14
  • 14
  • 7
  • 3
  • 1
  • 1
  • 1
  • 1
  • 1
Western Blotting (WB), Immunohistochemistry (IHC), Immunofluorescence (IF)
  • 抗原表位

    • 6
    • 5
    • 5
    • 4
    • 3
    • 3
    • 2
    • 2
    • 2
    • 2
    • 1
    • 1
    • 1
    • 1
    • 1
    • 1
    • 1
    • 1
    AA 1-282

    序列

    MAVPETRPNH TIYINNLNEK IKKDELKKSL YAIFSQFGQI LDILVSRSLK MRGQAFVIFK EVSSATNALR SMQGFPFYDK PMRIQYAKTD SDIIAKMKGT FVERDRKREK RKPKSQETPA TKKAVQGGGA TPVVGAVQGP VPGMPPMTQA PRIMHHMPGQ PPYMPPPGMI PPPGLAPGQI PPGAMPPQQL MPGQMPPAQP LSENPPNHIL FLTNLPEETN ELMLSMLFNQ FPGFKEVRLV PGRHDIAFVE FDNEVQAGAA RDALQGFKIT QNNAMKISFA KK

    交叉反应

    人, 小鼠, 大鼠

    产品特性

    Polyclonal Antibodies

    免疫原

    Recombinant fusion protein containing a sequence corresponding to amino acids 1-282 of human U1A/U1A/SNRPA (NP_004587.1).

    亚型

    IgG
  • 应用备注

    WB,1:500 - 1:2000,IHC,1:50 - 1:200,IF,1:50 - 1:200

    说明

    HIGH QUALITY

    限制

    仅限研究用
  • 状态

    Liquid

    缓冲液

    PBS with 0.02 % sodium azide,50 % glycerol, pH 7.3.

    储存液

    Sodium azide

    注意事项

    This product contains Sodium azide: a POISONOUS AND HAZARDOUS SUBSTANCE which should be handled by trained staff only.

    储存条件

    -20 °C

    储存方法

    Store at -20°C. Avoid freeze / thaw cycles.
  • 抗原

    SNRPA1 (SNRPA) (Small Nuclear Ribonucleoprotein Polypeptide A (SNRPA))

    别名

    SNRPA

    背景

    The protein encoded by this gene associates with stem loop II of the U1 small nuclear ribonucleoprotein, which binds the 5' splice site of precursor mRNAs and is required for splicing. The encoded protein autoregulates itself by polyadenylation inhibition of its own pre-mRNA via dimerization and has been implicated in the coupling of splicing and polyadenylation.,SNRPA,Mud1,U1-A,U1A,Epigenetics & Nuclear Signaling,SNRPA

    分子量

    31 kDa

    基因ID

    6626

    UniProt

    P09012
You are here: