电话:
+86 (0512) 65829739
传真:
+86 (010) 6788 5057
电子邮件:
orders@antibodies-online.cn

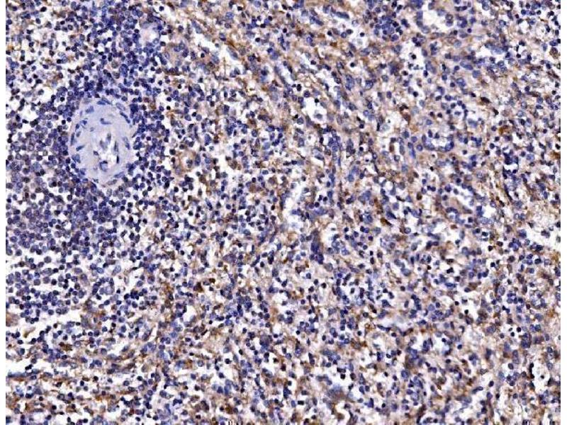
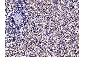
FKBP15 抗体 (AA 19-1210)

The 兔 多克隆 anti-FKBP15 antibody (ABIN7600397) specifically detects FKBP15 in WB, ELISA, IHC, IF, FACS 和 ICC. The antibody is reactive with 人, 小鼠 和 大鼠 samples.
产品编号 ABIN7600397
发货至: 中国
Contact our Customer Service for availability and price in your country. Contact Info

Our Local Distributor

中国
北京 101111
No. 88 KeChuang 6th Street
Beijing Economic Technological Development Area
Room 801-803
4A Biotech Co.,Ltd.
Tel +86 (0512) 65829739 传真 +86 (010) 6788 5057

Quick Overview for FKBP15 抗体 (AA 19-1210) (ABIN7600397)

抗原

See all FKBP15 抗体
FKBP15 (FK506 Binding Protein 15, 133kDa (FKBP15))

适用

  • 6
  • 4
  • 2
  • 1
  • 1
人, 小鼠, 大鼠

宿主

  • 6

克隆类型

  • 6
多克隆

标记

  • 6
This FKBP15 antibody is un-conjugated

应用范围

Western Blotting (WB), ELISA, Immunohistochemistry (IHC), Immunofluorescence (IF), Flow Cytometry (FACS), Immunocytochemistry (ICC)
  • 抗原表位

    • 2
    • 1
    • 1
    • 1
    • 1
    • 1
    AA 19-1210

    原理

    Anti-FKBP135/FKBP15 Antibody

    交叉反应 (详细)

    No cross-reactivity with other proteins.

    产品特性

    Anti-FK/FKBP15 Antibody (ABIN7600397). Tested in ELISA, Flow Cytometry, IF, IHC, ICC, WB applications. This antibody reacts with Human, Mouse, Rat. This is a premium antibody that guarantees superior quality, high affinity, and strong signals with minimal background in Western blot applications.

    纯化方法

    Immunogen affinity purified.

    免疫原

    E.coli-derived human FKBP135/FKBP15 recombinant protein (Position: A19-D1210).

    亚型

    IgG
  • 应用备注

    Western blot, 0.25-0.5 μg/mL, Human, Mouse
    Immunohistochemistry(Paraffin-embedded Section), 2-5 μg/mL, Human, Mouse, Rat
    Immunocytochemistry/Immunofluorescence, 5 μg/mL, Human
    Flow Cytometry (Fixed), 1-3 μg/1x106 cells, Human
    ELISA, 0.1-0.5 μg/mL, -

    限制

    仅限研究用
  • 状态

    Lyophilized

    溶解方式

    Adding 0.2 mL of distilled water will yield a concentration of 500 μg/mL.

    浓度

    500 μg/mL

    缓冲液

    Each vial contains 4 mg Trehalose, 0.9 mg NaCl, 0.2 mg Na2HPO4.

    储存条件

    4 °C,-20 °C

    储存方法

    At -20°C for one year from date of receipt. After reconstitution, at 4°C for one month.
    It can also be aliquotted and stored frozen at -20°C for six months. Avoid repeated freezing and thawing.
  • 抗原

    FKBP15 (FK506 Binding Protein 15, 133kDa (FKBP15))

    别名

    FKBP15

    背景

    Synonyms: E3 ubiquitin-protein ligase RNF169, RING finger protein 169, RING-type E3 ubiquitin transferase RNF169, RNF169, KIAA1991

    Tissue Specificity: Expressed in immature but not mature T-cells. Also found in CD34+ cells from peripheral blood, CD34+ precursors from umbilical cord blood and adult bone marrow.

    Background: FKBP15, also known as FKBP133, is a member of the FK506-binding protein family, a group of proteins initially identified as immunophilins, targets for the immunosupressant drugs FK506 and Rapamycin. FKBP15 is expressed in the developing nervous system and contains a domain similar to Wiskott-Aldrich syndrome protein homology region 1 (WH1) in addition to the FK506-binding protein motif. FKBP15 is distributed along the axonal shafts and partially co-localizes with F-actin in the growth cones of dorsal root ganglion neurons, overexpression of FKBP15 resulted in the number of filopodia in transfected neurons, suggesting that FKBP15 modulates growth cone behavior. FKBP15 has also been shown to associate with both microtubules and the actin filament systems and disruption of its expression by RNAi resulted in delayed transport of early endosomes in HeLa cells indicating that FKBP15 is also involved in the transport of early endosomes. At least three isoforms of FKBP15 are known to exist.

    分子量

    160 kDa

    基因ID

    23307

    UniProt

    Q5T1M5

    途径

    SARS-CoV-2 Protein Interactome
You are here: