电话:
+86 (0512) 65829739
传真:
+86 (010) 6788 5057
电子邮件:
orders@antibodies-online.cn

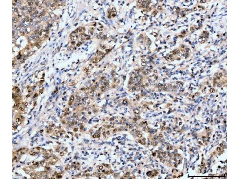
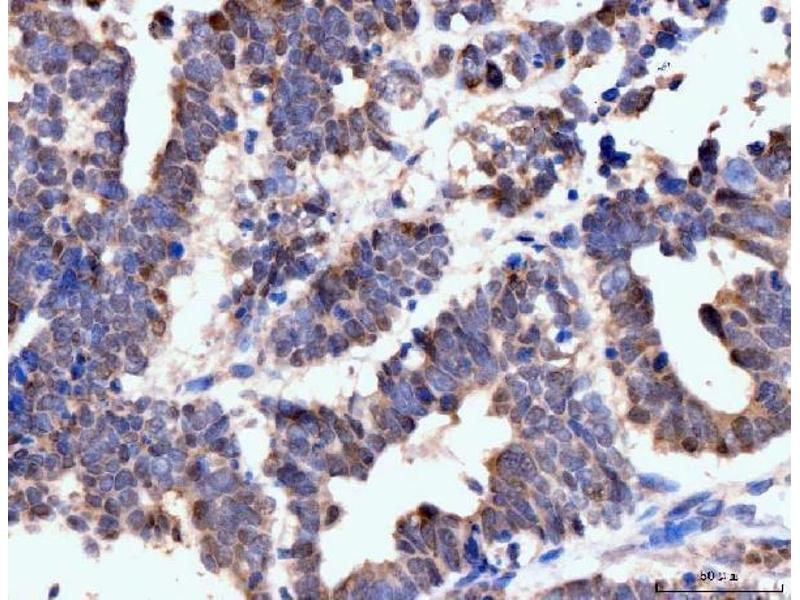
Neurofibromin 1 抗体 (AA 160-270)

This 小鼠 单克隆 antibody specifically detects Neurofibromin 1 in WB, IHC 和 FACS. It exhibits reactivity toward 人, 小鼠 和 大鼠.
产品编号 ABIN7600196
发货至: 中国
Contact our Customer Service for availability and price in your country. Contact Info

Our Local Distributor

中国
北京 101111
No. 88 KeChuang 6th Street
Beijing Economic Technological Development Area
Room 801-803
4A Biotech Co.,Ltd.
Tel +86 (0512) 65829739 传真 +86 (010) 6788 5057

Quick Overview for Neurofibromin 1 抗体 (AA 160-270) (ABIN7600196)

抗原

See all Neurofibromin 1 (NF1) 抗体
Neurofibromin 1 (NF1)

适用

  • 67
  • 53
  • 35
  • 2
  • 2
  • 2
  • 2
  • 1
人, 小鼠, 大鼠

宿主

  • 76
  • 7
小鼠

克隆类型

  • 74
  • 9
单克隆

标记

  • 31
  • 5
  • 4
  • 4
  • 3
  • 3
  • 3
  • 3
  • 3
  • 3
  • 3
  • 3
  • 3
  • 3
  • 3
  • 1
  • 1
  • 1
  • 1
  • 1
  • 1
This Neurofibromin 1 antibody is un-conjugated

应用范围

  • 39
  • 39
  • 27
  • 23
  • 14
  • 13
  • 11
  • 9
  • 9
  • 5
  • 4
  • 1
Western Blotting (WB), Immunohistochemistry (IHC), Flow Cytometry (FACS)

克隆位点

4C6F10
  • 抗原表位

    • 15
    • 15
    • 15
    • 5
    • 4
    • 3
    • 3
    • 3
    • 2
    • 2
    • 2
    • 2
    • 1
    • 1
    • 1
    • 1
    • 1
    AA 160-270

    原理

    Anti-Neurofibromin/NF1 Antibody (monoclonal, 4C6F10)

    交叉反应 (详细)

    No cross-reactivity with other proteins.

    产品特性

    Anti-Neurofibromin/NF1 Antibody (monoclonal, 4C6F10) (ABIN7600196). Tested in Flow Cytometry, IHC, WB applications. This antibody reacts with Human, Mouse, Rat. This is a premium antibody that guarantees superior quality, high affinity, and strong signals with minimal background in Western blot applications.

    纯化方法

    Immunogen affinity purified.

    免疫原

    E.coli-derived human Neurofibromin/NF1 recombinant protein (Position: R160-Q270).

    亚型

    IgG2b
  • 应用备注

    Western blot, 0.25-0.5 μg/mL, Human, Mouse, Rat
    Immunohistochemistry(Paraffin-embedded Section), 2-5 μg/mL, Human, Mouse, Rat
    Flow Cytometry (Fixed), 1-3 μg/1x106 cells, Human

    限制

    仅限研究用
  • 状态

    Lyophilized

    溶解方式

    Adding 0.2 mL of distilled water will yield a concentration of 500 μg/mL.

    浓度

    500 μg/mL

    缓冲液

    Each vial contains 4 mg Trehalose, 0.9 mg NaCl and 0.2 mg Na2HPO4.

    储存条件

    4 °C,-20 °C

    储存方法

    At -20°C for one year from date of receipt. After reconstitution, at 4°C for one month.
    It can also be aliquotted and stored frozen at -20°C for six months. Avoid repeated freezing and thawing.
  • 抗原

    Neurofibromin 1 (NF1)

    别名

    NF1

    背景

    Synonyms: Signal transducer and activator of transcription 1-alpha/beta, Transcription factor ISGF-3 components p91/p84, STAT1

    Tissue Specificity: Expressed in several hair follicle cell types: basal and peripheral matrix cells, and cells of the outer and inner root sheaths. Expressed in colon. Present in cortical neurons (at protein level).

    Background: Neurofibromin 1 (NF1) is a gene in humans that is located on chromosome 17. This gene product appears to function as a negative regulator of the ras signal transduction pathway. Mutations in this gene have been linked to neurofibromatosis type 1, juvenile myelomonocytic leukemia and Watson syndrome. The mRNA for this gene is subject to RNA editing (CGA>UGA->Arg1306Term) resulting in premature translation termination. Alternatively spliced transcript variants encoding different isoforms have also been described for this gene.

    分子量

    319 kDa

    基因ID

    4763

    UniProt

    P21359

    途径

    cAMP Metabolic Process, Regulation of long-term Neuronal Synaptic Plasticity
You are here: