电话:
+86 (0512) 65829739
传真:
+86 (010) 6788 5057
电子邮件:
orders@antibodies-online.cn

MCM6 抗体 (AA 14-821)

The 小鼠 单克隆 anti-MCM6 antibody is suitable to detect MCM6 in samples from 人, 小鼠 和 大鼠. It has been validated for IHC, WB, IF, ICC 和 FACS.
产品编号 ABIN7600038
发货至: 中国
Contact our Customer Service for availability and price in your country. Contact Info

Our Local Distributor

中国
北京 101111
No. 88 KeChuang 6th Street
Beijing Economic Technological Development Area
Room 801-803
4A Biotech Co.,Ltd.
Tel +86 (0512) 65829739 传真 +86 (010) 6788 5057

Quick Overview for MCM6 抗体 (AA 14-821) (ABIN7600038)

抗原

See all MCM6 抗体
MCM6 (Minichromosome Maintenance Complex Component 6 (MCM6))

适用

  • 81
  • 38
  • 32
  • 10
  • 7
  • 7
  • 7
  • 4
  • 2
  • 1
  • 1
人, 小鼠, 大鼠

宿主

  • 59
  • 18
  • 4
小鼠

克隆类型

  • 44
  • 37
单克隆

标记

  • 50
  • 4
  • 2
  • 2
  • 2
  • 2
  • 2
  • 2
  • 2
  • 2
  • 1
  • 1
  • 1
  • 1
  • 1
  • 1
  • 1
  • 1
  • 1
  • 1
  • 1
This MCM6 antibody is un-conjugated

应用范围

  • 63
  • 63
  • 34
  • 18
  • 18
  • 15
  • 14
  • 13
  • 11
  • 3
  • 3
  • 2
  • 1
  • 1
  • 1
  • 1
  • 1
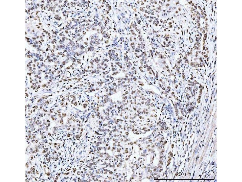
Immunohistochemistry (IHC), Western Blotting (WB), Immunofluorescence (IF), Immunocytochemistry (ICC), Flow Cytometry (FACS)

克隆位点

3I4C8
  • 抗原表位

    • 13
    • 12
    • 8
    • 4
    • 4
    • 3
    • 3
    • 2
    • 2
    • 2
    • 2
    • 2
    • 1
    • 1
    AA 14-821

    原理

    Anti-MCM6 Antibody (monoclonal, 3I4C8)

    交叉反应 (详细)

    No cross-reactivity with other proteins.

    产品特性

    Anti-MCM6 Antibody (monoclonal, 3I4C8) (ABIN7600038). Tested in Flow Cytometry, IF, IHC, ICC, WB applications. This antibody reacts with Human, Mouse, Rat. This is a premium antibody that guarantees superior quality, high affinity, and strong signals with minimal background in Western blot applications.

    纯化方法

    Immunogen affinity purified.

    免疫原

    E.coli-derived human MCM6 recombinant protein (Position: Q14-D821).

    亚型

    IgG2b
  • 应用备注

    Western blot, 0.25-0.5 μg/mL, Human, Mouse, Rat
    Immunohistochemistry(Paraffin-embedded Section), 2-5 μg/mL, Human, Mouse, Rat
    Immunocytochemistry/Immunofluorescence, 5 μg/mL, Human
    Flow Cytometry (Fixed), 1-3 μg/1x106 cells, Human

    限制

    仅限研究用
  • 状态

    Lyophilized

    溶解方式

    Adding 0.2 mL of distilled water will yield a concentration of 500 μg/mL.

    浓度

    500 μg/mL

    缓冲液

    Each vial contains 4 mg Trehalose, 0.9 mg NaCl and 0.2 mg Na2HPO4.

    储存条件

    4 °C,-20 °C

    储存方法

    At -20°C for one year from date of receipt. After reconstitution, at 4°C for one month.
    It can also be aliquotted and stored frozen at -20°C for six months. Avoid repeated freezing and thawing.
  • 抗原

    MCM6 (Minichromosome Maintenance Complex Component 6 (MCM6))

    别名

    MCM6

    背景

    Synonyms: Histone-binding protein RBBP4, Chromatin assembly factor 1 subunit C, CAF-1 subunit C, Chromatin assembly factor I p48 subunit, CAF-I 48 kDa subunit, CAF-I p48, Nucleosome-remodeling factor subunit RBAP48, Retinoblastoma-binding protein 4, RBBP-4, Retinoblastoma-binding protein p48, RBBP4, RBAP48

    Background: MCM6(Minichromosome maintenance, s. pombe, homolog of, 6) is a protein that in humans is encoded by the MCM6 gene. MCM6 is one of the highly conserved mini-chromosome maintenance proteins (MCM) that are essential for the initiation of eukaryotic genome replication. The MCM genes were originally identified in yeast defective in minichromosome maintenance and have since been shown to play roles in the progression of the cell cycle, many are cell division control genes. The MCM6 gene is mapped on 2q21.3. Mcm 6 has recently been shown to interact strongly Cdt1 at defined residues, by mutating these target residues Wei et al. observed lack of Cdt1 recruitment of Mcm2-7 to the pre-RC. An approximately 200-kb region surrounding the C/T(-13910) polymorphism in MCM6 intron 13 functioned as an enhancer of the lactase gene promoter in intestinal cell culture.

    分子量

    105 kDa

    基因ID

    4175

    UniProt

    Q14566

    途径

    DNA Damage Repair, Mitotic G1-G1/S Phases, DNA Replication, Synthesis of DNA
You are here: