电话:
+86 (0512) 65829739
传真:
+86 (010) 6788 5057
电子邮件:
orders@antibodies-online.cn

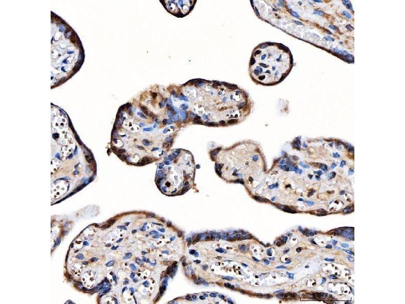
TOP3B 抗体 (AA 128-824)

The 兔 多克隆 anti-TOP3B antibody (ABIN7599907) specifically detects TOP3B in WB, ELISA 和 IHC. The antibody is reactive with 人, 小鼠 和 大鼠 samples.
产品编号 ABIN7599907
发货至: 中国
Contact our Customer Service for availability and price in your country. Contact Info

Our Local Distributor

中国
北京 101111
No. 88 KeChuang 6th Street
Beijing Economic Technological Development Area
Room 801-803
4A Biotech Co.,Ltd.
Tel +86 (0512) 65829739 传真 +86 (010) 6788 5057

Quick Overview for TOP3B 抗体 (AA 128-824) (ABIN7599907)

抗原

See all TOP3B 抗体
TOP3B (Topoisomerase (DNA) III beta (TOP3B))

适用

  • 29
  • 20
  • 2
  • 1
  • 1
  • 1
人, 小鼠, 大鼠

宿主

  • 26
  • 4

克隆类型

  • 26
  • 4
多克隆

标记

  • 18
  • 2
  • 1
  • 1
  • 1
  • 1
  • 1
  • 1
  • 1
  • 1
  • 1
  • 1
This TOP3B antibody is un-conjugated

应用范围

  • 23
  • 13
  • 5
  • 3
  • 2
  • 2
  • 1
  • 1
  • 1
Western Blotting (WB), ELISA, Immunohistochemistry (IHC)
  • 抗原表位

    • 8
    • 4
    • 3
    • 3
    • 1
    • 1
    • 1
    • 1
    AA 128-824

    原理

    Anti-TOP3B Antibody

    交叉反应 (详细)

    No cross-reactivity with other proteins.

    产品特性

    Anti-TOP3B Antibody (ABIN7599907). Tested in ELISA, IHC, WB applications. This antibody reacts with Human, Mouse, Rat. This is a premium antibody that guarantees superior quality, high affinity, and strong signals with minimal background in Western blot applications.

    纯化方法

    Immunogen affinity purified.

    免疫原

    E.coli-derived human TOP3B recombinant protein (Position: E128-R824).

    亚型

    IgG
  • 应用备注

    Western blot, 0.25-0.5 μg/mL, Human, Mouse, Rat
    Immunohistochemistry(Paraffin-embedded Section), 2-5 μg/mL, Human
    ELISA, 0.1-0.5 μg/mL, -

    限制

    仅限研究用
  • 状态

    Lyophilized

    溶解方式

    Adding 0.2 mL of distilled water will yield a concentration of 500 μg/mL.

    浓度

    500 μg/mL

    缓冲液

    Each vial contains 4 mg Trehalose, 0.9 mg NaCl, 0.2 mg Na2HPO4.

    储存条件

    4 °C,-20 °C

    储存方法

    At -20°C for one year from date of receipt. After reconstitution, at 4°C for one month.
    It can also be aliquotted and stored frozen at -20°C for six months. Avoid repeated freezing and thawing.
  • 抗原

    TOP3B (Topoisomerase (DNA) III beta (TOP3B))

    别名

    TOP3B

    背景

    Synonyms: E3 ubiquitin-protein ligase RNF169, RING finger protein 169, RING-type E3 ubiquitin transferase RNF169, RNF169, KIAA1991

    Tissue Specificity: Expressed in immature but not mature T-cells. Also found in CD34+ cells from peripheral blood, CD34+ precursors from umbilical cord blood and adult bone marrow.

    Background: DNA topoisomerase 3-beta-1 is an enzyme that in humans is encoded by the TOP3B gene. This gene encodes a DNA topoisomerase, an enzyme that controls and alters the topologic states of DNA during transcription. This enzyme catalyzes the transient breaking and rejoining of a single strand of DNA which allows the strands to pass through one another, thus relaxing the supercoils and altering the topology of DNA. The enzyme interacts with DNA helicase SGS1 and plays a role in DNA recombination, cellular aging and maintenance of genome stability. Low expression of this gene may be related to higher survival rates in breast cancer patients. This gene has a pseudogene on chromosome 22. Alternate splicing results in multiple transcript variants. Additional alternatively spliced transcript variants of this gene have been described, but their full-length nature is not known.

    分子量

    90-97 kDa

    基因ID

    8940

    UniProt

    O95985
You are here: