电话:
+86 (0512) 65829739
传真:
+86 (010) 6788 5057
电子邮件:
orders@antibodies-online.cn

FERMT2 抗体 (AA 1-650)

The 兔 多克隆 anti-FERMT2 antibody is suitable to detect FERMT2 in samples from 人. It has been validated for WB, ELISA, IHC, IF, FACS 和 ICC.
产品编号 ABIN7599515
发货至: 中国
Contact our Customer Service for availability and price in your country. Contact Info

Our Local Distributor

中国
北京 101111
No. 88 KeChuang 6th Street
Beijing Economic Technological Development Area
Room 801-803
4A Biotech Co.,Ltd.
Tel +86 (0512) 65829739 传真 +86 (010) 6788 5057

Quick Overview for FERMT2 抗体 (AA 1-650) (ABIN7599515)

抗原

See all FERMT2 抗体
FERMT2 (Fermitin Family Member 2 (FERMT2))

适用

  • 50
  • 6
  • 6
  • 4
  • 2
  • 2
  • 2
  • 2
  • 1
  • 1
  • 1
  • 1

宿主

  • 37
  • 13

克隆类型

  • 37
  • 13
多克隆

标记

  • 27
  • 4
  • 3
  • 3
  • 1
  • 1
  • 1
  • 1
  • 1
  • 1
  • 1
  • 1
  • 1
  • 1
  • 1
  • 1
  • 1
This FERMT2 antibody is un-conjugated

应用范围

  • 44
  • 18
  • 13
  • 13
  • 9
  • 8
  • 4
  • 3
  • 3
  • 3
  • 2
  • 1
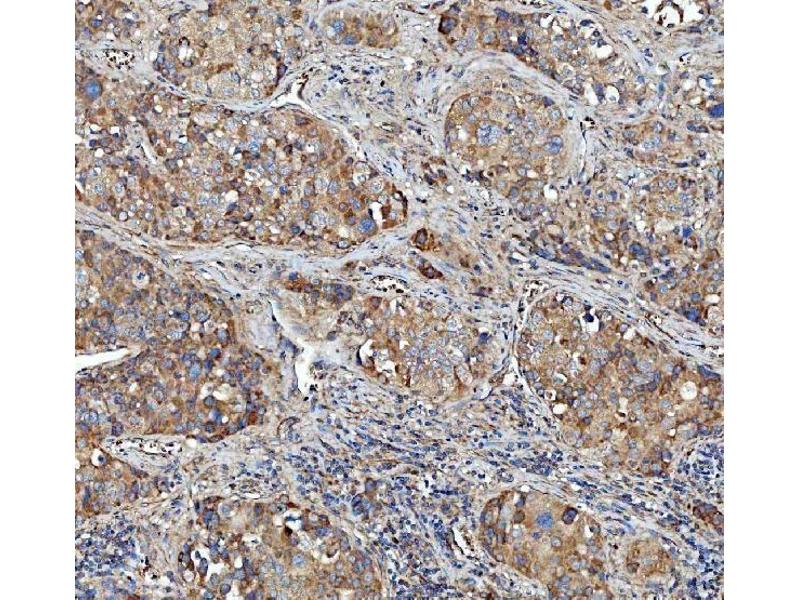
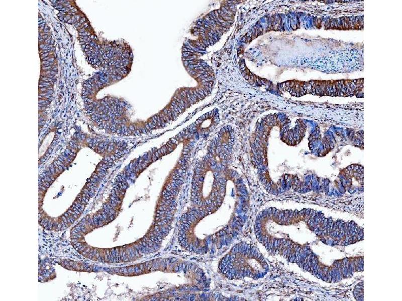
Western Blotting (WB), ELISA, Immunohistochemistry (IHC), Immunofluorescence (IF), Flow Cytometry (FACS), Immunocytochemistry (ICC)
  • 抗原表位

    • 15
    • 9
    • 5
    • 4
    • 2
    • 2
    • 1
    • 1
    • 1
    • 1
    • 1
    • 1
    • 1
    AA 1-650

    原理

    Anti-Kindlin 2/FERMT2 Antibody

    交叉反应 (详细)

    No cross-reactivity with other proteins.

    产品特性

    Anti-Kindlin 2/FERMT2 Antibody (ABIN7599515). Tested in ELISA, Flow Cytometry, IF, IHC, ICC, WB applications. This antibody reacts with Human. This is a premium antibody that guarantees superior quality, high affinity, and strong signals with minimal background in Western blot applications.

    纯化方法

    Immunogen affinity purified.

    免疫原

    E.coli-derived human Kindlin 2/FERMT2 recombinant protein (Position: M1-I650).

    亚型

    IgG
  • 应用备注

    Western blot, 0.25-0.5 μg/mL, Human
    Immunohistochemistry(Paraffin-embedded Section), 2-5 μg/mL, Human
    Immunocytochemistry/Immunofluorescence, 5 μg/mL, Human
    Flow Cytometry (Fixed), 1-3 μg/1x106 cells, Human
    ELISA, 0.1-0.5 μg/mL, -

    限制

    仅限研究用
  • 状态

    Lyophilized

    溶解方式

    Adding 0.2 mL of distilled water will yield a concentration of 500 μg/mL.

    浓度

    500 μg/mL

    缓冲液

    Each vial contains 4 mg Trehalose, 0.9 mg NaCl, 0.2 mg Na2HPO4.

    储存条件

    4 °C,-20 °C

    储存方法

    At -20°C for one year from date of receipt. After reconstitution, at 4°C for one month.
    It can also be aliquotted and stored frozen at -20°C for six months. Avoid repeated freezing and thawing.
  • 抗原

    FERMT2 (Fermitin Family Member 2 (FERMT2))

    别名

    FERMT2

    背景

    Synonyms: DNA replication licensing factor MCM5, CDC46 homolog, P1-CDC46, MCM5, CDC46

    Tissue Specificity: Ubiquitous.

    Background: Fermitin family homolog 2 (FERMT2) also known as pleckstrin homology domain-containing family C member 1 (PLEKHC1) or kindlin-2 is a protein that in humans is encoded by the FERMT2 gene. Enables several functions, including actin binding activity, phosphatidylinositol-3,4,5-trisphosphate binding activity, and type I transforming growth factor beta receptor binding activity. Involved in several processes, including cell surface receptor signaling pathway, positive regulation of cell differentiation, and positive regulation of cellular component biogenesis. Acts upstream of or within cell adhesion and protein localization to cell junction. Located in cytosol, focal adhesion, and nucleoplasm. Is extrinsic component of cytoplasmic side of plasma membrane. Part of adherens junction and plasma membrane. Biomarker of acute myeloid leukemia.

    分子量

    70 kDa

    基因ID

    10979

    途径

    Cell-Cell Junction Organization
You are here: