电话:
+86 (0512) 65829739
传真:
+86 (010) 6788 5057
电子邮件:
orders@antibodies-online.cn

TP53I3 抗体 (AA 1-332)

This 兔 多克隆 antibody specifically detects TP53I3 in WB, ELISA 和 IHC. It exhibits reactivity toward 人.
产品编号 ABIN7599280
发货至: 中国
Contact our Customer Service for availability and price in your country. Contact Info

Our Local Distributor

中国
北京 101111
No. 88 KeChuang 6th Street
Beijing Economic Technological Development Area
Room 801-803
4A Biotech Co.,Ltd.
Tel +86 (0512) 65829739 传真 +86 (010) 6788 5057

Quick Overview for TP53I3 抗体 (AA 1-332) (ABIN7599280)

抗原

See all TP53I3 抗体
TP53I3 (Tumor Protein P53 Inducible Protein 3 (TP53I3))

适用

  • 36
  • 2
  • 2
  • 1
  • 1
  • 1
  • 1
  • 1
  • 1

宿主

  • 27
  • 9

克隆类型

  • 29
  • 7
多克隆

标记

  • 24
  • 2
  • 1
  • 1
  • 1
  • 1
  • 1
  • 1
  • 1
  • 1
  • 1
  • 1
This TP53I3 antibody is un-conjugated

应用范围

  • 28
  • 13
  • 4
  • 4
  • 3
  • 2
  • 2
  • 1
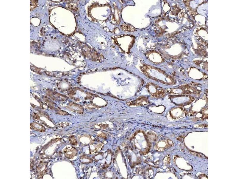
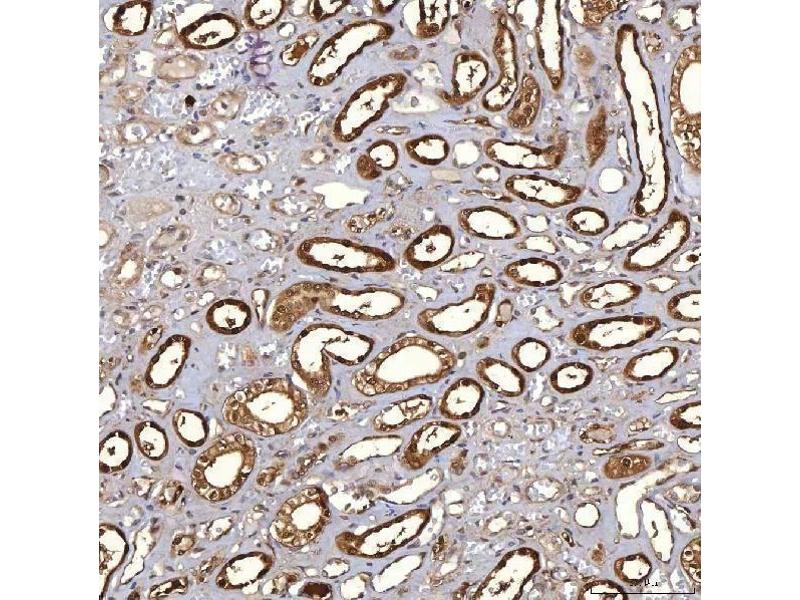
Western Blotting (WB), ELISA, Immunohistochemistry (IHC)
  • 抗原表位

    • 7
    • 7
    • 2
    • 1
    • 1
    • 1
    • 1
    • 1
    • 1
    • 1
    AA 1-332

    原理

    Anti-PIG3/TP53I3 Antibody

    交叉反应 (详细)

    No cross-reactivity with other proteins.

    产品特性

    Anti-PIG3/TP53I3 Antibody (ABIN7599280). Tested in ELISA, IHC, WB applications. This antibody reacts with Human. This is a premium antibody that guarantees superior quality, high affinity, and strong signals with minimal background in Western blot applications.

    纯化方法

    Immunogen affinity purified.

    免疫原

    E.coli-derived human PIG3/TP53I3 recombinant protein (Position: M1-Q332).

    亚型

    IgG
  • 应用备注

    Western blot, 0.1-0.25 μg/mL, Human
    Immunohistochemistry(Paraffin-embedded Section), 1-2 μg/mL, Human
    ELISA, 0.1-0.5 μg/mL, -

    限制

    仅限研究用
  • 状态

    Lyophilized

    溶解方式

    Adding 0.2 mL of distilled water will yield a concentration of 500 μg/mL.

    浓度

    500 μg/mL

    缓冲液

    Each vial contains 4 mg Trehalose, 0.9 mg NaCl, 0.2 mg Na2HPO4.

    储存条件

    4 °C,-20 °C

    储存方法

    At -20°C for one year from date of receipt. After reconstitution, at 4°C for one month.
    It can also be aliquotted and stored frozen at -20°C for six months. Avoid repeated freezing and thawing.
  • 抗原

    TP53I3 (Tumor Protein P53 Inducible Protein 3 (TP53I3))

    别名

    TP53I3

    背景

    Synonyms: Angiomotin-like protein 2, Leman coiled-coil protein, LCCP, AMOTL2, KIAA0989

    Background: Putative quinone oxidoreductase is an enzyme that in humans is encoded by the TP53I3 gene. The protein encoded by this gene is similar to oxidoreductases, which are enzymes involved in cellular responses to oxidative stresses and irradiation. This gene is induced by the tumor suppressor p53 and is thought to be involved in p53-mediated cell death. It contains a p53 consensus binding site in its promoter region and a downstream pentanucleotide microsatellite sequence. P53 has been shown to transcriptionally activate this gene by interacting with the downstream pentanucleotide microsatellite sequence. The microsatellite is polymorphic, with a varying number of pentanucleotide repeats ly correlated with the extent of transcriptional activation by p53. It has been suggested that the microsatellite polymorphism may be associated with differential susceptibility to cancer. Alternatively spliced transcript variants encoding different isoforms have been found for this gene.

    分子量

    36 kDa

    基因ID

    9540

    途径

    p53 Pathway
You are here: