电话:
+86 (0512) 65829739
传真:
+86 (010) 6788 5057
电子邮件:
orders@antibodies-online.cn

Androgen Receptor 抗体 (N-Term)

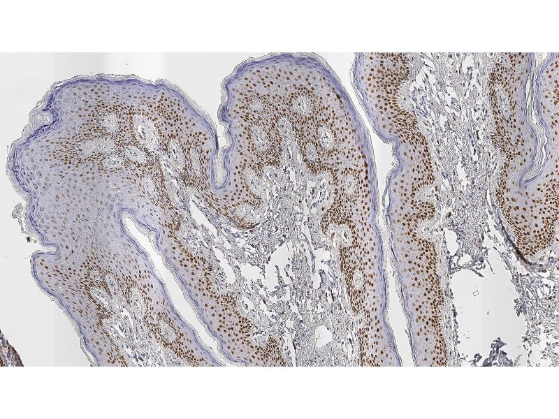
The 小鼠 单克隆 anti-Androgen Receptor antibody (Clone AR27) (ABIN7538841) specifically detects Androgen Receptor in IHC, IHC (p) 和 HIER. The antibody is reactive with 人 samples.
产品编号 ABIN7538841
发货至: 中国
Contact our Customer Service for availability and price in your country. Contact Info

Our Local Distributor

中国
北京 101111
No. 88 KeChuang 6th Street
Beijing Economic Technological Development Area
Room 801-803
4A Biotech Co.,Ltd.
Tel +86 (0512) 65829739 传真 +86 (010) 6788 5057

Quick Overview for Androgen Receptor 抗体 (N-Term) (ABIN7538841)

抗原

See all Androgen Receptor (AR) 抗体
Androgen Receptor (AR)

适用

  • 365
  • 110
  • 100
  • 29
  • 17
  • 17
  • 15
  • 12
  • 11
  • 4
  • 4
  • 3
  • 1
  • 1

宿主

  • 312
  • 57
  • 1
  • 1
  • 1
小鼠

克隆类型

  • 259
  • 111
单克隆

标记

  • 154
  • 32
  • 12
  • 12
  • 10
  • 10
  • 10
  • 10
  • 10
  • 10
  • 7
  • 7
  • 7
  • 7
  • 7
  • 7
  • 7
  • 7
  • 7
  • 5
  • 5
  • 5
  • 4
  • 3
  • 3
  • 2
  • 2
  • 2
  • 2
  • 2
  • 2
  • 1
  • 1
This Androgen Receptor antibody is un-conjugated

应用范围

  • 233
  • 108
  • 99
  • 66
  • 63
  • 53
  • 38
  • 27
  • 27
  • 24
  • 18
  • 17
  • 4
  • 3
  • 3
  • 3
  • 2
  • 2
  • 2
  • 2
  • 2
  • 2
  • 1
  • 1
  • 1
  • 1
Immunohistochemistry (IHC), Immunohistochemistry (Paraffin-embedded Sections) (IHC (p)), Heat-induced Epitope Retrieval (HIER)

克隆位点

AR27
  • 抗原表位

    • 23
    • 22
    • 22
    • 20
    • 17
    • 17
    • 15
    • 13
    • 13
    • 10
    • 9
    • 8
    • 8
    • 8
    • 7
    • 7
    • 7
    • 7
    • 6
    • 5
    • 5
    • 4
    • 4
    • 4
    • 3
    • 3
    • 3
    • 2
    • 2
    • 2
    • 2
    • 2
    • 2
    • 2
    • 2
    • 2
    • 2
    • 1
    • 1
    • 1
    • 1
    • 1
    • 1
    • 1
    • 1
    • 1
    • 1
    • 1
    • 1
    • 1
    N-Term

    原理

    Liquid Mouse Monoclonal Antibody Androgen Receptor

    特异性

    Human androgen receptor.

    产品特性

    This product is intended for the qualitative identification by light microscopy of androgen receptor protein in paraffin sections.

    纯化方法

    Tissue culture supernatant

    免疫原

    Prokaryotic recombinant protein of 321 amino acids representing the N-terminus of the human androgen receptor.

    亚型

    IgG1
  • 应用备注

    Immunohistochemistry on paraffin sections. Heat Induced Epitope Retrieval (HIER): Epitope Retrieval Solution pH 9. Suggested dilution: 1:25 for 30 minutes at 25 °C. This is provided as a guide and users should determine their own optimal working dilutions. Immunohistochemical (IHC) staining techniques allow for the visualization of antigens via the sequential application of a specific antibody to the antigen (primary antibody), a secondary antibody to the primary antibody and an enzyme complex with a chromogenic substrate with interposed washing steps. The enzymatic activation of the chromogen results in a visible reaction product at the antigen site. The specimen may then be counterstained and coverslipped. Results are interpreted using a light microscope.

    限制

    仅限研究用
  • 状态

    Liquid

    浓度

    45 mg/L

    缓冲液

    This product is a liquid tissue culture supernatant containing sodium azide as a preservative.

    储存液

    Sodium azide

    注意事项

    This product contains Sodium azide: a POISONOUS AND HAZARDOUS SUBSTANCE which should be handled by trained staff only.

    储存条件

    4 °C

    储存方法

    Store at 2-8 °C. Do not freeze. Return to 2-8 °C immediately after use. Do not use after expiration date indicated on the vial label. Storage conditions other than those specified above must be verified by the user.

    有效期

    12 months
  • 抗原

    Androgen Receptor (AR)

    别名

    Androgen Receptor

    途径

    Nuclear Receptor Transcription Pathway, Intracellular Steroid Hormone Receptor Signaling Pathway, Steroid Hormone Mediated Signaling Pathway, Regulation of Intracellular Steroid Hormone Receptor Signaling, Nuclear Hormone Receptor Binding, Chromatin Binding
You are here: