电话:
+86 (0512) 65829739
传真:
+86 (010) 6788 5057
电子邮件:
orders@antibodies-online.cn

Recombinant EIF3B 抗体

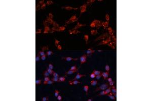
The 兔 单克隆 anti-EIF3B antibody (Clone R09-4I5) (ABIN7516858) specifically detects EIF3B in WB, IF 和 IP. The antibody is reactive with 人 samples.
产品编号 ABIN7516858
发货至: 中国
Contact our Customer Service for availability and price in your country. Contact Info

Our Local Distributor

中国
北京 101111
No. 88 KeChuang 6th Street
Beijing Economic Technological Development Area
Room 801-803
4A Biotech Co.,Ltd.
Tel +86 (0512) 65829739 传真 +86 (010) 6788 5057

Quick Overview for Recombinant EIF3B 抗体 (ABIN7516858)

抗原

See all EIF3B 抗体
EIF3B (Eukaryotic Translation Initiation Factor 3, Subunit B (EIF3B))

抗体类型

Recombinant Antibody

适用

  • 48
  • 21
  • 17
  • 3
  • 2
  • 2
  • 2
  • 2
  • 2
  • 2
  • 1
  • 1
  • 1

宿主

  • 48

克隆类型

  • 25
  • 23
单克隆

标记

  • 23
  • 3
  • 3
  • 3
  • 3
  • 3
  • 3
  • 3
  • 2
  • 2
This EIF3B antibody is un-conjugated

应用范围

  • 38
  • 14
  • 14
  • 14
  • 11
  • 11
  • 3
  • 1
  • 1
  • 1
Western Blotting (WB), Immunofluorescence (IF), Immunoprecipitation (IP)

克隆位点

R09-4I5
You are here: